AOTRAUMA.ORG Центр Илизарова  

Ортопедия и травматология Общие вопросы/General questions Help Информационные технологии в медицине
 вверх
 отправить
 поиск
 админ
 главная


The patient with non-union of the distal femur
Ортопедия и травматология Отправлено Руслан 05 Май 2007, 01:19
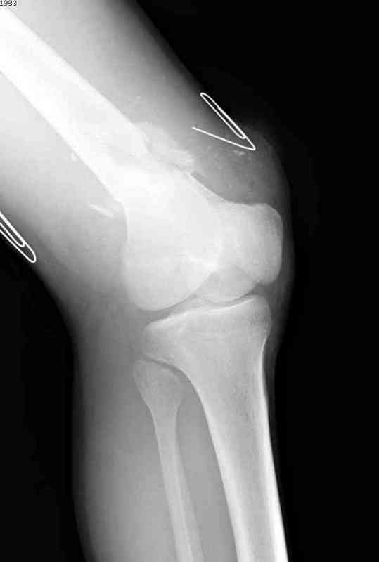
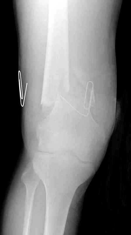
Больная К. с тугим ложным суставом н/3 бедра. Травма в 2005 г.-закрытый перелом, остеосинтез в аппарате Илизарова. В 2006 г. оперирована по поводу несросшегося перелома.
В ноябре 2006 г. демонтаж аппарата, после чего в течении месяца развилась вальгусная деформация. Имеется патологическая подвижность. Объем движений в коленном суставе 180-140. На обсуждение выносятся варианты лечения погружными конструкциями.
The patient with non-union of the distal femur. Trauma in 2005 - closed fracture of the femur, external fixation with Ilizarov apparatus. Non-union. In 2006 open reduction and external fixation with Ilizarov apparatus. In November 2006 the apparatus was removed, after that valgus deformation developed. There is pathological mobility. The knee motion 180-140. We'd like to discuss options of internal fixation.

<  |  >

 

  • Сообщения о Ортопедия и травматология
  • Также Руслан
  • Связаться с автором
  • Ответить

    Re: The patient with non-union of the distal femur
    Артак Григорян 05 Май 2007, 17:07
    Мне кажется здесь нужна стабильная фиксация пластиной LSP DF или LSP мыщелковй пластиной для дистальной части бедренной кости, выполнить декортикацию,и с целью стимуляции остеогенеза использовать аутокость или chronOS блок
    [ Ответить ]

    • Re: The patient with non-union of the distal femur
      Отправитель: vit 05 Май 2007, 23:48
      LSP-вас ис дас?

      [ Ответить ]
      • Re: The patient with non-union of the distal femur
        Отправитель: Alexander Chelnokov 06 Май 2007, 10:51
        Да описка очевидная, LCP подраузмевается.


        [ Ответить ]
    Re: The patient with non-union of the distal femur
    vit 05 Май 2007, 22:35
    тактика стандартная при атрофических ложных суставах-lcp+костная пластика
    [ Ответить ]

    Re: The patient with non-union of the distal femur
    vit 05 Май 2007, 23:02
    атрофический лложный сустав-костная пластика, короткий дистальный отломок,о\пороз,нижняя конечность-lcp
    [ Ответить ]

    Re: The patient with non-union of the distal femur
    Michael Berenstein 06 Май 2007, 11:04
    уважаемый Руслан!

    Имеется застарелый ложный сустав с полным смещением отломков и контрактурой
    коленного сустава.
    Нужно восстановить анатомию, срастить перелом и восстановить функцию коленного сустава.
    Восстановить анатомию можно только открытой репозицией.
    Для сращения перелома нужна стабильная фиксация и биологическая стимуляция.
    Для восстановления функции необходимо освободить мягкие ткани и как можно раньше начать разработку сустава что в свою очередь требует очень стабильную фиксацию не мешающую движению мягких тканей.
    Таким образом, наиболее подходит открытая репозиция с освобождением мягких тканей костный трансплантат желательно ауто.
    Стабильная погружная конструкция, по мере снижения стабильности: пластинка с фиксированными шурупами типа LISS, Г - образная пластинка, ретроградный
    гвоздь о замыканием дистально шурупа типа DFN Aesculap, антеградный гвоздь по Челнокову с 3 шурупами.
    Аппарат наружной фиксации по моему мнению не может обеспечить достаточной стабильности для активной разработки и в добавок спицы будут мешать.

