AOTRAUMA.ORG Центр Илизарова  

Ортопедия и травматология Общие вопросы/General questions Help Информационные технологии в медицине
 вверх
 отправить
 поиск
 админ
 главная


Патологические переломы плеча
Ортопедия и травматология Отправлено Alexander Chelnokov 02 Август 2007, 04:12
Dear коллеги,

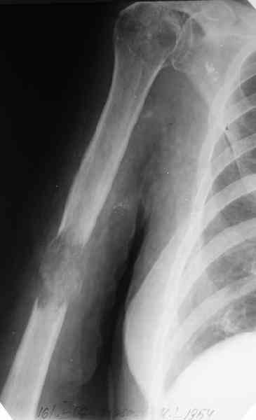
Женщина 53 лет получила патологический перелом правого плеча в феварле, и левого в марте - mts из невыясненного первичного очага.
Онкологи провели облучение, руки на косынки, время от времени наблюдают, вводили зомету.На нас вышли родственники. Состояние пациентки уже не очень, анемия (Hb -50-60 г/л), исхудалв, но асцита нет, в легких чисто. Поскольку женщина совершенно беспомощна, решили сделать остеосиннтез.

Анестезиологи упирались всеми конечностями, отказывались наркоз давать дольше, чем на 15-20 мин.

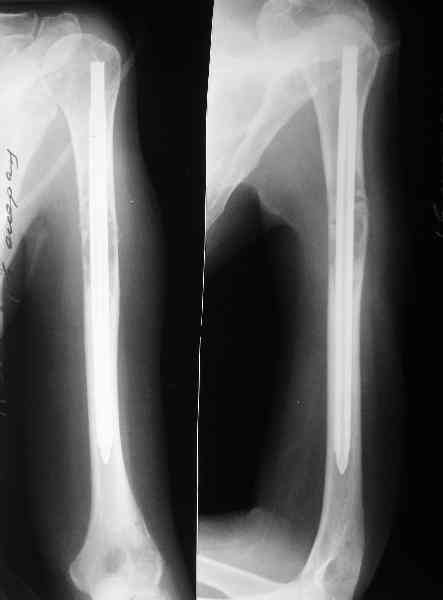
Сегодня сделали, Fixion диаметром 7,4 мм. Обе пперации продолжались по 7 мин. Картинки в приложении. Наркоз был диприваном, на спонтанном дыхании. По крайней мере, пока довольны хотя бы анестезиологи, похоже, не верили, что управимся меньше, чем за час ;-)

Гвоздик 7,4 расширяется до 11 мм. Не маловато ли, судя по снимкам?

Очередной раз обнаружилось, что нету у нас с онкологами общей идеологии. И сами они пациентам кости не стабилизируют, и к ортопедам не направляют, накладывают гипс по самые уши - и домой. Как у вас с этим обстоит, если удалось наладить взаимосвязь, то как?

<  |  >

 

  • Сообщения о Ортопедия и травматология
  • Также Alexander Chelnokov
  • Связаться с автором
  • Ответить

    Re: Патологические переломы плеча
    Миронов Андрей А.-Сургут 02 Август 2007, 22:20
    Здравствуйте ув.коллега. В Сургуте дела с патологическими переломами обстоят просто никак. Пациента обследуют со всех сторон, а ортопедической помощи никакой, накладывают гипс и на лечение к онкологам.В лучшем случае больной получает направление в Тюмень или в Екатеринбург.
    [ Ответить ]

    • Re: Патологические переломы плеча
      Отправитель: Alexander Chelnokov 02 Август 2007, 23:36
      МААС> онкологам.В лучшем случае больной получает направление в Тюмень
      МААС> или в Екатеринбург.


      Видимо, опять к онкологам. В Е-бурге при наличии мощного и современно оборудованного онкодиспансера нет ортопедических онкологов.

      Почему при вторичных очагах в длинных костях онкологи не направляют пациентов для остеосинтеза к ортопедам, а отправляют домой лежа, либо в гипсе, или в косынке, как полагаете? От незнания о возможности хирургической стабилизации? Или полагают ее вредной? Или не считают повышение качества жизни, возможность самоообслуживания сколько-нибудь значимыми?

      [ Ответить ]
      • Re: Патологические переломы плеча
        Отправитель: Миронов Андрей А.-Сургут 03 Август 2007, 01:08
        Думаю, что считают паллиативом не решающих основной проблемы. Методы стабилизации самим онкологам детально неизвестны(могу сказать за Сургут), а наши травматологи очень насторожено относятся к стабилизации патологичкского перелома. У нас крайняя необходимость в квалификационных курсах по костной онкологии. Каждый выявленный случай заводит в тупик по тактике и решению вопроса о методе стабилизации.
        Стабилизация пат.перелома позволит повысить качество жизни пациенту, это несомненно и возможность самообслуживания.

