вверх
отправить
поиск
админ
главная
Предыдущее
|
Re: Операция на переднем полукольце таза при налич
dan schlatterer 12 Июнь 2007, 03:12
|
good morning to all,
attached are images of a 70 year old female after peds versus car. her own car ran her over.
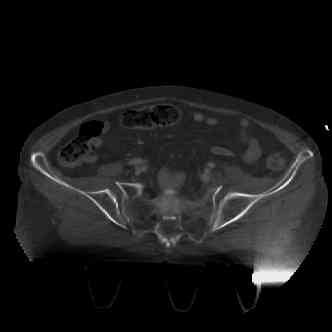
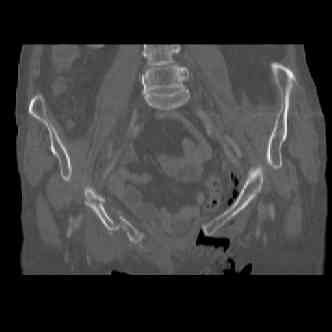
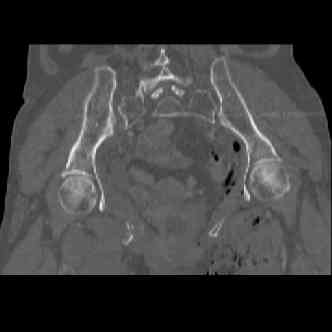
injuries are limited to the pelvis. left rami open and visible in a 10cm vertical laceration just lateral to left labia majora. wound is grossly clean. no vaginal and no urinary issues. CT scan shows widening of both SI joints anteriorly but I think this is vertically stable pattern.

pt treated that night with I/D and supra-acetabular frame to close the ring. consideration was given for SI screws bilateraly, but given time of night and other factors decision made not to proceed.
so the question is what next operatively if anything? concerns are infection, nonunion anteriorly and possible incompetence of the pelvic floor which may lead to prolapse issues. right rami are comminuted and plating may entail ilioinguinal approach to extend plate laterally to right iliac wing. retrograde screw up right rami is an option but I am not convinced it will add much. adding SI screws very doable, but major concern is restoring anterior ring. so far wound is clean and closed over a drain, and I have no plans to open it back up and wash again.
maintaining pelvic alignment in ex-fix in 70 yo female for any length of time may be challenging.
any thoughts? would anyone plate the pubic symphysis to close the gap and leave the more lateral rami fractures alone? the most recent pelvic case on this website involved pts with suprapubic catheters and antibiotic options including resorbable beads. I wonder how many people would plate and place antibiotic beads. thanks.
dan schlatterer
|
|
|
Ответить
|
Re: Операция на переднем полукольце таза при налич
Chip Routt 12 Июнь 2007, 04:33
|
We'd need ct images to make reasonable recs.
Chip
|
[
Ответить ]
|
Re: Операция на переднем полукольце таза при налич
Отправитель: dan schlatterer 12 Июнь 2007, 04:47
|
attached are several CT cuts. please let me know if you need more. the CT is pre-pelvic ex-fix placement.

Thank you.
|
[
Ответить ]
|
Re: Операция на переднем полукольце таза при налич
Отправитель: Chip Routt 12 Июнь 2007, 04:53
|
I wouldn't plate the front.
But I would add screws posteriorly.
Chip
|
[
Ответить ]
|
Re: Операция на переднем полукольце таза при налич
Отправитель: dan schlatterer 12 Июнь 2007, 15:40
|
excellent, I agree and that is just what I was hoping to hear. thank you.
dan schlatterer
|
[
Ответить ]
|
|
Re: Операция на переднем полукольце таза при налич
Sam Agnew 12 Июнь 2007, 04:35
|
Dan
More information is needed, please --before any realistic advice can be rendered:
What was/is her ambulatory and health status prior to her crushing injury After your primary and secondary examination - what is the stability or instability pattern of her pelvic injury exactly?
No GU or GYN issues -based on what studies/examinations?
True inlet outlet and lateral (following AP crush) would be most helpful CT scan images of necessary anatomic points both anterior and posterior
My concern is overall pelvic stability in addition to the wound factors.
As an aside I found it interesting that you can place a Supra-acetabular frame, pelvic washout in the 'dead of night' but could you elaborate more on your decision not to proceed with more definitive treatment as you eluded to?
Thanks
Samuel G. Agnew MD FACS
Orthopaedic Trauma
|
[
Ответить ]
|
Re: Операция на переднем полукольце таза при налич
Отправитель: dan schlatterer 12 Июнь 2007, 04:51
|
hello sam
it is good to hear from you. this lady is an independent ambulator, lives alone, drives a pick-up truck (which ran her over), and she is healthy. GYN pelvic exam was completed pre-operatively and CT scan with contrast did not show any bladder/urethral leaks. no blood has ever been noted from foley catheter or from the vagina. pretty amazing given the diastasis.
in terms of stressing the pelvis intra-operatively to assess overall stability, the trauma AP pelvis and CT scan provided plenty of info. I suppose one could stress the vertical stability, but again to what end? this pt had nearly 8cm of diastasis. rotational instability was a given. in terms of a lateral pelvic xray, I cannot say that besides a false profile lateral for hip dysplasia, I am not aware of lateral pelvic xrays for pelvic ring disruptions. if this is something that you do I would be interested in seeing an xray or two.
your final question is a good one. why not place the SI screws at the time of the I/D and pelvic ex-fix. the time involved is not that great. I place a lot of SI screws (at least I think I do although I am sure others place more) and they can take very little time. no one factor made the decision. it was a combo of poor fluoro (views and tech), time from injury, meaning these pts can turn suddenly for the worse. so I started to feel that we were pushing too much (pts' pressure was up/down, she was getting blood, etc), and so on. if I stayed in the OR longer and the pt crashed (which I have seen) questions would arise. If I left the OR and the pt had no further problems and retrospective it looked like I could have stayed in the OR longer then questions would arise. in the middle of the night I am happy (relatively) to work but the goals of this case (emergent I/D and pelvic stabilization) were met so I decided not to proceed any further. for a lot of folks this will not be acceptable but to me less was more.
thank you for your input.
dan schlatterer
|
[
Ответить ]
|
Re: Операция на переднем полукольце таза при налич
Отправитель: Sam Agnew 13 Июнь 2007, 05:29
|
Dan
Lateral sacral or pelvic films was suggested based on the mechanism-crushed between vehicle and pavement- and not based on diastasis seen on admission, additionally a lateral sacral view for sacral dysplasia i always a good idea when attempting bilateral iliosacral screw stabilization, nes paux?
Thanks for the clinico-pathologic update
Samuel G. Agnew MD FACS
Orthopaedic Trauma
|
[
Ответить ]
|
|
( Ответить )
|
|