    С уважением
    М Беренштейн


    [ Ответить ]

    • Re: The patient with non-union of the distal femur
      Отправитель: Алексей Семенистый 06 Май 2007, 11:18
      В общем согласен, но Г-образную пластину со второго места передвинул бы в конец списка, как наименее предпочтительный имплантат.
      Аппарат тоже совсем не стоит сбрасывать со счетов. Репозиция вполне может быть дозированной в аппарате после аккуратной остеотомии через маленький доступ, и после этого антеградно заштифтовать. Мой выбор скорее всего был бы LISS.

      С уважением, А.Семенистый.
      ГКБ 13, Москва.


      [ Ответить ]
      • Re: The patient with non-union of the distal femur
        Отправитель: Alexander Chelnokov 06 Май 2007, 17:09
        Надо все-таки разобраться, что там местно - по снимку какое-то как будто сращение на ограниченном участке, но, как пишут, есть и патологическая подвиижность...
        Если там сращние или тугой ожный сустав - можно лечить закрыто. Подправить аппаратом и либо заштифтовать, либо пластинку, можно с пластикой, Если дело ближе к болтающемуся ложному суставу - тогда открытая адаптация, аутопластика, как Михаил написал.

        [ Ответить ]
        • Re: The patient with non-union of the distal femur
          Отправитель: Алексей Семенистый 06 Май 2007, 23:50
          Согласен. По снимкам не похоже, чтоб сильно болталось, скорее даже срослось. Клинически с таким коротким фрагментом трудно оценить где "болтается" - в переломе или в суставе. Эффективно смотреть под ЭОПом в режиме скопии.

          С уважением, А.Семенистый.
          ГКБ 13, Москва.

          [ Ответить ]
          • Re: The patient with non-union of the distal femur
            Отправитель: Alexander Chelnokov 07 Май 2007, 00:01
            Можно и стрессовые снимки сделать - профиль в переразгибании, фас с подушкой между коленками и стянутыми лодыжками, потом поменять местами
            подушку и стягивающую лямку...

            [ Ответить ]
            • Re: The patient with non-union of the distal femur
              Отправитель: Алексей Семенистый 07 Май 2007, 00:27
              Безусловно, тем более, что рентгеновский снимок это документ.


              С уважением, А.Семенистый.
              ГКБ 13, Москва.

              [ Ответить ]
    Re: The patient with non-union of the distal femur
    Nikolaj Wolfson 07 Май 2007, 08:55
    1. Patient's Age?
    2. Is there any evidence of infection?
    If not and patient is otherwise well: locking distal femoral plate is my first choice.

    Nikolaj

    Nikolaj Wolfson, MD, FRCSC
    Assistant Professor of Clinical Orthopaedics
    Department of Orthopaedic Surgery
    Keck School of Medicine
    University of Southern California
    [ Ответить ]

    Re: The patient with non-union of the distal femur
    Dr.Ali Faisal 07 Май 2007, 08:57
    dear sirs
    we are facing a number of problems together 1st non union 2nd dysuse osteoporosis which will make any type of fixation more difficult than usuall 3rd the knee stiffness which will exert stress on fracture site , however , bone grafting & rigid fixation with an L-plate shaped for the femoral condyles & when the # is sticky the patient should be placed in a caliber with a knee hing & allow him to walk 1st partial then full wt bearing is my humble openion

    Dr.Ali Faisal
    Erbil teaching hospital
    department of orthopaedics & traumatology -
    Erbil / Iraq

    [ Ответить ]

    Re: The patient with non-union of the distal femur
    George Thomas 07 Май 2007, 17:06
    This is not all that old - only two years. My choice would be to open the fracture site, freshen the ends, get as near an anatomical reduction as possible and use the locking compression plate system for fixation.