        [ Ответить ]
      • Re: Патологические переломы плеча
        Отправитель: Евгений Перелыгин 06 Август 2007, 05:50
        Почему?

        надо отметить все вышеперечисленное.


        С уважением,
        Евгений Перелыгин
        г.Красновишерск

        [ Ответить ]
      • Re: Патологические переломы плеча
        Отправитель: evgen MiroshnychenkoYevgen Miroshnychenko 06 Август 2007, 06:41
        > Почему при вторичных очагах в длинных костях онкологи не направляют
        > пациентов для остеосинтеза к ортопедам, а отправляют домой лежа, либо
        > в гипсе, или в косынке, как полагаете? От незнания о возможности
        > хирургической стабилизации? Или полагают ее вредной? Или не считают
        > повышение качества жизни, возможность самоообслуживания сколько-нибудь
        > значимыми?



        Видимо, еще на интернатуре онкологов учат ходить с высокозадранным носом, а потом наступает шейная контрактура и внизу уже ничего не видно,
        бордюр/поребрик ,само собой, тоже :-))


        --
        With best regards, Yevgen Miroshnychenko, MD.
        Dept of ColoRectal Surgery, Ukraine, Donetsk.

        [ Ответить ]
    Re: Патологические переломы плеча
    Гектор 03 Август 2007, 01:51
    Обсалютным показанием для использования этого стержня,из моей практики, являетются поперечные переломы диафиза пдечевой и большеберцовой костей.Преимущество его в удобстве репозиции и продалжительности операчии.Недостаток в сдабой ротационной стабильности.Учитывая состояние больной,метод был выбран правильно.Мы этих больных оперируем тогда когда приблизительный срок выживания превышает шесть месяцев и конечно же всотрудничестве с окологами.
    [ Ответить ]

    Re: Патологические переломы плеча
    Alex Berzoy 03 Август 2007, 06:45
    AC> Очередной раз обнаружилось, что нету у нас с онкологами
    AC> общей идеологии. И сами они пациентам кости не стабилизируют, и к
    AC> ортопедам не направляют, накладывают гипс по самые уши - и домой. Как
    AC> у вас с этим обстоит, если удалось наладить взаимосвязь, то как?


    Да просто НЕ ЗНАЮТ о возможностях! Я, к примеру, об этих гвоздях только от Вас и услышал. А если бы не поинтересовался, так больная бы и страдала...

    "Вот что Инет животворящий творит!" :-)
    [ Ответить ]

    Re: Патологические переломы плеча
    Андрей Кулаков 03 Август 2007, 06:47
    С взаимомвязью плохо. В институте травматологии и ортопедии работают по своим принципам, а онкологи - по своим. Онкологи не занимаются остеосинтезом, в отделениях общей онкологии нет травматологов-ортопедов, поэтому сложно найти общий язык. А гвоздик для больной не маловат? Если не сложно, сообщите её дальнейшую судьбу
    Андрей Кулаков.
    [ Ответить ]

    • Re: Патологические переломы плеча
      Отправитель: Alexander Chelnokov 07 Август 2007, 04:47
      > остеосинтезом, в отделениях общей онкологии нет травматологов -
      > ортопедов, поэтому сложно найти общий язык.


      А почему не направить к не онко ортопедам-травматологам при обнаружении метастаза, можно ведь даже профилактически заштифтовать кость, не дожидаясь перелома. К В частности, у этой пациентки куда больший смысл операция имела бы полгода назад.

      > А гвоздик для больной не маловат?

      7,4 мм, рсширяющийся до 11 мм, в принципе, достаточно для плеча. Хотя мне тоже показалось, что можно было бы и потолще. Вообще есть и следующий диаметр, 8,5 мм, расширяющийся до 13,5 мм, но его в наличии на сегодня не было.

      > Если не сложно, сообщите её дальнейшую судьбу

      На второй день после операции уехала домой.

      [ Ответить ]
    Re: Патологические переломы плеча
    Alex Kornev 03 Август 2007, 06:48
    Скажу одно. Вы молодцы!!! Это я как онколог ортопеду говорю! Так держать! Онкологи в общем слишком ограниченны в мировоззрении. Работайте, будет Вам счастье.

    С уважением, Корнев Алексей.
    [ Ответить ]

    Re: Патологические переломы плеча
    Накоренок Илья 03 Август 2007, 20:45
    Здравствуйте коллеги!
    Какова стоимость гвоздей на бедро,голень,плечо?
    С кем решать организационные вопросы для проведения подобных операций в Украине?

