вверх
отправить
поиск
админ
главная
|
Proximal femoral shaft nonunion + osteomyelitis |
 |
 |
 |
Отправлено Pavel Ivanov 24 Апрель 2007, 00:03
Уважаемые коллеги,
во многом благодаря вашей поддержке, 12 дней назад мы выполнили запланированную операцию нашему пациенту с ложным суставом и хроническим остеомиелитом левой бедренной кости. (http://weborto.net/forum/1170705165/ и http://weborto.net/forum/1173553022/).
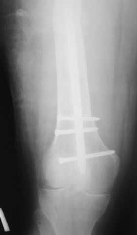
Мы демонтировали спице-стержневой аппарат, рассверлили костно-мозговой канал (до 14 мм), установили в канал спейсер с антибиотиком и произвели его блокирование четырьмя винтами ( рис. 1, 2, 3, 4).

В качестве армирующего элемента для спейсера мы использовали титановый неканюлированный штифт типа UFN (диаметр 9 мм, длина 400 мм). Проксимальную широкую часть штифта костным цементом не покрывали (рис. 5).
 Дистальные блокирующие отверстия в цементе рассверлили после его застывания под ЭОП'ом. В проксимальном отломке использовали винт-полер (так как штифт проходил очень близко к переднему кортикальному слою).
Неожиданные сложности технического плана возникли у нас при изготовлении спейсера. Дело в том, что до операции в нашем институте мы не смогли найти силиконовую трубку с внутренним диаметром 14 мм. Были лишь трубки с просветом величиной 12 мм и менее. Мы сочли это недостаточным, так как в таком случае толщина слоя цемента на штифте составляла бы только 1,5 мм и он мог бы растрескаться при забивании. Трубки необходимой толщины были найдены в фирме, торгующей оборудованием для пищевой промышленности. Органолептически они ничем не отличались от наших трубок для дренажей, были пригодны для стерилизации. Но, во время операции после застывания цемента стенка трубки очень плохо отделялась от поверхности цемента. Пришлось использовать распатор и циркулярную фрезу. Видимо силикон, из которого эти трубки изготавливаются, отличается от медицинского.
В остальном, операция прошла без технических трудностей. Александр Николаевич, спасибо за ваши прекрасные развертки. Так не хочется отдавать их Вам обратно! Завтра пациент выписывается. Температура тела и анализы у него нормальные. Бедро мягкое, отечность тканей значительно уменьшилась. Послеоперационные раны зажили первичным натяжением. Укорочение конечности составляет 1,5 см (по ощущениям больного, это оптимальная длина ноги для него, так как у него анкилоз коленного сустава и голеностопного сустава в положении подошвенного сгибания). Пациент ходит с дозированной нагрузкой на конечность (10% от веса тела). Свищ на передне-наружной поверхности средней трети бедра, который открылся за неделю до последней операции рядом со стержнем аппарата, закрылся 5 дней назад (рис. 6,7, 8).

Best regards,
Pavel Ivanov Sklifosovsky Clinical and Research Institute for Emergency Medicine Polytrauma Department 3, Bolshaya Sukharevskay sq. Moscow, 129090 Russia
<
|
>
|
|
Ответить
|
Re: Proximal femoral shaft nonunion + osteomyeliti
Alexander Chelnokov 24 Апрель 2007, 00:07
|
> Мы демонтировали спице-стержневой аппарат, рассверлили
> костно-мозговой канал (до 14 мм), установили в канал спейсер с
Иной раз ведь такого рода операции доводится делать со свежим регенератом, а то и двумя, поэтому снимать аппарат совсем, и потом манипулировать сегментом как-то не по-доброму (c)А.Семенистый.
Мы все-таки предпочитаем ввести переднезаднюю спицу над малым вертелом, медиальнее траектории гвоздя, в дистальном отделе оставить самый нижний чрескостный элемент (или провести спицу, если уже имеющиеся спицы-стержни будут мешать), а только потом из диафиза все мешающее убрать.
> В качестве армирующего элемента для спейсера мы использовали
> титановый неканюлированный штифт типа UFN (диаметр 9 мм, длина 400
> мм). Проксимальную широкую часть штифта костным цементом не
Я все думал, зачем нужны бедренные штифты диаметром 9 мм - Павел, спасибо за ответ на мучавший меня вопрос!
> Неожиданные сложности технического плана возникли у нас при
> изготовлении спейсера. Дело в том, что до операции в нашем институте
Интересно. Да, не зря все cоветовали репетицию провести вне операционной ;-)
> отдавать их Вам обратно!
Ладно, придумаем что-нибудь.
> Завтра пациент выписывается. Температура тела и анализы у него
> нормальные. Бедро мягкое, отечность тканей значительно уменьшилась.
Ну что ж, остается только поздравить врачей и пациента с прекрасным непосредственным результатом (тьфу х 3). Все получилось очень элегантно, и абсолютно в духе времени, на хорошем международном уровне. Как восприняли содеянное коллеги в институте, старшие товарищи? Отделаетесь выговором, до увольнения не дойдет? ;-)
|
[
Ответить ]
|
Re: Proximal femoral shaft nonunion + osteomyeliti
Алексей Семенистый 24 Апрель 2007, 01:26
|
Приветствую, Павел.
> Дистальные блокирующие отверстия в цементе рассверлили после его застывания под ЭОП'ом.
Как сверлится цемент?
