вверх
отправить
поиск
админ
главная
|
перелом бедренного стержня |
 |
 |
 |
Отправлено Евгений Семенов 04 Июнь 2007, 23:06 г.Челябинск
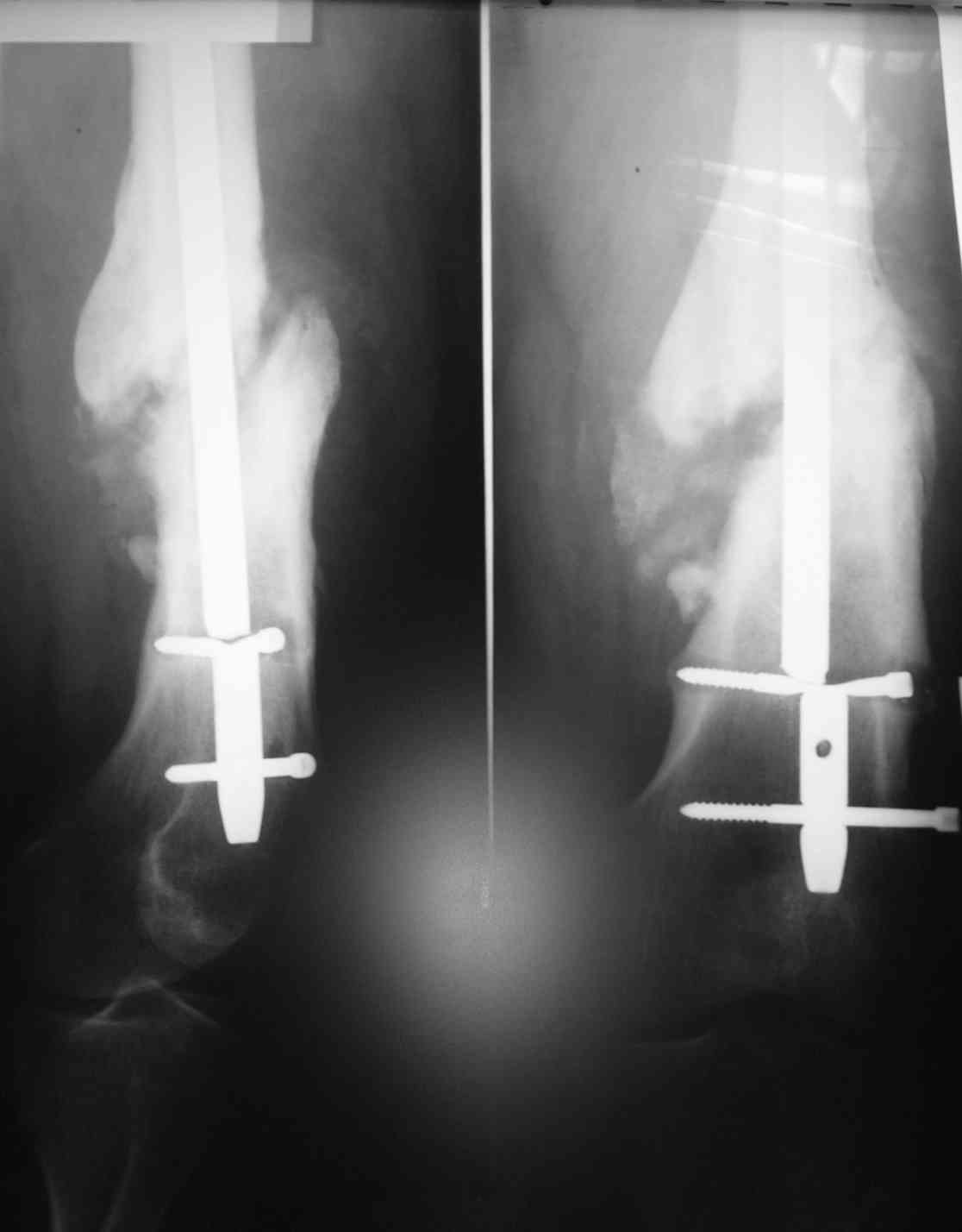
Обратился мужчина, 120 кг, из анамнеза: 1.5 года назад была проведена операция установка антеграднего стержня в связи с переломом в дистальном отделе бедренной кости. Спустя 1.5 года - несросшийся перелом кости и перелом стержня. Регулярно травматологом не наблюдался. недавно обратился к травматологу из-за возникшей боли. Посоветуйте, как наиболее доступно и наименее травматично удалить эту конструкцию? Тактика дальнейшего оперативноголечения?Мы планируем после удаления старой конструкции, установку ретроградного бедренного стержня с рассверливанием и первичной динамизацией. С Уважением,Семенов Евгений
<
|
>
|
|
Ответить
|
Re: перелом бедренного стержня
Alexander Chelnokov 05 Июнь 2007, 04:37
|
ЕС> года - несросшийся перелом кости и перелом стержня.