    [ Ответить ]

    • Re: Патологические переломы плеча
      Отправитель: Альмир Михеев 03 Август 2007, 23:19
      В настоящий момент с рядом украинских компаний ведутся переговоры о дистрибуции в Украине (на Украине?).

      Можете порекомендовать кого-нибудь серьезного?

      Альмир Михеев

      [ Ответить ]
      • Re: Патологические переломы плеча
        Отправитель: Oстап Зубач 04 Август 2007, 20:15
        Во Львове есть межрегиональный онкоцентр, в котором запланировано отделение онкоортопедии, есть помещение, но нету ни персонала ни оборудования, ни приказа о введении в действие. Качество ортопедической помощи онкобольным низкое.
        Сдистрибуцией Fixionв Украине возможно поможет Рий Андрей, 8(0352)252451, начальник ф-мы "Астер".
        С уважением, Остап Зубач,
        БСМП,
        Львов

        [ Ответить ]
    Re: Патологические переломы плеча
    Евгений Волостников 06 Август 2007, 05:48
    > Как у вас с этим обстоит, если удалось наладить взаимосвязь, то как?

    У нас дела с костными опухолями обстоят никак. Травматологам-ортопедам в общей сети запрещено оперировать опухоли костей. В онкодиспансере их не
    оперируют.
    Взаимосвязь с онкологами при нынешней системе оказания онкологической помощи в РФ наладить невозможно, и, наверное, не только по опухолям костей.

    С уважением, Волостников Е.В.
    г.Ставрополь

    [ Ответить ]

    • Re: Патологические переломы плеча
      Отправитель: Alexander Chelnokov 07 Август 2007, 03:57
      > У нас дела с костными опухолями обстоят никак. Травматологам-ортопедам в
      > общей сети запрещено оперировать опухоли костей. В онкодиспансере их не


      Оперировать первичные костные опухоли, безусловно, не надо общим ортопедам. Но речь-то не о радикальных операциях, а о стабилизации длинных костей при метастазах, когда уже собственно по поводу опухоли проводится только химиотерапия и лучи.

      > Взаимосвязь с онкологами при нынешней системе оказания онкологической помощи
      > в РФ наладить невозможно,


      А что так пессимистично?

      [ Ответить ]
      • Re: Патологические переломы плеча
        Отправитель: Евгений Волостников 07 Август 2007, 04:45
        > Но речь-то не о радикальных операциях, а о стабилизации длинных костей при метастазах, когда уже собственно по поводу опухоли проводится только химиотерапия и лучи.

        Больные с метастазами в кости, как только закончено спец.лечение, и дальнейших перспектив противоопухолевого лечения не предвидется выписываются со справкой на симптоматическое лечение. IV клиническая группа.
        Это уже не их (онкологов) больные. Судьба их дальнейшая не интересует.

        >> Взаимосвязь с онкологами при нынешней системе оказания онкологической помощи в РФ наладить невозможно,
        >
        > А что так пессимистично?


        Это реалистично. Я сам онколог.


        С уважением, Волостников Е.В.
        г.Ставрополь

        [ Ответить ]
    Re: Патологические переломы плеча
    Алексей Смирнов 06 Август 2007, 06:50
    > Женщина 53 лет получила патологический перелом правого плеча в
    > феварле, и левого в марте - mts из невыясненного первичного очага.



    Были ли разговор об обследовании паращитовидных желез?
    А то так можно со временем все кости состабилизировать :)


    С уважением
    Алексей Смирнов
    Иркутск, Россия
    [ Ответить ]

    • Re: Патологические переломы плеча
      Отправитель: Alexander Chelnokov 06 Август 2007, 06:56
      АС> Были ли разговор в данном форуме об обследовании паращитовидных желез?

      Угу, вот сейчас все бросим и займемся.
      Напоминаю, что пациентка под наблюдением онкологов находится полгода, проводили они ей всевозможное обследование органов и систем с использованием своих немалых диагностических возможностей. В задачи ортопеда не входит поиск первичного очага, наша помощь тут исчерпывается стабилизацией кости.

      АС> А то так можно со времени все кости состабилизировать :)

      Это не только можно, а даже нужно.


      [ Ответить ]
      • Re: Патологические переломы плеча
        Отправитель: Алексей Смирнов 06 Август 2007, 17:21
        > Угу, вот сейчас все бросим и займемся.