> Неожиданные сложности технического плана возникли у нас при изготовлении спейсера..... Органолептически они ничем не
> отличались от наших трубок для дренажей, были пригодны для стерилизации. Но, во время операции после застывания цемента
> стенка трубки очень плохо отделялась от поверхности цемента. Пришлось использовать распатор и циркулярную фрезу. Видимо
> силикон, из которого эти трубки изготавливаются, отличается от медицинского.
И к медицинским дренажам цемент прилипает намертво, если поверхность сухая. Поэтому мы перед введением цемента в форму (трубку) смачиваем ее физраствором.
> Завтра пациент выписывается. Температура тела и анализы у него нормальные. Бедро мягкое, отечность тканей значительно
> уменьшилась. Послеоперационные раны зажили первичным натяжением.
Дай Бог ему!
>Свищ на передне-наружной поверхности средней трети бедра, который открылся за неделю до последней операции рядом со
>стержнем аппарата, закрылся 5 дней назад (рис. 6,7, 8).
Так всетаки открылся! А не было желания прокрасить свищь на операции и увидеть при рассверливании, сообщается он с "каналом" или нет? Если "нет", то в принципе можно было бы сразу окончательный гвоздь ставить.
В общем, молодцы!
С уважением, А.Семенистый.
ГКБ 13, Москва.
|
[
Ответить ]
|
Re: Proximal femoral shaft nonunion + osteomyelitis
Anton Vakulenko 25 Апрель 2007, 11:47
|
Спасибо за подробно описанный и очень интересный случай! Пожалуйста,
держите нас в курсе событий и дальше!..
Попутно вопросы: какой антибиотик и в каком количестве добавляли в
цемент? Что высевали из свищей?
--
С уважением,
А. В. Вакуленко
|
[
Ответить ]
|
Re: Proximal femoral shaft nonunion + osteomyelitis
Djoldas Kuldjanov, M.D. 26 Апрель 2007, 06:05
|
Павел, поздравляю,
Получилось как задумали, надеюсь теперь все проблемы с ложным суставом решатся.
А проблема с трубкой это обычное дело, все зависит от полимеризации цемента, под воздействием тепла стенка поливиниловой трубки прилипает к цементу, поэтому надо угадать время. Если снимать до полного схватывания, срезанная стенка острым скальпелем вдоль трубки снимается без проблем.
И еще, другой метод подготовки цементного гвоздя с антибиотиком, кстати какой антибиотик применили?
На тонкий штифт вручную накладывается цемент потом пропускается через шаблон нужного диаметра еще до затвердения цемента.
|
[
Ответить ]
|
Re: Proximal femoral shaft nonunion + osteomyeliti
Pavel Ivanov 02 Май 2007, 00:44
|
Уважаемые коллеги.
Прошу прощения, что отвечаю на ваши вопросы с задержкой, которая в определенной степени была обусловлена поездкой на
конференцию в Санкт-Петербург.
АС> Как сверлится цемент?
Сверлится хорошо. Сначала просверлили под ЭОП'ом сверлом с диаметром 2,5 мм, затем рассверлили до 5 мм.
AV> Попутно вопросы: какой антибиотик и в каком количестве добавляли в
AV> цемент? Что высевали из свищей?
DKMD> кстати какой антибиотик применили?
В посеве свищевого отделяемого высевался золотистый стафилококк. При изготовлении спейсера мы добавляли в цемент 2 г ванкомицина.
AC> уровне. Как восприняли содеянное коллеги в институте, старшие товарищи? Отделаетесь выговором, до увольнения не дойдет? ;-)
Обсуждение данного пациента и операции среди врачей всех трех травматологических отделений института было оживленным и отличалось полиморфизмом мнений. Благо руководитель нашего отделения проф. В.А. Соколов нас полностью поддерживал.
А за новые способы лечения у нас в институте не увольняют. Так, только чуть поругают.
Сегодня звонил наш пациент. С его слов (а он уже человек в медицинском отношении грамотный), у него вроде все в порядке. В конце недели приедет на контрольный осмотр.
Best regards,
Pavel Ivanov
Sklifosovsky Clinical and Research Institute for Emergency Medicine
Polytrauma Department
3, Bolshaya Sukharevskay sq.
Moscow, 129090 Russia
|
[
Ответить ]
|
Re: Proximal femoral shaft nonunion + osteomyelitis
vit 06 Май 2007, 00:37
|
подождите 1,5-3мес
|
[
Ответить ]
|
Re: Proximal femoral shaft nonunion + osteomyeliti
Отправитель: Alexander Chelnokov 06 Май 2007, 16:42
|
Почему именно "1,5-3", а не 4, не 6, или 18 мес.?
При использовании антибиотиковых спейсеров в ближайшие 1-2 мес. как раз ожидаемо максимально благополучное состояние.
|
[
Ответить ]
|
Re: Proximal femoral shaft nonunion + osteomyeliti
Отправитель: vit 07 Май 2007, 23:41
|
Почему именно "1,5-3", а не 4, не 6, или 18 мес.?
При использовании антибиотиковых спейсеров в ближайшие 1-2 мес. как раз ожидаемо максимально благополучное состояние
где 1-2 мес, там и 1,5-3, по-моему это минимальный срок, когда можно говорить о достижении неустойчивой ремиссии, вне зависимости от использования "антибиотических чудо-спейсеров"
|
[
Ответить ]
|
|
( Ответить )
|
|