Ответить
|
Re: Дисплазия тазобедренного сустава 14 лет
Игорь 15 Июнь 2007, 23:34
|

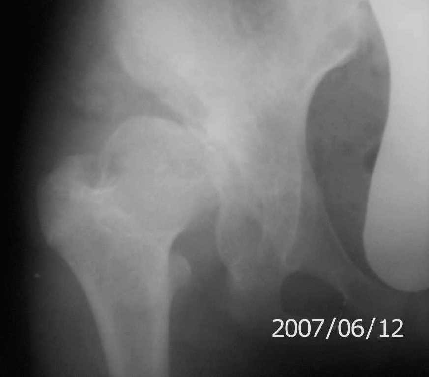
снимки
|
[
Ответить ]
|
Re: Дисплазия тазобедренного сустава 14 лет
Отправитель: Mark Eidelman 18 Июнь 2007, 05:57
|
Prishlite poghaluista pelvis AP +frog
On x-rays coxa magna, shallow true + pseudoacetabulum.Options: salvage
( Shelf /Chiari) or triple osteotomy.Trudno otvetit bez at least basic x-rays.
Mark Eideman.
|
[
Ответить ]
|
|
Re: Дисплазия тазобедренного сустава 14 лет
Ильдар Ф. Ахтямов 20 Июнь 2007, 03:43
|
Уважаемый Игорь!
Нужно провести деторсионно-варизирующую остеотомию бедренной кости и остеотомию таза по одной из многочисленных методик.
АИФ
|
[
Ответить ]
|
Re: Дисплазия тазобедренного сустава 14 лет
Lev Lapidus 20 Июнь 2007, 03:58
|
Здравствуйте Игорь
Ацетабулюм крайне недоразвит. Есть высокий подвывих, можно даже сказать вывих с формированием ложного ацетабулюм. Для головки нет покрытия совсем и расположена она высоко.
На мой взгляд - SHORTENING OSTEOTOMY , VARUS если надо (на основании снимка во внутренней ротации), репозиция головки, CHIARI OSTEOTOMY или SHELF OPERATON Спасибо за интересный случай.
Лев Лапидус
|
[
Ответить ]
|
Re: Дисплазия тазобедренного сустава 14 лет
Игорь 23 Июнь 2007, 18:26
|
Большое спасибо за Вашы совети.С уважением Игорь
|
[
Ответить ]
|
( Ответить )
|