        А что вы такое "тяжелое" держите, что бросить боитесь ;)

        > Напоминаю, что пациентка под наблюдением онкологов находится полгода,
        > проводили они ей всевозможное обследование органов и систем с
        > использованием своих немалых диагностических возможностей. В задачи
        > ортопеда не входит поиск первичного очага, наша помощь тут
        > исчерпывается стабилизацией кости.


        Я не указывал на цели и задачи ортопеда, а спросил, может у кого-нибудь одного из 100 ортопедов или травматологов с форума, возникла мысль о таком очаге метастазирования, как паращитовидные железы :)

        АС>> А то так можно со времени все кости состабилизировать :)

        > Это не только можно, а даже нужно.

        Нужно, но организм не только из костей состоит. И мировоззрение врача не ограничивается, только тем чем он занимается, не ужели у вас не возник вопрос о причине патологического перелома, учитывая, что вашим онкологам до костей вообще дела не было.
        А то получается, так, что ваши онкологи гипсуют потому что или не знают о вашем методе стабилизации или не умеют, ну или не хотят, а ваши травматологи-ортопеды стабилизируют только перелом, не зная его причины, те пропуская фактор риска повторного перелома :)


        С уважением,
        Алексей Смирнов
        Иркутск, Россия

        [ Ответить ]
        • Re: Патологические переломы плеча
          Отправитель: Alexander Chelnokov 07 Август 2007, 03:42
          АС> А что вы такое "тяжелое" держите, что бросить боитесь ;)

          Да своей текучки хватает.

          АС> кого-нибудь одного из 100 ортопедов или травматологов с вашего форума,
          АС> возникла мысль о таком очаге метастазирования, как паращитовидные железы :)


          Может быть, и она возникла, или еще предположения. Но какой смысл их озвучивать, если нам проверять их заведомо не придется?

          АС> Нужно, но организм не только из костей состоит. И мировоззрение врача не
          АС> ограничивается, только тем чем он занимается,


          Мировоззрение и не ограничивается, оно вполне допускает существование онкологов с их кругом задач.

          АС> не ужели у вас не возник вопрос о причине патологического
          АС> перелома, учитывая, что вашим онкологам до костей вообще дела не
          АС> было.


          Для нас это праздное любопытство, поскольку на нашу тактику это заведомо не влияет. Онкологи все-таки облучение проводили, зомету вводили, так что вряд ли "вашим онкологам до костей вообще дела не было"...

          АС> А то получается, так, что ваши онкологи гипсуют потому что
          АС> или не знают о вашем методе стабилизации или не умеют, ну или не
          АС> хотят,


          Как видно, проблема эта характерна не только для нашей местности.
          Вот я и пытаюсь уяснить, почему онкологи не направляют пациентов к ортопедам сразу при выявлении метастазов в длинные кости, или хотя бы сразу после патологического перелома. Нереально от онкологов требовать делать самим эти операции, продуктивнее взаимодействовать со смежниками.

          АС> а ваши травматологи-ортопеды стабилизируют только перелом, не
          АС> зная его причины, те пропуская фактор риска повторного
          АС> перелома :)


          А чем недостаточно в качестве причины назвать множественные метастазы? Какой еще "фактор риска повторного перелома" можно пропустить? Чем для ортопедов метастазы из неустановленного первичного
          очага лучше/хуже таковых из установленного?

          [ Ответить ]
        • Re: Патологические переломы плеча
          Отправитель: Alexander Chelnokov 07 Август 2007, 06:05
          АС> А что вы такое "тяжелое" держите, что бросить боитесь ;)

          Да своей текучки хватает.

          АС> кого-нибудь одного из 100 ортопедов или травматологов с вашего форума,
          АС> возникла мысль о таком очаге метастазирования, как паращитовидные железы :)


          Может быть, и она возникла, или еще предположения. Но какой смысл их озвучивать, если нам проверять их заведомо не придется?

          АС> Нужно, но организм не только из костей состоит. И мировоззрение врача не
          АС> ограничивается, только тем чем он занимается,


          Мировоззрение и не ограничивается, оно вполне допускает существование онкологов с их кругом задач.

          АС> не ужели у вас не возник вопрос о причине патологического
          АС> перелома, учитывая, что вашим онкологам до костей вообще дела не
          АС> было.


          Для нас это праздное любопытство, поскольку на нашу тактику это заведомо не влияет. Онкологи все-таки облучение проводили, зомету вводили, так что вряд ли "вашим онкологам до костей вообще дела не было"...

          АС> А то получается, так, что ваши онкологи гипсуют потому что
          АС> или не знают о вашем методе стабилизации или не умеют, ну или не
          АС> хотят,


          Как видно, проблема эта характерна не только для нашей местности.
          Вот я и пытаюсь уяснить, почему онкологи не направляют пациентов к ортопедам сразу при выявлении метастазов в длинные кости, или хотя бы
          сразу после патологического перелома. Нереально от онкологов требовать делать самим эти операции, продуктивнее взаимодействовать со смежниками.