А динамизировали стержень? Есть сейчас снимок верхнего конца?
ЕС> боли. Посоветуйте, как наиболее доступно и наименее травматично
ЕС> удалить эту конструкцию?
Убрать все винты и проксимальную часть гвоздя. Можно взять проводник с шариком на конце. Провести его в дистальный отломок. Затем провести рядом 1-2 длинных спицы. При вытягивании проводника шарик из-за спиц не пройдет обратно в отверстие в обломке, то есть обломок захватится.
ЕС> Тактика дальнейшего оперативного лечения?
Тщательно померять длину бедер. Если укорочение существенное, >1,5-2 см, то лечить как тугой ложный сустав сначала, то есть наложить дистракционный аппарат, восстановить длину темпом 1 мм/сут дробно, затем заштифтовать с рассверливанием.
ЕС> Мы планируем после удаления старой конструкции, установку
ЕС> ретроградного бедренного стержня
Зачем ретроградного??? При готовом антеградном доступе и канале компрометировать еще и колено?
ЕС> с рассверливанием
Это конечно.
ЕС> и первичной динамизацией.
Это на случай, если нет укорочения. Если штифтовать после дистракции, то надо и запереть статически с сохранением достигнутой длины, прямо в напряженном на дистракцию аппарате.
|
[
Ответить ]
|
Re: перелом бедренного стержня
Алексей Семенистый 05 Июнь 2007, 06:56
|
> года - несросшийся перелом кости и перелом стержня....
> Посоветуйте, как наиболее доступно и наименее травматично удалить эту конструкцию?
Можно пробить дистальный отломок гвоздя в колено, но если он пойдет по направлению как есть сейчас, то вы получите некорректную точку входа для дальнейшего ретроградного реостеосинтеза. Поэтому, сначала можно ввести спицу в правильную точку входа для ретроградного штифта, вскрыть в правильном направлении канал, а затем попытаться ввести из этого канала спицу направитесь в дистальный конец каннюлированного гвоздя, и по ней сверху выбивать сломанный гвоздь. Удаление проксимальной части штифта проблем вызвать не должно.
Другой вариант: диаметр канала в гвозде 4,5-5 мм, необходимо заготовить длинный пруток диаметром 6-7 мм конец которого заточить под конус до 3,5мм желательно с резьбой, чтобы можно было этот конец внедрить в канал гвоздя и заклинить там. Но!
сначала убрать проксимальный отломок штифта, затем сломанный блокирующий винт, затем ввести антеградно и попасть в канал отломка гвоздя напрвитель для рассверливания костномозгового канала гибкими каннюлированными сверлами, затем рассверлить канал на 1 мм больше планируемого штифта, мм -14-15, теперь удалить направитель, и постараться попасть заранее заготовленным прутком с коническим концом в канал гвоздя, заклинить, выкрутить оставшийся дистальный винт и...
Перештифтовать ретроградно или антеградно?
За "ретроградно" то, что наверное через колено удалить проще, то что можно выбрать штифт у которого имеется возможность жесткого запирания винтов (спиральных клинков) заглушкой. У страйкеровского Т2 можно заблокировать оба винта, у Synthes один винт или spiral blade. Против то, что все-таки через сустав.
За "антеградно" - внесуставно, если есть необходимость коррекции углов деформации это тоже проще. Против: остеопороз выраженный, введение даже 3-4 винтов, которые жестко не блокируются в гвозде может не обеспечить требуемой стабильности.
> Тактика дальнейшего оперативного лечения? Мы планируем после удаления старой
> конструкции, установку ретроградного бедренного стержня с рассверливанием и первичной
> динамизацией.
Стратегия правильная: удалить рассверлить, перештифтовать.
Тактика: сверху или снизу, насколько рассверливать, первично динамизировать или нет... Над этим всем надо хорошенько подумать.
Удачи!
С уважением, А.Семенистый.
ГКБ 13, Москва.
|
[
Ответить ]
|
( Ответить )
|
|