Ответить
|
Re: Повторная травма таза
Evgueny Tchekashkine 15 Июнь 2007, 14:29
|
Алексей,
Видимо, стабильность фиксации КП винтами всё-таки недостаточна, изначально я бы выбрал переднюю фиксацию перелома крестца пластинами. Стержни внешнего фиксатора провести не в крылья подвздошных костей , а над верт лужными впадинами (латеральнее нижних остей) и через КП ( в архиве форума должны
быть картинки, Джолдас отправлял и у мой случай - больного с политравмой).
Успехов в трудном деле,
Евгений Чекашкин
|
[
Ответить ]
|
Re: Повторная травма таза
Отправитель: Рунков А.В. 15 Июнь 2007, 16:49
|
я бы выбрал переднюю фиксацию перелома крестца пластинами.
Слишком медиальный перелом для пластины.
У вас есть примеры? Любопытно взглянуть, есть ли неврология.
С уважением Рнков А.В.
|
[
Ответить ]
|
|
Re: Повторная травма таза
Рунков А.В. 15 Июнь 2007, 16:45
|
Уважаемый Алексей, основная ошибка - короткие илиосакральные винты. Без надежной фиксации крестца передние конструкции не удержатся (Если только больную на вытяжение не положить).
Если не секрет, где вы расположены географически?
В какой последовательности делали репозицию (сначала сзади или спереди), обнажали или нет зону несращения крестца, убирали или нет там рубцы.
Варианты победы.
1. Повторить ту же процедуру, но увеличить длину илиосакральных винтов до контрлатеральной массы крестца, швейцарская реконструкционная пластина на 8 отверстий по верхней поверхности с 3,5мм винтами через оба кортикала, особенно в теле лонных костей. Аппарат в существующем виде большой пользы не принесет, однако, если страшно, можно его оставить но многократно усилить (сделать кольцевым, захватить надвертлужную область, задние ости, добавить стержней в крылья)
Если в кольцевом аппарате хорошо схватиться за больное крыло, то можно сзади ограничится стержнями в здоровой ости (в больной стороне могут винты помешать)
2. Если сзади открываться не хочется, можно смонтировать кольцевой аппарат и репонировать все закрыто, затем длинные илиосакральные винты и пластина на лоно.
|
[
Ответить ]
|
Re: Повторная травма таза
Отправитель: alexander Rykov 16 Июнь 2007, 01:41
|
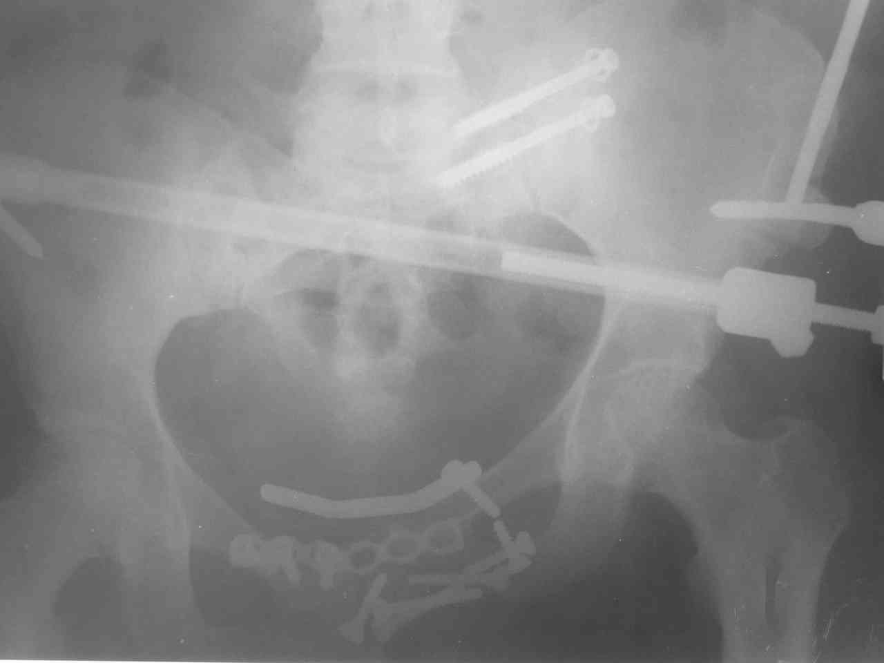
Алексей спасибо за советы. Привет. Не секрет. Мы в Хабаровске. При первом вмешательстве сначала шли сзади - рубцы убирали, затем спереди и после
синтеза 2-мя пластинами 10 винтов делали костную пластику в области лона.
Сегодня оперировали больную повторно. Начали сзади. Винты сменили на три + пластина на 8 винтов - крестец- подвздошная кость. Осталось до 1 см смещения кверху- но рассчитываем на анкилоз сзади. После этого пошли кпереди - убрали весь металл и сменили на пластину 8 винтов и пластину 6 винтов + костный трансплантат в лоно для замыкания таза. После чего решили апппарат не накладывать (уже было два) а дисциплинарное вытяжение на 6 недель. К сожалению пациентка курилка - и помчалась после первой операции в курилку - на 3 - неделе упала поскользнувшись на кофе. Неврологический дефицит есть, в виде нарушений чувствительности типа нейропраксии, но он был и до первого
вмешательства и не нарос после второго. Пациентка за 50 и полновата.
А Рыков Хабаровск.
|
[
Ответить ]
|
|
Re: Повторная травма таза
Djoldas Kuldjanov, M.D. 19 Июнь 2007, 16:04
|
При свежих переломах в заднем полукольце стабильности можно добиться шурупами, а при реконструктивных случаях короткие шурупы могут привести к несостоятельности фиксации.
Наша тактика не отличалась бы от вашей, т.е операцию провели: "сзади-спереди-сзади".
При тазовых реконструкциях фиксацию предпочтительно провести более стабильными конструкциями, потому что мягкотканая "память" имеет тенденцию к восстановлению в предоперационное положение, находясь в состоянии натяжения, и небольшая травма может усилить эти деформирующее силы, что может привести к смещению вправленных отломков.
Применение длинных (7 мм каннюлированных, с резбой на всем протяжении от компании Mercury) шурупов, проведенных между двумя илиосакральными сочленениями нейтрализирует деформацию до наступления сращения.

