Ответить
|
Re: Очередная "проблемная" голень - ложный сустав
Алексей Семенистый 01 Май 2007, 20:30
|
Здравствуйте, Антон.
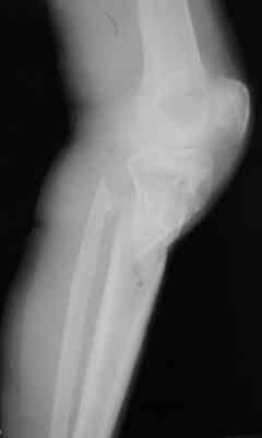
Опять мало информации. Это снимки от августа 2006. А что сейчас в двух проекциях? Что растет в посевах? Насколько заинтересован коленный сустав: движения, синовит? Чего хочет больной?
С уважением, А.Семенистый.
ГКБ 13, Москва.
|
[
Ответить ]
|
Re: Очередная "проблемная" голень - ложный сустав
Антон Лебединец 04 Май 2007, 21:31
|
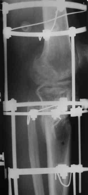
Р-граммы за март и апрель

|
[
Ответить ]
|
Re: Очередная "проблемная" голень - ложный сустав
Отправитель: Алексей Семенистый 04 Май 2007, 21:38
|
> Р-граммы за март и апрель
И еще бы фотки самой ноги сейчас.
Кожа, раны интересуют, посевы, движения в суставе...
С уважением, А.Семенистый.
ГКБ 13, Москва.
|
[
Ответить ]
|
Re: Очередная "проблемная" голень - ложный сустав
Отправитель: Антон Лебединец 04 Май 2007, 21:40
|
> И еще бы фотки самой ноги сейчас.
> Кожа, раны интересуют, посевы, движения в суставе...
Каюсь, фото не сделал.
Движения в коленном суставе - разгибание-сгибание - 0/0/40
в голеностопном - разгибание-сгибание - 0/15/40 (запустил - ходил без подстопника)
Посевы не делались - довольно проблемно (другая больница+кто-то должен отнести и забрать) + финансы больного, мягко говоря, не в порядке. С фистулографией та же беда (препарат+деньги)
Скажу что 27.04 он прооперирован. Оцифрую Р-граммы и постараюсь сделать фото голени. Что сделали - напишу. А пока интересны ваши мнения на основе приведенных даных (прошу прощения за их, мягко говоря, неполноту для такой патологии)
С уважением А. В. Л.
|
[
Ответить ]
|
Re: Очередная "проблемная" голень - ложный сустав
Отправитель: Алексей Семенистый 04 Май 2007, 21:41
|
> Посевы не делались - довольно проблемно (другая больница+кто-то должен отнести и забрать) + финансы больного мягко
> говоря не в порядке. С фистулографией та же беда (препарат+деньги)
Боже! Это планета Земля, 21 век??? Пардон.
> А пока интересны ваши мнения на основе приведенных даных (прошу прощения за их, мягко говоря, неполноту для такой
> патологии)
Постараться отрепонировать наружное плато, вероятно с костной пластикой. Фиксация метафизарного перелома пластиной LCP PLT (дорого и локальный статус ноги должен быть соответствующий), если нет - то по Илизарову (заметьте - не спицами и кольцами от аппарата И., а по методу И.).
Что ж вы сотворили? Надеюсь не гипс положили?
С уважением, А.Семенистый.
ГКБ 13, Москва.
|
[
Ответить ]
|
Re: Очередная "проблемная" голень - ложный сустав
Отправитель: Антон Лебединец 04 Май 2007, 21:44
|
> Боже! Это планета Земля, 21 век??? Пардон.
Это наша страна и суровая реальность
> Постараться отрепонировать наружное плато, вероятно с костной пластикой.
На фоне инфекции?
по Илизарову (заметьте - не спицами и кольцами от аппарата И., а по методу И.)
красиво сказано. Он и сам говорил (на некторые "художества") - ЭТО мой аппарат, но не мой метод
> Чтож вы сотворили? Надеюсь не гипс положили?