    George Thomas,
    Railway Hospital,
    Chennai, India.
    [ Ответить ]

    Re: The patient with non-union of the distal femur
    Gavin Pereira 08 Май 2007, 00:01
    Would anyone use a retrograde nail in this case? (after freshening up the #
    site of course)

    Gavin Pereira


    MBBS, FRCS(Eng), FRCS(Orth)
    Consultant Orthopaedic and Trauma Surgeon
    University Hospitals Coventry and Warwickshire
    Clifford Bridge Road
    Coventry CV2 2DX, United Kingdom
    [ Ответить ]

    • Re: The patient with non-union of the distal femur
      Отправитель: Mohammad Maqsood 08 Май 2007, 20:18
      Dear gavin
      I am bit reluctant to use retrograde nail, as the will still be too long working length and mor movement on fracture site, there is risk of non-union as more then required elasticity( strain theory of peren).
      I would prefer some kind of absolute stability, more like fixed angled device

      thank you

      MR Mohammad Maqsood
      consultant orthopaedic surgeon
      Lincoln county Hospital
      Lincoln

      [ Ответить ]
    Re: The patient with non-union of the distal femur
    Peter Trafton 08 Май 2007, 00:03
    Meta-diaphyseal atrophic nonunions generally respond better to absolute than relative stability. I presume your "freshening up" would involve taking this nonunion down to obtain an anatomical reduction, after which absolute stability might best be achieved with interfragmentary compression using a blade-plate, or, as others have suggested and I would prefer, if it were available, a locking distal femoral plate. If appropriate bone contact could be achieved, fixation might be enhanced significantly by using the external tension device to compress the fracture. I'd add bone graft.


    The following reference, which describes the short "GSH" retrograde femoral nail, seems to offer relevant evidence:

    J Orthop Trauma. 1995;9(4):285-91.
    Distal femoral nonunion: treatment with a retrograde inserted locked intramedullary nail. Koval KJ, Seligson D, Rosen H, Fee K.
    Between March 1989 and August 1993, 16 distal femoral nonunions (16 patients)
    were treated using the supracondylar intramedullary nail. The time between the
    initial event and retrograde nailing averaged 33 months. The nonunion level was
    infraisthmal in four patients and supracondylar in 12. Operative technique involved retrograde insertion of a reamed supracondylar intramedullary nail through the intercondylar notch. Follow-up was available on all patients and averaged 20 months (range 9-46). Four nonunions (25%) united with a single surgery at an average of 17 months. A fifth nonunion united at 21 months after
    nail dynamization and subsequent nail breakage. The nonunions of two additional patients united after exchange of a broken retrograde nail. Additional surgical procedures were performed in six of the remaining nine patients in an attempt to gain union. At an average follow-up of 16 months (range 9-23), none of the nine
    had united. Nine nails fractured at an average of 11 months, all through a screw hole near the nonunion. Based on these results, we cannot recommend use of the supracondylar intramedullary nail in its present form for the treatment of distal femoral nonunions.

    Best wishes,

    pg trafton
    [ Ответить ]

    • Re: The patient with non-union of the distal femur
      Отправитель: Mohammad Maqsood 08 Май 2007, 20:16
      Dear all
      I have a similair case who had non -union after supracondylar nail, which broke at the fracture site. I had to take the nail out and then fixed it with LISS_DF (locking plate) I did use the bone graft. fracture healed with 3 months.
      If fixation is solid fracture unite very well provided the environment of the fracture is suitable.
      anothe non-union was fixed with Fixed angled monoblock plate. (not DCS) and fracture healed, when augmented with bone graft.
      My experience is very pleasantuptill now.
      thank you all for keeping us updated
      MR Mohammad Maqsood
      consultant orthopaedic surgeon
      Lincoln county Hospital
      Lincoln


      [ Ответить ]
    Re: The patient with non-union of the distal femur
    Francis Cyran 08 Май 2007, 00:05
    I have seen several of these fail after multiple attempts to get them to heal(hard sclerotic bone like this, periosteal stripping, poor vascularity, etc), and have required distal femoral replacements. Just something to consider after the third attempt, and the patient is becoming tired of being operated on.
    [ Ответить ]

    Re: The patient with non-union of the distal femur
    Mangal Parihar 08 Май 2007, 00:27
    Interesting...

    We've used the ilizarov method and fixator, to gain union in nonunions such as these, which were either caused by conservative (plaster) treatment or by some means of internal fixation.

    If you have seen the earlier xrays - do you have an idea or opinion, why the previous two interventions failed?

    With the distal fragment being intact, and fairly large. I would venture to use some form of 95 degree implant either a DCS or 95 degree angled blade plate.
    The problem I would anticipate are - inability to gain a reduction due to the shortening which has been present for a long time. I would try with a femoral distractor to gain as much length as possible.
    Also, I would try to make the fracture configuration more stable from the oblique fracture lines that exist now. This would be probably by excising parts of the ends to make the ends a little more transverse, or trying to dock the distal end into the proximal.

