ВХОД ДЛЯ ПАЦИЕНТОВ
вверх
поиск
админ
главная
исходное
последующие
|
Re: перелом вертлужной впадины
послал Maxim Agalakov 01 Август 2007, 05:03
|
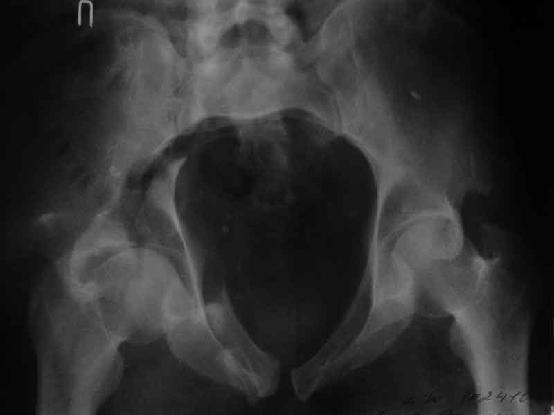
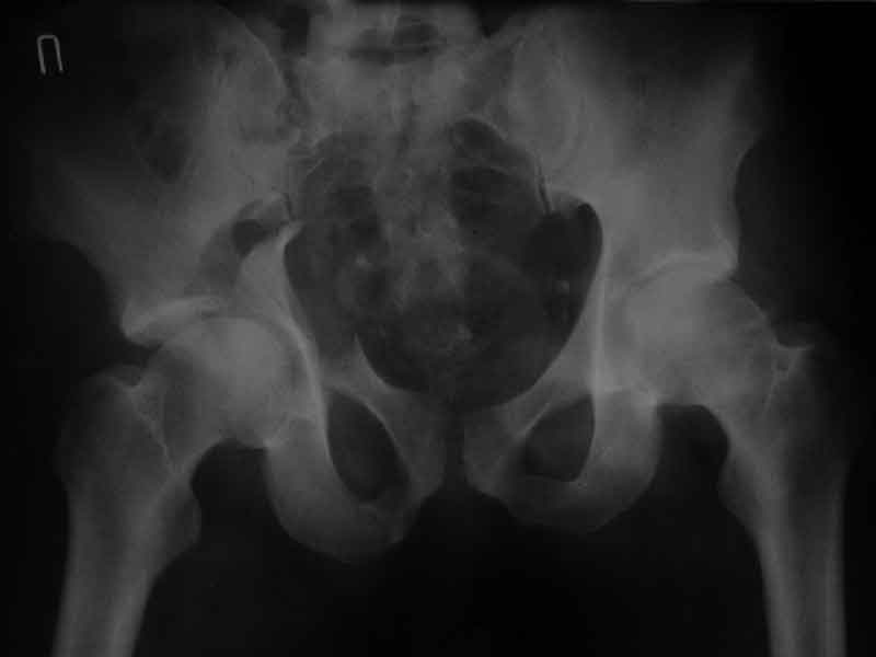
Дополнение, минимальный набор необходимых прекций, необходимых для лечения повреждений вертлужной впадины
Фас. Inlet
Подвздошная Запирательная 
|
Послать ответ |
Обратите внимание: Поля с жирными названиями обязательны.
Старайтесь отвечать в рамках обсуждаемой темы, а не начинать новые обсуждения.
Указывайте адекватную тему сообщения, чтобы было ясно, о чем оно.
Не послайте сообщений не по теме (оффтопик), раздраженных, грубых или обидных комментариев. Здесь это неуместно.
|