позвольте вас еще денек поинтриговать :)
Завтра постараюсь все написать и показать.
С уважением А. В. Л.
|
[
Ответить ]
|
|
Re: Очередная "проблемная" голень - ложный сустав
Антон Лебединец 04 Май 2007, 22:16
|
Р-граммы и фото за 4.05.2007 - 7-е сутки после операции.

Ход операции - линейным разрезом по передней поверхности голени обнажена зона ложного сустава большеберцовой кости. От кости отсепарованы медиально м/ткани. Из зоны ложного сустава убраны рубцовые ткани, мобилизован дистальный отломок. По передней поверхности удалены два осколка, связанных грануляциями. Произведено удаление грануляционной ткани из проксимального отломка (на вид сине-серого цвета), "чистого" гноя не было. Затем произведено наложение аппарата и репозиция отломков. По передне-медиальной поверхности образовался дефект до 4х2х2 см + полость в проксимальном отломке. Удаленные осколки очищены от грануляций, уложены в место дефекта, зажаты между отломками. После иссечения раны по передней поверхности, находящейся рядом с операционной раной, последняя ушита с большим натяжением.
Перелом мыщелка сросся. Проксимальный отломок очень порозный.
На перевязках - из раны небольшое кол-во сукровичного отделяемого. Отек голени умеренный, состояние кожи на фото.
Что скажете?
|
[
Ответить ]
|
Re: Очередная "проблемная" голень - ложный сустав
Отправитель: Алексей Семенистый 05 Май 2007, 00:55
|
>
> Р-граммы и фото за 4.05.2007 - 7-е сутки после операции....
...По передне-медиальной поверхности образовался дефект до 4х2х2 см + полость в проксимальном отломке. Удаленные осколки
очищены от грануляций, уложены в место дефекта ,зажаты между отломками. После иссечения раны по передней поверхности,
находящейся рядом с операционной раной, последняя ушита с большим натяжением....
...Отек голени умеренный, состояние кожи на фото.
>
> Что скажете?
Ну, что сказать. Антон, если честно, копаете под заведующего?
С уважением, А.Семенистый.
ГКБ 13, Москва.
|
[
Ответить ]
|
Re: Очередная "проблемная" голень - ложный сустав
Отправитель: Антон Лебединец 05 Май 2007, 00:56
|
> Ну, что сказать. Антон, если честно, копаете под заведующего?
Прошу прощения, не понял смысла :0
С уважением А. В. Л.
|
[
Ответить ]
|
Re: Очередная "проблемная" голень - ложный сустав
Отправитель: Алексей Семенистый 05 Май 2007, 00:57
|
> Прошу прощения, не понял смысла :0
Это тоже не Ваше творчество?
С уважением, А.Семенистый.
ГКБ 13, Москва.
|
[
Ответить ]
|
Re: Очередная "проблемная" голень - ложный сустав
Отправитель: Антон Лебединец 05 Май 2007, 00:59
|
> Это тоже не Ваше творчество?
Уважаемый Алексей! По молодости лет я просто не имею возможности оперировать подобные случаи. А представляю данного больного с целью узнать мнение коллег с большим опытом, услышать конструктивную критику (ни у кого из нас крыльев нет). На ошибках учатся (причем, умные - на чужих). Поэтому если можно - укажите, что сделано не так, как бы вы лечили данного больного. А авторство творчества - это дело второе. Ведь не важно КТО - важно КАК.
С уважением А. В. Л.
|
[
Ответить ]
|
Re: Очередная "проблемная" голень - ложный сустав
Отправитель: Alexander Artemiev 05 Май 2007, 01:00
|
Здравствуйте, Антон.
Пока не прочитал ответ Алексея, хотел сказать теми же словами.
Я Вас лично не знаю...
Мне кажется, Вы не очень любите своего заведующего. Возможно, вполне обоснованно.
Но Вы прекрасно понимаете, что представленные Вами случаи - фигня полная. Вы методично фотографируете, потом делаете круглые глаза - типа это не я. Я думал, Вас интересует мнение перед операцией, и Вы хотите его реализовать. По поводу предыдущего случая честно часа два сидел сжимал
картинки, редактировал. Получается, зря потратил время. Рассказывать что такое хорошо и что такое плохо - возможно, у кого-то есть лишнее время...
