Ответить
|
Re: Выбор тактики лечения
РНЦ ВТО им.ак. Илизарова г.Курган 14 Май 2007, 14:54
|
на www.ilizarov.ru (официальный сайт РНЦ ВТО им. ак. Илизарова г.Курган)есть раздел Виртуальная консультация, попробуйте написать туда, и не забудьте приложить снимки
|
[
Ответить ]
|
Re: Выбор тактики лечения
Отправитель: Alexander Chelnokov 19 Май 2007, 09:31
|
Во-1-х, коллеги из Курганского центра и здесь присутствуют, во-2-х, разработанные там методики применяются повсеместно. Ну и совсем не факт, что в данном случае оптимально применение именно илизаровских методик.
|
[
Ответить ]
|
|
Re: Выбор тактики лечения
Валерий Николаевич 19 Май 2007, 08:28
|
Сведений явно недостаточно. Лечение длительно. А кто он? Что он? Какие у него перспективы (пожелания на жизнь)? Нельзя не учитывать этого с учётом длительности лечения
|
[
Ответить ]
|
Re: Выбор тактики лечения
Отправитель: Alexander Chelnokov 20 Май 2007, 00:18
|
ВН>> Подросток 14 лет получил патологический перелом шейки левого бедра
ВН>> месяцев выполнить коррекцию ШДУ, что частично устранит
> Сведений явно недостаточно. Лечение длительно.
Длительно - уже проведенное или предстоящее?
> А кто он? Что он? Какие у него перспективы (пожелания на жизнь)?
Какие особенные "пожелания на жизнь" можно ожидать от 14-летнего подростка? И какая разницы, "кто он и что он"? В любом случае он пешеход, так что ему не будет лишней функционально пригодная, опороспособная и безболезненная конечность правильной длины и формы.
> Нельзя не учитывать этого с учётом длительности лечения
Если сделать вальггизирующую остеотомию, то через 2-3 месяца он вернется к ходьбе с полной нагрузкой.
|
[
Ответить ]
|
|
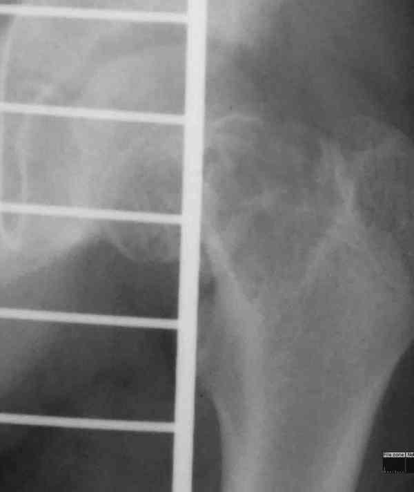
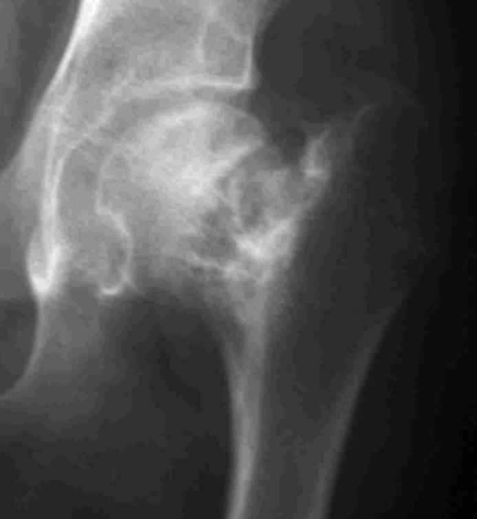
Re: Сросшийся патологический перелом шейки бедра - выбор тактики лечения
Антон Андрианов 20 Май 2007, 08:32
|
Интересует возможность одномоментного устранения очага ФД и корригирующей остеотомии, хотя я склоняюсь к двухэтапной тактике.Когда я впервые увидел этого подростка, сразу после снятия гипсовой повязки, консолидации не было и в планах была экскохлеация с медиализирующей вальгирующей остеотомией. Сейчас, когда консолидация отчетливая, возможно ограничимся только вальгизацией.На мой взляд надо оствить приемлемые условия для последующего ТЭП. Удивляет столь закрепившееся в практике мнение о возможности спонтанного восстановления костной после патологических переломов при кистах и ФД.
|
[
Ответить ]
|
Re: Сросшийся патологический перелом шейки бедра - выбор тактики лечения
Viktor Kost 24 Май 2007, 22:28
|
Уважаемый Антон Андрианов!
Около 16 лет наблюдаю пациента с ФИБРОЗНОЙ ДИСПЛАЗИЕЙ левой нижней конечности, полиосальная форма. Прилагаю рентгенснимки.

Рекомендую консультироваться в Европейском Центре Фиброзной дисплазии - город Лион, Франция. Они там зубы на этом сьели.
|
[
Ответить ]
|
( Ответить )
|