Ответить
|
Re: Огнестрельный перелом бедра
vit 20 Май 2007, 11:27
|
интересны обстоятельства ранения. известен ли вид ранящего снаряда( по всей видимости имеет место быть ранение низкокинетическим ранящим снарядом, м.б. это был рикошет? кто стрелял- полицейский?) из раны какой поверхности бедра реализовывалось кровотечение?-операционной раны?.в чем заключались сложности осуществления гемостаза?что посужило показанием к осуществлению фасциотомии при при напряженной гематоме, особенно в условиях анамнестически неустойчивого гемостаза, а не срочной ревизии гематомы? была ли закрыта металлоконструкция мышечной тканью?
|
[
Ответить ]
|
Re: Огнестрельный перелом бедра
Отправитель: Djoldas Kuldjanov 20 Май 2007, 20:19
|
Пострадавшему 23, пистолетная огнестрельная не кроветочащая рана, меньше одного см диаметром, входное отверстие расположено латерально, и выход передне-медиально, и еще имеется второе пулевое ранение правой navicular bone с этой стороны.
За прошлый год через ER (emergency room) прошли 320 пострадавшие с пенетрирующими ранами. Редко кто из пострадавших говорит правду, все они "идеальные законопослушные граждане", еженедельно посещают церковь, и ранения получили после посещения церкви.
Относимся скептически к рассказам пострадавших,
особенно с огнестрельными травмами, больше уделяем внимание скорости и характеру ранящего снаряда.
Любые огнестрельные раны относятся к "первой категории сложности", и проводится обследование соответственно протоколу с вовлечением врача хирурга-травматолога, ортопедов привлекает в качестве консультантов.
Несмотря на сниженный до 0.9 BI-ankle-brachial-index (обязательное, недорогое исследование при подозрении на повреждение сосудов, рассчитанный по разнице давления в нижней и верхней конечности), последующее КТ ангиограмма не подтвердила повреждения артериальных сосудов.
Доступ был латеральный, при вскрытии с задней
поверхности бедра обнаружили кровотечение. Поднятием давления на заранее установленном турникете на конечности проконтролировали кровотечение.
В данном случае мы не ставили осуществление гемостаза приоритетным, после 30 минут больной оставлен вызванному сосудистому хирургу со стабильной фиксацией бедра. Несмотря на выбранный передне-медиальный доступ, хирург произвел восстановление сосудистого повреждения.
При близости сосудов к многооскольчатому повреждению костей, сперва необходимо удостовериться в наличии повреждения сосудов без применения турникета.
Сосудистые повреждения часто приводят к увеличению
давления в компартментах, мониторинг на голени показал увеличение, и поэтому сделана профилактическая латеральная фасциотомия.
Латерально пластину защитили ушиванием
илио-тибиального тракта, а медиальная сторона была ушита мышцей, и все раны закрыли ваккумированием (VAC)
На третий день после Irrigation & Debridment закрыли все раны за исключением компартментальной раны из-за отека, медиально в дефект кости установили Putty Grafton Bone Substitute. На компартментальную рану вакуум и мероприятия по сближению краев раны резиновой стяжкой.
На 9й день с момента травмы ушили рану без натяжения. Больной получает реабилитацию, движения коленного сустава с помощи CPM-continuous passive motion machine. Сегодня выписан.

Djoldas Kuldjanov, MD
Department of Orthopedic Surgery
St. Louis University Medical Center
|
[
Ответить ]
|
Re: Огнестрельный перелом бедра
Отправитель: Pavel Ivanov 21 Май 2007, 02:57
|
Dear, Djoldas.
Джолдас, логичность, последовательность и результат Ваших действий в данном примере очень подкупают.
DK> реабилитацию, движения коленного сустава с помощи CPM-continuous
DK> passive motion machine. Сегодня выписан...
... на 11-е сутки!
Джолдас, спасибо за представленный поучительный случай. Я в течение 10 лет работал военным травматологом. С пиететом отношусь к военной медицине. Не понаслышке знаю, что в отечественной военной травматологии практически под запретом первичный внутренний остеосинтез при огнестрельных повреждениях. Нисколько не умаляю уникальный опыт наших врачей, но еще раз убеждаюсь - такой подход не всегда обоснован.