Если хотите открыть фотогалерею "косяков" - то с почином...
С уважением Александр Артемьев
|
[
Ответить ]
|
Re: Очередная "проблемная" голень - ложный сустав
Отправитель: Антон Лебединец 05 Май 2007, 01:07
|
Мне кажется, Вы не очень любите своего заведующего.
Причем здесь любовь? Я думал, на форуме оценивают профессиональные качества.
Если это выглядит как "поливание грязью" - прошу прощения, значит, плохо представил случаи, если усмотрели какой-то подтекст.
> Но Вы прекрасно понимаете, что представленные Вами случаи - фигня
> полная.
В каком плане - фигня? Очень простые для вас? Или как?
Вы методично фотографируете, потом делаете круглые глаза - типа это не я.
Ну вот - не фотографируешь - плохо, фотографируешь - тоже не так. А насчет я - не я - уже объяснил. И? по-моему, представляют случаи не только своего рукоделия (а я каким-то образом участник операций и лечащий врач, часть ответственности за содеянное естественно и на мне).
> Я думал, Вас интересует мнение перед операцией, и Вы хотите его
> реализовать.
Безусловно меня очень интересует мнение других, иначе я бы не тратил время на переписку. Ну а насчет реализовать... уже говорилось выше. Что называется - хотеть не вредно (пытаюсь доносить советы, не всегда успешно).
>Получается, зря потратил время.
Ни в коем случае - "учимся потихоньку-учимся"
> Рассказывать что такое хорошо и что такое плохо - возможно, у кого-то
> есть лишнее время...
А вы считаете что потратили время зря, если объяснили человеку, что он не так сделал (при условии, что человек готов воспринимать любую разумную критику)
> Если хотите открыть фотогалерею "косяков" - то с почином....
Опять непонятно. "Косяки" ? А надо выкладывать только красивые и по науке сделанные вещи? А критиковать тогда что. Или у Вас тоже все получалось гладко и красиво с самого института? (не сочтите за "наезд")
|
[
Ответить ]
|
Re: Очередная "проблемная" голень - ложный сустав
Отправитель: Алексей Семенистый 05 Май 2007, 01:25
|
> По молодости лет я просто не имею возможности оперировать подобные случаи. А представляю данного больного с целью
> узнать мнение коллег с большим опытом, услышать конструктивную критику... Поэтому если можно - укажите, что сделано не
> так, как бы вы лечили данного больного. А авторство творчества - это дело второе. Ведь не важно КТО - важно КАК.
>Ход операции - линейным разрезом по передней поверхности голени обнажена зона ложного сустава большеберцовой кости. От
>кости отсепарованы медиально м/ткани. Из зоны ложного сустава убраны рубцовые ткани, мобилизован дистальный отломок...
То есть, кость как следует скелетировали!
> По передней поверхности удалены два осколка, связанных грануляциями. Произведено удаление грануляционной ткани из
> проксимального отломка (на вид сине-серого цвета), "чистого" гноя не было.
Обычно имеющийся свищ прокрашивают (зеленкой, синькой) и иссекают прокрасившиеся ткани, а не все подряд.
Затем произведено наложение аппарата и репозиция отломков.
Аппарат видел, репозиции не заметил. О "наложенном" аппарате: спицы в проксимальном отломке б\берцовой кости проведены очень низко, и опять только две, как и в первом аппарате. Почему только одна спица в дистальном парафрактурном кольце? Проксимальная база на бедре должна улучшить стабильность проксимального фрагмента tibia? Ничего подобного двумя спицами в одной базе при таком длинном рычаге вы не добьетесь, а вот совсем потерять движения в коленном суставе они почти гарантируют.
О репозиции: мыщелок сросся и слава Богу, но основные отломки фиксированы в вальгусном положении, собственно как и было, это критично. В чем состояла репозиция?
