ВХОД ДЛЯ ПАЦИЕНТОВ
вверх
поиск
админ
главная
исходное
|
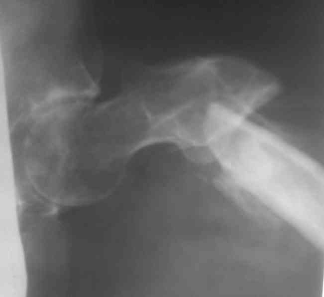
Re: Лечение ложного сустава шейки бедра
послал Ростислав 05 Июнь 2007, 05:20
|
Название темы- это произвольно!! Второй снимок прилагаю!!!

Больница ЖД - это типа (областной) На железной дороге!!!
|
Послать ответ |
Обратите внимание: Поля с жирными названиями обязательны.
Старайтесь отвечать в рамках обсуждаемой темы, а не начинать новые обсуждения.
Указывайте адекватную тему сообщения, чтобы было ясно, о чем оно.
Не послайте сообщений не по теме (оффтопик), раздраженных, грубых или обидных комментариев. Здесь это неуместно.
|