Жаль, что в форуме участвует немного действующих и находящихся в запасе военных травматологов (Александру Александровичу Артемьеву и Юрию Алексеевичу Булахтину низкий поклон). Пробую представить на минуту, что в армии у каждого солдата и офицера появился компьютер и все военные травматологи получили возможность читать форум. Думаю, что подавляющее большинство реплик можно будет выразить одной фразой: "У вас же все нагноиться! Надо было накладывать аппарат!"(для экономии трафика некоторые элементы фразы мной опущены). И тут же пробую им возразить: "Да нагноиться, но далеко не у всех. Многим менее чем у половины. И наверное это не повод, что бы отказаться от шанса вылечить большую часть этих раненых так же эффектно, как это делает доктор Кульджанов. Давайте представим, что у нас 100 пациентов с подобным по тяжести и локализации переломами и мы всех прооперировали подобным образом. Уверен, у 10-20% больных, не более, возникнут гнойные осложнения. Не будем делать из этого трагедии. Эти осложнения случаться в течение первых 2-3 недель. Тогда пластину можно будет спокойно удалить и лечить перелом как-раз теми же аппаратами, которые всем (100%) пациентам с подобными переломами в первые сутки рекомендуют накладывать отечественные военные руководства и инструкции. И надо будет делать те же этапные вторичные хирургические обработки, которые аналогичны повторным хирургическим обработкам, проводимым сейчас у нас большинству раненых начиная со вторых суток лечения. И результат лечения этих раненых, которым "не повезло", не будет намного хуже результатов лечения раненых в наших госпиталях. В подобной ситуации сами пациенты с осложнениями оказываются в той ситуации, в которой должны были оказаться еще в первый день лечения. Но зато им давали шанс. И не будем забывать, что к этому времени 80-90% их товарищей фактически закончили лечение, благополучно выписаны и к врачам вообще уже могут не обращаться."
Еще раз уточню, что имел в виду больных с относительно нетяжелыми огнестрельными переломами. Далек от мысли, что все огнестрельные переломы надо лечить подобным образом, если вообще можно говорить о каких-то шаблонах при такой сложной и многогранной проблеме как боевая травма. Кроме того, в военно-полевых условиях и при этапной эвакуации лечить так не получиться. Но в условиях городского стационара или госпиталя при изолированных ранениях низкоскоростными ранящими снарядами и благоприятном местном статусе! Я буду пробовать.
Еще раз спасибо.
--
Best regards,
Pavel Ivanov
Sklifosovsky Clinical and Research Institute for Emergency Medicine
Polytrauma Department
|
[
Ответить ]
|
Re: Огнестрельный перелом бедра
Отправитель: vit 22 Май 2007, 02:28
|
вопрос к Dr. Djoldas: кто непосредственно лечит прооперированных Вами раненых, в случае развития у них инфекционных осложнений? Вы никогда не "женились" на подобных пациентах? достаточно "гарема" из 1-2 пациентов в год.
|
[
Ответить ]
|
Re: Огнестрельный перелом бедра
Отправитель: Djoldas Kuldjanov, M.D. 24 Май 2007, 01:40
|
Несмотря на все усилия, у больных с открытими множественными сочетанными травмами, к нашему сожалению, могут возникнуть осложнения.
У нас нет отдельного гнойного или остеомиелитного подразделения для изоляции септических и осложненных больных.
Никуда не отправляя, терпеливо лечим теми же множественными дебридментами, антибиотиками и спейсерами.
"Развод"-право пострадавшего, при неудовлетворености результатом лечения, имеет право попросить о "second opinion" у другого специалиста или тогда когда ваша "компетентность" не позволяет решить проблему, больной может быть направлен к другому специалисту.
В стационарах Уровня Первого Травматологического Центра (Level One Trauma Center) больные могут находится вразнобой, то есть в одной 2х местной палате может оказаться больные с разными патологиями, например, абдоминальной и скелетной травмой.
Каждая служба смотрит своих больных, звучит странно, но система работает и проблем с отсутствием места в "отделении" не бывает, потому что все больные "наши".
Несмотря на старания, иногда "грязные" больные могут оказаться в операционной, где проводится операции на сердце, трансплантации органов и замена суставов, только после каждой операции проводится полная дезинфекция, включая стены.
Также отсутствует понятие "24 часового закрытия операционных" с облучением "ультрафиолетовыми лампами"(их просто нет) после инфицированных операций.
Службой эпидемиологии проводится плановые заборы воздуха, но не встречал карательные санкции.