>По передне-медиальной поверхности образовался дефект до 4х2х2 см + полость в проксимальном отломке. Удаленные осколки
>очищены от грануляций, уложены в место дефекта ,зажаты между отломками.
"Удаленные осколки" уже скомпроментированы, им место у патоморфолога под микроскопом! Зачем подливать масло в огонь. В дефект можно временно ввести цементные бусы с антибиотиком, а потом, когда все будет чисто думать о костной пластике.
Возможно, учитывая дефицит мягких тканей, стоило сделать полноценную резекцию концов несросшегося перелома, пойти на временное укорочение, но закрыть рану без натяжения или создать условия для вторичного заживления.
> После иссечения раны по передней поверхности, находящейся рядом с операционной раной, последняя ушита с большим
> натяжением.
Никогда не ушивайте с большим натяжением, особенно на голени, лучше оставить рану открытой! Кстати, что был за разрез (длина, напрвление) я так и не понял. По фотографиям вроде как почти поперечный. Никогда не слышал о таком, разве что для апмутации.
>На перевязках - из раны небольшое кол-во сукровичного отделяемого. Отек голени умеренный, состояние кожи на фото.
Выглядит тревожно и не дает повода для оптимистичных прогнозов.
С уважением, А.Семенистый.
ГКБ 13, Москва.
|
[
Ответить ]
|
Re: Очередная "проблемная" голень - ложный сустав
Отправитель: Антон Лебединец 05 Май 2007, 01:44
|
> То есть, кость как следует скелетировали!
Ну не так чтобы очень - по длине около 3-4 см дистального отломка по медиальной и передней поверхности
> Обычно, имеющийся свищ прокрашивают (зеленкой, синькой) и иссекают прокрасившиеся ткани, а не все подряд.
Не спорю, я бы так и сделал и при возможности и фистулографию тоже
> Затем произведено наложение аппарата и репозиция отломков.
Прошу прощения - выразился коряво
> Аппарат видел, репозиции не заметил. О "наложенном" аппарате: спицы в проксимальном отломке б\берцовой кости проведены
> очень низко, и опять только две, как и в первом аппарате.
Согласен, добавить третью бы не помешало, но очень плохие ткани, ничего?
Почему только одна спица в дистальном парафрактурном кольце?
??? Не любит заведующий много спиц проводить (опять сочтут за поклеп, но на вопрос ответить надо?)
> О репозиции: мыщелок сросся и слава Богу, но основные отломки фиксированы в вальгусном положении, собственно как и
> было, это критично. В чем состояла репозиция?
Вальгус планируем постепенно устранить, а основное что сделали - устранили смещение в передне-заднем направлении.
> "Удаленные осколки" уже скомпроментированы, им место у патоморфолога под микроскопом!
Опять согласен.
В дефект можно временно ввести цементные бусы с антибиотиком
Эх, если бы могли - ввели.
> Возможно, учитывая дефицит мягких тканей, стоило сделать полноценную резекцию концов несросшегося перелома, пойти на
> временное укорочение, но закрыть рану без натяжения или создать условия для вторичного заживления.
И снова в точку!
> Никогда не ушивайте с большим натяжением, особенно на голени, лучше оставить рану открытой! Кстати, что был за разрез
> (длина, направление) я так и не понял. По фотографиям вроде как почти поперечный. Никогда не слышал о таком, разве что
> для ампутации.
Разрез линейный косой до 12-14 см (на фото голени с наружной поверхности виден) + добавлен шов от иссечения свища по передне-медиальной поверхности почти перпендикулярный к основному (до 4 см)
> Выглядит тревожно и не дает повода для оптимистичных прогнозов.
Разделяю ваши опасения и с тревогой думаю - что дальше - ведь после отхождения некроза оголится кость и на довольно большом участке
С уважением А. В. Л.
|
[
Ответить ]
|
Re: Очередная "проблемная" голень - ложный сустав
Отправитель: Alexander Chelnokov 05 Май 2007, 02:10
|
Согласен с оценкой Алексея. Секцию на бедро не нужно, на ровном месте сформируется контрактура коленного сустава. В проксимальный эпиметафиза большеберцовой ввели бы 4-5 спиц с упорами, в том числе в виде петли, и хватило бы.
