ВХОД ДЛЯ ПАЦИЕНТОВ
вверх
поиск
админ
главная
исходное
|
Re: болезнь Альберс-Шонберга
послал Djoldas Kuldjanov 20 Июль 2007, 05:51
|
Для установки точного заболевания необходимо провести дифференцировку между заболеваниями скелетной дисплазии и множественным инфарктом мета-диафиза.
Дисплазии костного скелета встречается крайне редко, многие из них проявляются в виде нарушений формы скелета, а те, которые не проявляется физикально в основном диагностируется при случайных ренгенологических обследованиях.
1. Achondroplasia
2. Cleidocranial dysostosis
3. Dactyly
a. Brachydactyly (короткие пальцы)
b. Camptodactyly (контрагированные)
c. Polydactyly
d. Syndactyly
4. Enchondromatosis (Ollier)
5. Fibrous dysplasia
a. usual form (Jaffe-Lichtenstein)
b. with skin pigmentation and precocious puberty
(McCune-Albright)
6. Gaucher's
7. Hypophosphatemic rickets
8. Marfan's
9. Multiple hereditary exostoses
10. Neurofibromatosis
11. Osteogenesis imperfecta
12. Osteopetrosis
a. (with osteopetrosis, you get pyknodysostosis for
free)
13. Osteopoikilosis
Заболевание Albers-Schonberg, о котором идет речь, также знаком под синонимами генерализованной врожденный остеосклероз, мраморная кость.
Остеопетроз характеризуется болями в костях, а на ренгене следы множественных несращении длинных трубчатых костей и “белая-мелоподобная” кость.
Клинически проявляется головными болями из-за компрессии нервов и иногда приводящим к слепоте и глухоте.
Лабораторно - тромбоцитопеническая анемия из-за отсутствия кроветворных очагов в трубчатых костях, лейкопения, увеличение селезенки, частые инфекции и хронический остеомиелит.
Дифференцирование заболевания провести легко из-за невозможности прокола кости биопсийной иглой.
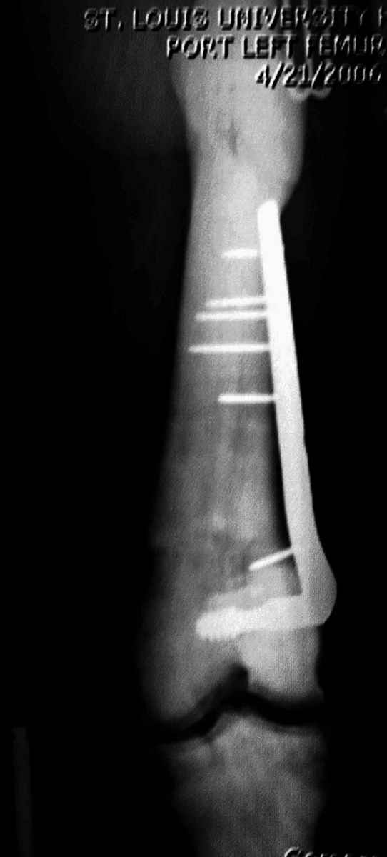
“При лечении переломов у больных с остеопетрозом (в прошлом году был случай) необходимо быть готовым к длительным операциям из-за трудности
обработки традиционными методами "мраморной" кости, иметь в наличие достаточное количество свежих острых инстументов и персонала при необходимости замены (были случаи отстрочки операции на следующий день из-за физической усталости персонала), и надо избежать особо трудоемких операции как интрамедуллярное сверление”.
Из диагноза нельзя исключить кальцифицированную энхондрому, но обычно редко распространяется в два сегмента. Не снимается возможности хондрогенной саркомы, коллагеновую васкулярную патологию и алкоголизм, но необходимо подтвердить дополнительными исследованиями и должны быть
клинические проявления. МРТ и биопсия костей является одним из необходимых методов уточнения диагноза.
Не являюсь специалистом по костной патологии, но мне кажется, на ренгенограмме множественные мета-диафизарные образования напоминяющее змееподобных извилистых линии и периостеальные ламинирование очень напоминяет картину остеонекроза (инфаркта) костей, возможно связано с длительным применением стероидов.
При предоставлении дополнительных информации, сканнирования, МРТ и лабараторных данных можно уточнить предварительный диагноз, пока склонен к обширному костному инфаркту, и таких больных рекомендуем лечить сиптоматически.
слайды из прошлегодного случая.

Djoldas Kuldjanov, MD
Department of Orthopedic Surgery
St. Louis University Medical Center
|
Послать ответ |
Обратите внимание: Поля с жирными названиями обязательны.
Старайтесь отвечать в рамках обсуждаемой темы, а не начинать новые обсуждения.
Указывайте адекватную тему сообщения, чтобы было ясно, о чем оно.
Не послайте сообщений не по теме (оффтопик), раздраженных, грубых или обидных комментариев. Здесь это неуместно.
|