    The other option is one of alexander's favorites - use the ilzarov fixator as a distractor to gain length over a few days, and then change to some form of internal fixation (I havent had the courage to try that as yet, due to the fear of infection)

    Mangal Parihar
    Orthopedic surgeon,
    Mumbai, India
    [ Ответить ]

    Re: The patient with non-union of the distal femur
    Dino Aguilar 08 Май 2007, 00:30
    Supracondilar femoral reconstruction nail (we use MDN supracondiltar nail from Zimmer) and bone graft.

    Dino Aguilar

    [ Ответить ]

    Re: The patient with non-union of the distal femur
    David Goetz, MD 08 Май 2007, 20:14
    First, knee needs to move so loosen up the gutters and surgically recreate the suprapatellar pouch. A stiff knee putts too much stress on your fixation.
    Next, anatomic alignment [not necessarily anatomic reduction] and lots of compression. I would use a locking plate with non locking screws proximally to allow that extra compression watching to be sure not to create excessive valgus. I would not worry about length. Bone graft as needed.

    D Goetz
    [ Ответить ]

    Re: The patient with non-union of the distal femur
    V.M.Iyer 08 Май 2007, 22:46
    If there is no fracture of the condyles (or even if there is) An intramedullary supra condylar nailing with locking above and below and weight bearing may solve his problem. With distraction rtrechnique you will be able to do it closed.

    --
    Prof V M Iyer, Consultant Iyer Orthopaedic Centre
    Retd HOD orthopaedic surgery. Govt medical college. Solapur.
    India.
    [ Ответить ]

    • Re: The patient with non-union of the distal femur
      Отправитель: Alexander Chelnokov 08 Май 2007, 22:49
      vbi> intramedullary supra condylar nailing with locking above and
      vbi> below and weight bearing may solve his problem.


      My view is that if it is hyper- or normotrophic nonunion, or partial healing i would proceed to gradual correction with ex-fix, then
      conversion to a nail (my personal preference would be antegrade nailing though of course retrograde is suitable). In case of atrophic nonunion and loose mobility - site opening + grafting, fixation by a plate with angular stablity.

      [ Ответить ]
      • Re: The patient with non-union of the distal femur
        Отправитель: vit 09 Май 2007, 19:23
        может быть, целесообразно сформулировать хотя-бы предварительный диагноз в данном случае, прежде чем приступать к" На обсуждение выносятся варианты лечения погружными конструкциями" и, к самому лечению.на мой взгляд имеют место быть: Последствия закрытого косого оскольчатого перелома метадиафиза бедренной кости от ?.?.2005г, фиксированного в КДА от ?.?.2006г,демонтажа КДА от ?.11.2006г,вторичного смещения отломков с формированием атрофического ложного сустава. в данной ситуации спектр "вариантов лечения погружными конструкциями" значительно сузится,оформятся показания к выполнению свободной костной пластики.


        [ Ответить ]
        • Re: The patient with non-union of the distal femur
          Отправитель: Alexander Chelnokov 09 Май 2007, 20:40
          v> может быть, целесообразно сформулировать хотя-бы предварительный
          v> диагноз в данном случае, прежде чем приступать к" На обсуждение


          Пытаемся, на основании описания и снимков. С дополнительной информацией пока коллеги не торопятся.

          v> лечению.на мой взгляд имеют место быть: Последствия закрытого косого
          v> оскольчатого перелома метадиафиза бедренной кости от ?.?.2005г,


          Если анамнез вписать в диагноз, это позволяет как-то оптимизировать процесс принятия решения?

          v> с формированием атрофического ложного сустава.

          Вот это уже собственно диагноз, вернее попытка его угадать. Возможно, там все-таки не атрофический ложный сустав. А нормотрофический, или сращение на ограниченном участке.

          v> в данной ситуации спектр "вариантов лечения погружными
          v> конструкциями" значительно сузится,оформятся показания к


          Да как-то не видно, при одной и той же исходной информации звучат предложения в доволльно большом диапазоне. И нельзя сказать, что такой-то метод здесь заведомо обречен на провал, как его не примени.


          [ Ответить ]
          • Re: The patient with non-union of the distal femur
            Отправитель: vit 09 Май 2007, 21:58
            Возможно, там все-таки не атрофический ложный сустав. А нормотрофический, или сращение на ограниченном участке.

