AOTRAUMA.ORG Центр Илизарова  

Ортопедия и травматология Общие вопросы/General questions Help Информационные технологии в медицине
 вверх
 отправить
 поиск
 админ
 главная


Необходимость операции
Ортопедия и травматология Отправлено А.В.Владзимирский 07 Июнь 2007, 17:22 ДНИИТО
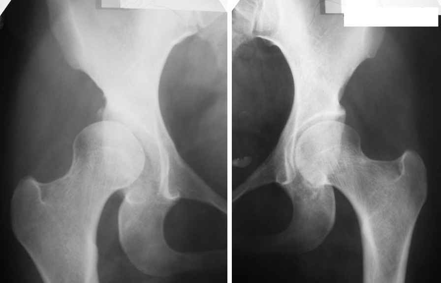
Женщина, 26 лет.
Врожденный вывих обоих бедер, сколиоз грудопоясничного отдела позвоночника 1-2 ст.
С февраля сего года отмечает периодические умеренные боли в правой паховой области. Движения в суставах не ограничены. Больной рекомендовано консервативное лечение.
Возможные варианты хирургических вмешательств (сроки)?
Заранее благодарю!!!
С уважением,
А.В.Владзимирский

<  |  >

 

  • Сообщения о Ортопедия и травматология
  • Также А.В.Владзимирский
  • Связаться с автором
  • Ответить

    Re: Необходимость операции
    Djoldas Kuldjanov, M.D. 08 Июнь 2007, 00:08
    Типичный возраст (замужество, беременность и нарастающий вес) проявления болей в диспластическом суставе.
    Пару лет консервативной терапии, после чего можно планировать замену сустава. Более эффективная операция по спасению сустава у молодых это периацетабулярная остеотомия.


    [ Ответить ]

    Re: Необходимость операции
    Alexander Rykov 08 Июнь 2007, 00:37
    Хиари с двух сторон, поочередно. Консервативное лечение - блеф.
    А Рыков
    Хабаровск.
    [ Ответить ]

    Re: Необходимость операции
    Alexander Chelnokov 08 Июнь 2007, 00:38
    Напоминаю, что в конце марта этого года на конференции по телемедицине в солнечном Донецке был сателлитный симпозиум по ортопедии, на котором наш коллега и друг Джолдас Кулджанов делал доклад по периацетабулярным остеотомиям при дислазиях у взрослых. Мне кажется, это как раз пациентка для этого подхода. Будем надеяться, он сам найдет время
    прокомментировать этот случай.
    [ Ответить ]

    Re: Необходимость операции
    Ильдар Ф. Ахтямов 08 Июнь 2007, 03:58
    Остеотомия таза, а после решения вопроса с деторождением - протез. АИФ
    [ Ответить ]

    Re: Необходимость операции
    Рашид Муртузалиевич Тихилов 08 Июнь 2007, 06:41
    Уважаемый А.В.Владзимирский,
    Этой пациентке показана периацетабулярная остеотомия
    С уважением, Р.Тихилов
    [ Ответить ]

    Re: Необходимость операции
    Михаил Я. Малиновский 08 Июнь 2007, 07:23
    Справа имеет место подвывих, который далее неминуемо будет нарастать не смотря на профессию. Имеет смысл раннее эндопротезирование в течение 6 месяцев - 1 года. Не стоит ждать проблем со стороны левого ТБ сустава и поясничного отдела позвоночника. Слева по моим приблизительным измерениям угол Виберга около 20 градусов что конечно не достаточно, но при наличии эндопротеза справа с операцией можно будет подождать не один год. ИМХО


    --
    С глубоким уважением,
    Михаил Я. Малиновский
    [ Ответить ]

    Re: Необходимость операции
    Aleksandr Samkov 09 Июнь 2007, 20:21
    Альтернативой эндопротезированию являются: тройная остеотомия таза и деторсионно-варизирующая остеотомия проксимального конца бедренной кости. Но что показано этой пациентке можно сказать только после очной консультации.

    Самков Александр Сергеевич
    [ Ответить ]


    ( Ответить )

    Powered by Zope  Squishdot Powered MedLink
    Посетитель: 0325866
      "По форме правильно, а по существу - издевательство" В.И.Ленин
    ©2001-2019Orthoforum Coordinator.
    [ Главная | Отправить сообщение | Поиск | Админ ]