Нет отдельных перевязочных для ходячих и лежащих, все перевязки делаются в палатах одноразовыми средствами.
Djoldas Kuldjanov, MD
Department of Orthopedic Surgery
St. Louis University Medical Center
|
[
Ответить ]
|
Re: Огнестрельный перелом бедра
Отправитель: Maxim Agalakov 28 Май 2007, 10:50
|
Уважаемый Джолдас, такая тактика в отношении совместного лечения "чистых" и "грязных" пациентов у вас принята повсеместно? Так было всегда? Не ведет ли это к увеличению количества гнойных осложнений?
Maxim
|
[
Ответить ]
|
Re: Огнестрельный перелом бедра
Отправитель: Djoldas Kuldjanov 29 Май 2007, 22:30
|
Стараемся "чистых" и "грязных" разделить в разные палаты, хотя процент двухместных палат в больницах очень мал.
Во всех госпиталях где пришлось работать, примерно такая тактика. Несмотря на специальные системы в
операционной с отводом воздуха из операционного поля, приходилось встречать осложнения, но очень редко при плановых операциях.
|
[
Ответить ]
|
Re: Огнестрельный перелом бедра
Отправитель: Maxim Agalakov 29 Май 2007, 22:35
|
Т.е. количество гнойных осложнений сопоставимо с таковым при раздельном ведении таких пострадавших?
--
С уважением,
Агалаков
|
[
Ответить ]
|
Re: Огнестрельный перелом бедра
Отправитель: vit 29 Май 2007, 01:57
|
весьма благодарен Вам, Dr.Djoldas Kuldjanov, за столь подробное описание Вашего "конвеера"."развод" с пациентом - это тоже один из вариантов. но, все-таки, интересует именно "совместная жизнь" до победного конца. имеется ли в Вашем стационаре возможность исчерпывающей курации пациента, даже если лично Вам для этого необходимо несколько лет? как Вы поступаете с пациентами, которым показан именно внешний остеосинтез, возможно продолжение лечения в амбулаторных условиях, но по своему психическому состоянию их нахождение вне стационара невозможно?
|
[
Ответить ]
|
Re: Огнестрельный перелом бедра
Отправитель: Alexander Zolotov 22 Май 2007, 09:58
|
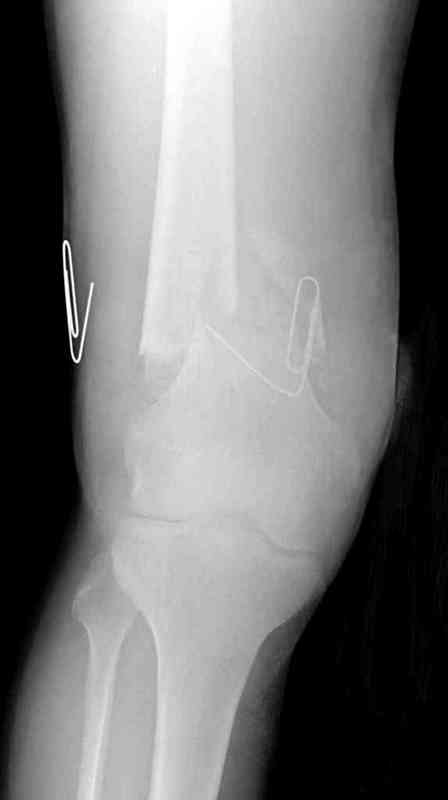
> мероприятия по сближению краев раны резиновой стяжкой.
Не могли бы Вы рассказать о технике наложения и методике использования "резиновой стяжки"? У нас сохранилось несколько коробок "сосудистых" резиновых полосок (гуманитарная помощь). Мы используем их как "держалки" для сосудов и нервов (фото в прищепке). Вы продемонстрировали иное применение. Или это другие "стяжки"?

Best regards,
Alexander
|
[
Ответить ]
|
Re: Огнестрельный перелом бедра
Отправитель: Djoldas Kuldjanov 22 Май 2007, 10:08
|
Нет, те же сосудистые держалки, их можно применить для сближения краев ран, только надо иметь stapler для ушивания. Резина прикрепляется с помощью скоб по краям раны (как на рисунке) и затягивается. Сверху вакуум VAC, через пару дней почти приближенные края
закрывается без натяжения.
|
[
Ответить ]
|
|
( Ответить )
|
|