Сделана некрэктомия - вроде все обычно, но возврат удаленнных секвестров назад - подход нешаблонный.
А что делать дальше, когда вывалится некроз, как раз понятно - некрэктомия, сегментарный костный дефект, закрываются мягкие ткани (грануляции, свободная пластика, можно несвободную, cross-leg), потом замещать дефект кости удлинением одного из отломков.
|
[
Ответить ]
|
Re: Очередная "проблемная" голень - ложный сустав
Отправитель: Антон Лебединец 05 Май 2007, 03:21
|
Секцию на бедро не нужно,
??? Я думал как раз необходимо, учитывая короткий проксимальный отломок. Насчет колена - согласен.
В проксимальный эпиметафиз большеберцовой ввели бы 4-5 спиц с упорами
4-5? Мы из-за состояния кожи 3-ю побоялись ввести, хотя наверное надо (более дистально)
> Сделана некрэктомия - вроде все обычно, но возврат удаленнных
> секвестров назад - подход нешаблонный.
Без коментариев
> А что делать дальше, когда вывалится некроз, как раз понятно -
> некрэктомия, сегментарный костный дефект, закрываются мягкие ткани
> (грануляции, свободная пластика, можно несвободную, cross-leg),
Насчет кросс-лег - а как это выглядит в аппарате?
>потом замещать дефект кости удлинением одного из отломков.
Наверное дистального, тянуть его кверху, (проксимальный короткий и порозный) Но это отдаленное будущее.
Пока планы были такие: дать еще компрессию, стабилизировать на 10-12 дней (устранив вальгус стержнями или на шарнирах (кстати как посоветуете), а затем дистракцию - медленно. Но.... очень много "но"
Буду благодарен за все советы по дальнейшему лечению
PS: Александр, неужели вы каждый день до 2-3-х ночи сидите? А утром на работу!
С уважением А. В. Л.
|
[
Ответить ]
|
Re: Очередная "проблемная" голень - ложный сустав
Отправитель: Alexander Chelnokov 05 Май 2007, 03:31
|
> Секцию на бедро не нужно,
> ??? Я думал как раз необходимо, учитывая короткий проксимальный
> отломок.
Да не такой уж он короткий, до щели коленного сустава там вон сколько места.
> В проксимальный эпиметафиз большеберцовой ввели бы 4-5 спиц с упорами
> 4-5? Мы из-за состояния кожи 3-ю побоялись ввести, хотя наверное надо (более дистально)
Более проксимально. И если состояние кожи какое-то не такое, как раз побольше надо спиц. Если будет хорошая стабильность, то шансы на успех в борьбе с инфекцией повысятся.
Насчет кросс-лег - а как это выглядит в аппарате?
Фото под рукой нет, на вторую ногу просто накладываются опоры, и два аппарата соединяются.
> Пока планы были такие: дать еще компрессию, стабилизировать на
> 10-12 дней (устранив вальгус стержнями или на шарнирах (кстати как
> посоветуете), а затем дистракцию - медленно. Но.... очень много "но"
А зачем дистракцию? Угол устранить тут просто, шарниры над вершиной деформмци, один спереди, друго сзади. И по наружной поверхности "растягушку" на 2 "бантиках".
> PS: Александр, неужели вы каждый день до 2-3-х ночи сидите? А утром на работу!
Зря мы тут, что ли, бешеные деньги получаем...
|
[
Ответить ]
|
Re: Очередная "проблемная" голень - ложный сустав
Отправитель: Антон Лебединец 05 Май 2007, 13:29
|
> Фото под рукой нет, на вторую ногу просто накладываются опоры, и два
> аппарата соединяются.
Интересно было бы посмотреть
> А зачем дистракцию?
Дистракцию - вроде как Илизаров говорил, что "в огне дистракционного регенерата сгорает инфекция"
Угол устранить тут просто, шарниры над вершиной деформации, один спереди, друго сзади. И по наружной поверхности "растягушку" на 2 "бантиках".