            На мой взгляд, морфологичеескую сущность ложного сустава более объективно отражают данные инструментальных исследований (рентренография, кт, тепловизор, сцинтиграфия), чем физикальные (степень патологической подвижности), по крайней мере данные рг предоставлены - отсутствует периостальная реакция, начинающееся сглаживание концов отломков, склерозированная зона "сращения на ограниченном участке" скорее всего свидетельствуют о редукции кровоснабжения данной области и о формировании атрофического ложного сустава.

            лечению.на мой взгляд имеют место быть: Последствия закрытого косого
            v> оскольчатого перелома метадиафиза бедренной кости от ?.?.2005г,
            Если анамнез вписать в диагноз, это позволяет как-то оптимизировать процесс принятия решения?


            уже однажды, достаточное время оперативно безуспешно леченный перелом должен настораживать в отношении репаративной потенции в данной зоне и диктует необходимость подразумевать наиболее неблагоприятный прогноз.
            В конечном итоге речь идет только о необходимости выполнения костной пластики и фиксации из одного доступа.

            [ Ответить ]
            • Re: The patient with non-union of the distal femur
              Отправитель: Alexander Chelnokov 10 Май 2007, 00:16
              > на мой взгляд, морфологичеескую сущность ложного сустава более
              > объективно отражают данные инструментальных исследований
              > (рентренография,


              Вообще, разделение ложных суставов на гипер- и гипотрофические, тугие/болтающиеся успешно удавалось задолго до создания современных методов визуализации.

              > тепловизор,

              Это всерьез? Какую уникальную информацию при несращениях обеспечивает эта методика? Где в мире за пределами xUSSR она используется для диагностики несращений?

              > сцинтиграфия),чем физикальные (степень патологической подвижности).

              Как основа для выбора тактики при подобном несращении (если нет подозрений на инфекцию), IMHO достаточны клиника + рентгенологическая картина (2 проекции + при необходимости 3/4, + стрессовые снимки).

              > по крайней мере данные рг предоставлены- отсутствует периостальная
              > реакция, начинающееся сглаживание концов отломков, склерозированная


              Проводимое лечение может поменять классическую картину такого или другого ложного сустава. В частности, аппаратная фиксация может не обеспечить настолько выраженной нестабильности, чтобы развилось типичное гипертрофическое несращение.

              > в конечном итоге речь идет только о необходимости выполнения костной
              > пластики и фиксации из одного доступа.
              Для этого достаточно двух слов - атрофическое несращение, без вписывания в диагноз анамнеза.

              [ Ответить ]
              • Re: The patient with non-union of the distal femur
                Отправитель: vit 10 Май 2007, 02:31
                Вообще, разделение ложных суставов на гипер- и гипотрофические, тугие/болтающиеся успешно удавалось задолго до создания современных методов визуализации
                что же мешает Вам сформулировать диагноз?-отсутствие стрессовых снимков?
                > тепловизор,

                Это всерьез? Какую уникальную информацию при несращениях обеспечивает эта методика? Где в мире за пределами xUSSR она используется для диагностики несращений?
                атрофические ЛС соповождаются локальной гипотермией, гипертрофические-наоборот.
                > сцинтиграфия
                АЛС-усиленное накопление радиофармпрепарата,
                ГЛС, соответственно наоборот. в данном конкретном случае необходимости в этих исследованиях естественно нет, достаточно оценить рг-граммы, представленные данные .
                Проводимое лечение может поменять классическую картину такого или другого ложного сустава. В частности, аппаратная фиксация может не обеспечить настолько выраженной нестабильности, чтобы развилось типичное гипертрофическое несращение.
                у данного несращения имелось достаточное количество времени после демонтажа КДА, чтобы развить типичное гипертрофическое несращение. поэтому такие анамнестические события ,на мой взгляд, целесообразно отражать в диагнозе.


                [ Ответить ]
    Re: The patient with non-union of the distal femur
    Lew Zirkle 09 Май 2007, 11:19
    I would use a retrograde SIGN nail. The interlocking screws in the distal fragment would be placed first, the fracture site impacted and the interlocking screws in the proximal fragment place.



    Best regards,

    Lew Zirkle
    [ Ответить ]

    Re: The patient with non-union of the distal femur
    Djoldas Kuldjanov 09 Май 2007, 14:12
    Предлагаемые ретро-антеградные штифты идеальны для свежих диафизарных переломов, но, по-моему, имеют слабые возможности при "коротком" ложном суставе бедра и при наличии контрактуры.
    Антеградный метод из-за короткого дистального фрагмента и малого рычага не дает адекватную фиксацию, а ретроградный штифт трудно установить из-за отсутствия сгибания, или это повлечет дополнительное повреждение суставной поверхности.
    Укороченный фрагмент с самого начала являлся проблемным, на рентгене не видны следы от множественных спиц, обычно применяемых для лечения "коротких" переломов.