На другом конце затягивание гайкой создает эффект болта-стяжки.

Сверло-направитель в 3.2 мм проводится вручную без применения дрели, и длина в 46 см обычно достаточна до захвата следующего илио-сактрального сочленения.
 Sacroiliac screw placement
 Inlet view
Проведение сверла под неврологическим мониторингом уменьшает риск повреждения нервов во время операции.
 SI potential monitoring
При реконструктивных операциях, также можно применить другой альтернативный вариант фиксации "транс-илиакальной пластиной-балкой", согнутой по контуру подвздошной кости в 70 градусов.

Мне нравится методика, предложенная Рунков&Co - репозиция кольцами, особенно в застарелых случаях, но в наших условиях, за исключением редких случаев, навряд ли она подойдет большинству наших больных, потому что "сухощавые", "поджарые" больные в нашей практике большая редкость, таких больных видим из российских или из азиатских
публикаций. Поэтому кольца заменяем ретракторами бедра, а иногда приходится применить двойной ретрактор.
При необходимости внутренную фиксацию дополняем удобным, более жестким, нижним наружным фиксатором о которой напомнил Евгений.
3-4 недели достаточно для адаптации мягких ткани к новым условиям, и из-за отсутствия необходимости наружный фиксатор можно удалить.
Профилактику антикоагулянтами начинаем через сутки после операции до активности больного, садиться со второго дня если наружный фиксатор не мешает. Больным с избытком веса вена кава фильтер.
Алексей, на каком основании больная находилась в стационаре (3 недели) после первой операции, обычно при отсутствие других показании, больные не нуждаются в стационарном лечении.
Нельзя ли реабилитационные мероприятия организовать в менее дорогом стационаре или в домашних условиях?
Djoldas Kuldjanov, MD
Department of Orthopedic Surgery
St. Louis University Medical Center
|
[
Ответить ]
|
Re: Повторная травма таза
Отправитель: Maxim Agalakov 20 Июнь 2007, 00:27
|
> Применение длинных (7 мм каннюлированных, с резбой на всем протяжении
> от компании Mercury) шурупов, проведенных между двумя илиосакральными
не подскажете, работает ли эта компания в России, у нас постоянно затруднения с длинными винтами с полной нарезкой для илиосакрального введения.
|
[
Ответить ]
|
Re: Повторная травма таза
Отправитель: Alexaander Chelnokov 20 Июнь 2007, 00:30
|
Вот он сейчас все бросит и подорвется в Россию узнавать для любопытствующих, работает ли здесь эта компания...
|
[
Ответить ]
|
Re: Повторная травма таза
Отправитель: Djoldas Kuldjanov, M.D. 20 Июнь 2007, 03:42
|
Не думаю, неизвестная компания выпускает
лимитрованное количество специального инструментария, даже в штатах многие не знают о существовании этих шурупов, мой партнер Др. Моед придумал эти шурупы. Со следующей посылкой пришлю несколько штук.
Фотографии присланы как наглядный материал, может кто-то наладит производство.
Кстати, получили ли дугу для наружного фиксатора.
Джолдас
|
[
Ответить ]
|
|
( Ответить )
|
|