А почему на "сжималку" по внутренней?
> Зря мы тут, что ли, бешеные деньги получаем...
Завидую! :)
С уважением А. В. Л.
|
[
Ответить ]
|
Re: Очередная "проблемная" голень - ложный сустав
Отправитель: Alexander Chelnokov 05 Май 2007, 13:32
|
> Интересно было бы посмотреть
Это несложно и без предварительного просмотра. Когда лоскут на задней поврехности одной голени будет пришит к передней поверхности другой, станет очевидно, как удобно разместить опоры, чтобы соединить
голени.
> Дистракцию - вроде как Илизаров говорил, что "в огне
> дистракционного регенерата сгорает инфекция"
Рациональный смысл этого образного высказывания в том, что инфекции плохо живется при хорошем кровоснабжении и высокой стабильности. Вот и пркиньтие к местным услвоиям, например, нет ли где-то аваскулярных тканей. Крупный секвестр от дистракции не оживет.
> спереди, друго сзади. И по наружной поверхности "растягушку" на 2 "бантиках".
> А почему на "сжималку" по внутренней?
Возможно, здесь можно и так. Вообще, дистракция безопаснее, т.к. можно не опасаться преждевременного упора фрагментов друг в друга до завершения коррекции, если шарниры стоят правильно.
|
[
Ответить ]
|
Re: Очередная "проблемная" голень - ложный сустав
Отправитель: Алексей Семенистый 05 Май 2007, 11:44
|
> 4-5? Мы из-за состояния кожи 3-ю побоялись ввести, хотя наверное надо (более дистально)
Да куда уж дистальнее. Проксимальнее! Да и с кожей судя по фото там больших прблем нет. Для заживления мякгких тканей стабильность костных отломков не менее важна, чем для сращения перелома.
> >потом замещать дефект кости удлинением одного из отломков.
> Наверное дистального, тянуть его кверху, (проксимальный короткий и порозный)Но это отдаленное будущее.
Конечно, остеотомия для удлиннения должна быть в этом случае дисьальная. А будущее вероятно не такое уж и отдаленное.
> Пока планы были такие: дать еще компрессию, стабилизировать на 10-12 дней (устранив вальгус стержнями или на шарнирах
> (кстати как посоветуете)
Только на шарнирах. Но спиц в проксимальный отломок добавить, а базу с бедра снять.
> а затем дистракцию - медленно. Но.... очень много "но"
А это зачем?
С уважением, А.Семенистый.
ГКБ 13, Москва.
|
[
Ответить ]
|
Re: Очередная "проблемная" голень - ложный сустав
Отправитель: Никита Заднепровский 05 Май 2007, 11:46
|
Здравствуйте, Антон.
АЛ> Поэтому если можно - укажите,
АЛ> что сделано не так, как бы вы лечили данного больного.
Кольцо с бедра демонтировать. Добавить кольцо проксимальней к коленному суставу с двумя спицами. Соединить с нижним предварительно проведя еще одну спицу в этом кольце. Получится проксимальный модуль.
Провести еще одну спицу в проксимальном кольце дистального модуля. Между ними (модулями) убрать штанги ... "через колено" устранить варус и зафиксировать тремя резьбовыми штангами.
Вы писали, что открыто "отрепонировали" отломки ... Чессслово, не увидел
...
Рану раскрыть и вести открыто. Возможно и реактивный синовит коленного сустава купируется, что позволит его разработку.
С уважением, Заднепровский Никита Николаевич
|
[
Ответить ]
|
Re: Очередная "проблемная" голень - ложный сустав
Отправитель: Alexander Chelnokov 05 Май 2007, 11:53
|
> Кольцо с бедра демонтировать. Добавить кольцо проксимальней к
> коленному суставу с двумя спицами.
Да ведь уже есть кольцо на 3 см дистальнее щели коленного сустава, куда там еще одно?
> Соединить с нижним предварительно проведя еще одну спицу в этом
> кольце. Получится проксимальный модуль.