    Адекватную фиксацию можно получить путем экстрафокальной косой остеотомии более проксимально, тем самым удлинить дистальный фрагмент, без повторной работы в фокусе патологии, что, в свою очередь, приведет к еще большему укорочению фрагмента.
    Как предлагают коллеги, свежие стрессовые снимки уточнят наличие подвижности, а длинный на всю длину конечности снимок позволит провести точный предоперационный расчет по коррекции.

    Предпочтительно фиксацию провести пластинами, во-первых, можно было сделать квадрицепс-пластику по Judet для восстановления движения в суставе, а потом коррекцию и фиксацию кондилярной пластиной с угловой стабильностью. Стерильный турникет на конечность поможет уменьшить кровепотерю во время операции.

    До выхода Locking Plate, 95 градусная Blade Plate считалась одним из первых locking concept и фаворитов в лечении супракондилярных переломов и осложнений, потому что лезвие внедряясь параллельно к суставу, что создавало хорошую фиксацию. Для усиления фиксации иногда применяли Schuhli nut, чтобы блокировать шуруп в отверстии
    (первый прототип locking concept)

    Многие уточняющие вопросы участников остаются без ответа, поэтому просьба отправителям исходного сообщения принять живое участие, и также описать свою материальную базу, что имеем, с чем работаем, а то рекомендовать-то можно..

    Djoldas Kuldjanov, MD
    Department of Orthopedic Surgery
    St. Louis University Medical Center
    [ Ответить ]

    • Re: The patient with non-union of the distal femur
      Отправитель: Djoldas Kuldjanov 10 Май 2007, 00:36
      Вдогонку..
      Вчера утром поступил больной с огнестрельной раной, осмотрен сосудистым специалистом, сделана ангиограмма (снимки) Во время операции при вскрытии обнаружили кровотечение, рану забили салфетками, установили пластину locking DePuy.




      Из-за возрастающего давления в компартменте сделана фасциотомия и вызванный сосудистый хирург ушил разрыв вены на уровне перелома. Все раны оставлены открытими, в пятницу закроем.


      Djoldas Kuldjanov, MD
      Department of Orthopedic Surgery
      St. Louis University Medical Center


      [ Ответить ]
      • Re: The patient with non-union of the distal femur
        Отправитель: vit 13 Май 2007, 23:09
        интересны обстоятельства ранения. известен ли вид ранящего снаряда( по всей видимости имеет место быть ранение низкокинетическим ранящим снарядом, м.б. это был рикошет? кто стрелял- полицейский?) из раны какой поверхности бедра реализовывалось кровотечение?-операционной раны?.в чем заключались сложности осуществления гемостаза?что посужило показанием к осуществлению фасциотомии при при напряженной гематоме, особенно в условиях анамнестически неустойчивого гемостаза, а не срочной ревизии гематомы? была ли закрыта металлоконструкция мышечной тканью?

        [ Ответить ]
    Re: The patient with non-union of the distal femur
    Bill Burman 10 Май 2007, 09:08
    Dr. Djoldas Kuldjanov of St Louis U has a good suggestion for operating theaters lacking locking plate options. Remember the Schuhli nut. See Schuhli nut locked plating for failed proximal
    femoral blade plate posted at weborto.net:

    Preop Plan:

    Postop:

    Non-Union United:


    For a good example of how this technique can be combined with a blade plate and applied to a distal femoral nonunion. See:

    Kassab SS,Mast JW, Mayo KA. Clin Orthop Relat Res. 1998
    Feb;(347):86-92. Fig 3A_D. Patients treated for nonunions with plate and screw fixation and adjunctive locking nuts.

    Even where locking plates are available, Schuhli nuts might be useful in case of accidental cross-threading.


    Bill Burman, MD
    HWB Foundation

    [ Ответить ]


    ( Ответить )

    Powered by Zope  Squishdot Powered MedLink
    Посетитель: 0200533
      "По форме правильно, а по существу - издевательство" В.И.Ленин
    ©2001-2019Orthoforum Coordinator.
    [ Главная | Отправить сообщение | Поиск | Админ ]