AOTRAUMA.ORG Центр Илизарова  

Ортопедия и травматология Общие вопросы/General questions Help Информационные технологии в медицине
 вверх
 отправить
 поиск
 админ
 главная
 Предыдущее
 Весь тред


Re: несросшаяся шейка бедра
Anton Vakulenko 29 Май 2007, 22:32
Буду ждать!..

--
С уважением,
А. В. Вакуленко
  • Сообщения о Ортопедия и травматология
  • Также Anton Vakulenko
  • Связаться с автором
  • Ответить

    Re: несросшаяся шейка бедра
    Maxim Agalakov 30 Май 2007, 23:02


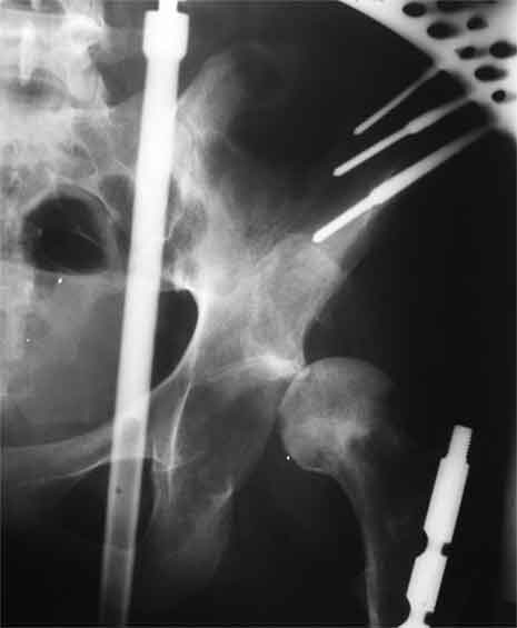
    Еще пара фото, ситуация несколько иная, задачи те же, открытое вправление застарелого вывиха в 2002, молодой возраст. Сейчас госпитализирована для эндопротезирования.



    --
    С уважением,
    Агалаков

    [ Ответить ]


    ( Ответить )

    Powered by Zope  Squishdot Powered MedLink
    Посетитель: 0324721
      "По форме правильно, а по существу - издевательство" В.И.Ленин
    ©2001-2019Orthoforum Coordinator.
    [ Главная | Отправить сообщение | Поиск | Админ ]