А почему не провести еще несколько спиц в проксимальный отломок, буквально субхондрально, где кость поплотнее, да и закрепить на кронштейнах к уже имеющемуся кольцу?
> Провести еще одну спицу в проксимальном кольце дистального модуля.
> Между ними (модулями) убрать штанги ... "через колено" устранить варус и
Это так в Габурге на гексаподном курсе учили?
> Рану раскрыть и вести открыто.
Поздно, некроз кожи уже сформировался.
> Возможно и реактивный синовит коленного сустава купируется, что
Да синовит-то купируется и в положении как есть на сегодня, но не синовит тут основная проблема.
|
[
Ответить ]
|
Re: Очередная "проблемная" голень - ложный сустав
Отправитель: Каминский Андрей 05 Май 2007, 23:21
|
Антон, люди дел говорят. Места для проведения спиц в проксимальнвй фрагмент предостаточно. Их можно установить на флажки, можно прововодить не параллельно плоскости кольца, а как придется и это позволяет идти через здоровые ткани. Вопрос с фиксацией колена на этапе заживления мягких тканей спорный. Контрактура там и так должна быть выраженная, но тут вы легко могли сустав не задействовать. Настоятельно рекомендую добавить спицу с упором в проксамальный конец дисталоного фрагмента. Как верно было сказано - надежная иммобилизация залог успеха. На "огонь регенерата" тут расчитывать не стоит и дистракцию лучше не выполнять. В лечении гнойных осложнений главное (простите за банальность) радикальное удаление инфицированных и нежизнеспособных тканей. Теперь-то поздно, но при операции может стоило резецировать и лучше адаптировать отломки, пойти на укорочение. Возникнет ортопедическая проблема, но мягкие ткани смогли бы зажить. Теперь нужно надеяться, что вы все хорошо почистили и возвращенные отломки не станут секвестами.
От всей души желаю Вам удачи, а больному выздоровления.
Каминский Андрей. г.Курган.
|
[
Ответить ]
|
|
Re: Очередная "проблемная" голень - ложный сустав
Алексей Семенистый 05 Май 2007, 03:18
|
Антон, а Вы давали заведующему читать форум?
С уважением, А.Семенистый.
ГКБ 13, Москва.
|
[
Ответить ]
|
Re: Очередная "проблемная" голень - ложный сустав
Отправитель: Антон Лебединец 05 Май 2007, 03:22
|
> Антон, а Вы давали заведующему читать форум?
Говорил про него, и вроде он сам заходил, но точно сказать не могу. А что? Вы опять по поводу компрометирования?
С уважением А. В. Л.
|
[
Ответить ]
|
Re: Очередная "проблемная" голень - ложный сустав
Отправитель: Алексей Семенистый 05 Май 2007, 10:21
|
Нет, я по поводу конструктивного действия форума. Вы действительно переживаете за конкретных пациентоа и за дело вообще, или просто сторонний наблюдатель за действиями заведующего и учитесь на заблуждениях (намеренно пишу не "ошибках") других?
С уважением, А.Семенистый.
ГКБ 13, Москва.
|
[
Ответить ]
|
Re: Очередная "проблемная" голень - ложный сустав
Отправитель: Антон Лебединец 05 Май 2007, 13:34
|
>Вы действительно переживаете за конкретных пациентов и за дело вообще,>
Безусловно
>или просто сторонний наблюдатель за действиями заведующего и учитесь на заблуждениях (намеренно пишу не "ошибках")
>других?>
Наблюдатель - да, сторонний - нет, а учиться на заблуждениях других (т.е. в дальнейшем стараться их избегать)- по-моему
только +
С уважением А. В. Л.
|
[
Ответить ]
|
|
Re: Очередная "проблемная" голень - ложный сустав
vit 06 Май 2007, 01:35
|
немедленно-тибиализация,под любым предлогом.ВХО- не горит,по ситуации. база на бедре-однозначно.
|
[
Ответить ]
|
Re: Очередная "проблемная" голень - ложный сустав
vit 06 Май 2007, 02:40
|
тибиализация, вхо-как только-так сразу
|
[
Ответить ]
|
( Ответить )
|
|