          АС> а ваши травматологи-ортопеды стабилизируют только перелом, не
          АС> зная его причины, те пропуская фактор риска повторного
          АС> перелома :)


          А чем недостаточно в качестве причины назвать множественные метастазы? Какой еще "фактор риска повторного перелома" можно пропустить? Чем для ортопедов метастазы из неустановленного первичного
          очага лучше/хуже таковых из установленного?

          --
          Best regards,
          Alexander N. Chelnokov
          Ural Scientific Research Institute
          of Traumatology and Orthopaedics
          7, Bankovsky str. Ekaterinburg 620014 Russia

          [ Ответить ]
          • Re: Патологические переломы плеча
            Отправитель: Алексей Смирнов 07 Август 2007, 06:07
            Приветствую, Александр!

            Я тут собирался с мыслями, хотел ответить на ваши замечания, ответы, вопросы и тд, но остановился и понял, а зачем? - Вы ведь будете стабилизировать патологические переломы всю жизнь в душе или в мыслях (как угодно) браня онкологов, за их черствое отношение к больным и что?
            Они вам будут их поставлять вы их будете жалеть - стабизировать и тд - замкнутый круг.
            Может научите пару человек из онкодиспансера закрытому внутрикостному остеосинтезу?

            Или они такие, как вы, зачем им в подробности переломов вникать есть травматологи пусть репонируют, стабилизируют и тд

            А пациент остался один на один с "гвоздями в руках", но с митиком в голове (тьфу-тьфу) :(

            [ Ответить ]
            • Re: Патологические переломы плеча
              Отправитель: Maxim Agalakov 12 Август 2007, 06:33
              >

              > Я тут собирался с мыслями, хотел ответить на ваши замечания, ответы,
              > вопросы и тд, но остановился и понял, а зачем? - Вы ведь будете
              > стабилизировать патологические переломы всю жизнь в душе или в мыслях
              > (как угодно) браня онкологов, за их черствое отношение к больным и
              > что?

              >
              > Они вам будут их поставлять вы их будете жалеть - стабизировать и тд -
              > замкнутый круг.


              что плохого в стабилизации патологического перелома? Поиски метастазов, детали диагностики и химии все равно не освоить с наскоку, тем более есть специально-обученые люди. Другое дело,
              как наладить механизм взаимодействия? этот вопрос скорее к организаторам здравоохранения?

              > Может научите пару человек из онкодиспансера закрытому внутрикостному
              > остеосинтезу?


              Не видел желающих, кроме того, вероятно изолированно научить внутрикостному
              остеосинтезу врача не травматолога-ортопеда даже хирургической
              специальности tyt так просто

              > Или они такие, как вы, зачем им в подробности переломов вникать есть
              > травматологи пусть репонируют, стабилизируют и тд


              А действительно, зачем?
              Вероятно нужны какие-то знания современных общих
              принципов лечения, четкая схема взаимодействия Если каждый будет заниматься не своим делом - лучше точно не будет (у Булгакова все сказано)



              [ Ответить ]
    Re: Патологические переломы плеча
    Егор Японцев 07 Август 2007, 04:33
    Согласекн с Алесеем Смирновым. Во-первых, стабилизиовать патологический перелом - это еще не срастить его. не факт, что при возобновлении нагрузки фиксатор не мигрирует. Во-вторых,можно бвло хотя бы пункционную биопсию из очага или циотологию взять. Может быть и прояснился очаг, что позволило бы решить вопрос о химиии или лучевой.
    [ Ответить ]

    • Re: Патологические переломы плеча
      Отправитель: Alexander Chelnokov 07 Август 2007, 05:25
      > стабилизиовать патологический перелом - это еще не срастить его. не
      > факт, что при возобновлении нагрузки фиксатор не мигрирует.


      Нет смысла ловить "журавля в небе" - добиваться сращения у пациента, жить которому осталось несколько месяцев. Вполне достаточно "синицы в
      руках" - функциональной и безболезненной конечности, что достигается протезированием ее пораженного участка. При использовании современных конструкций несостоятельности фиксации за это время можно не опасаться.

      > Во-вторых,можно бвло хотя бы пункционную биопсию из очага или
      > циотологию взять. Может быть и прояснился очаг, что позволило бы
      > решить вопрос о химиии или лучевой.


      Вынужден напомнить, что пациентка эта - не случайно с улицы с только что первично выявленной опухолью. Она более полугода курируется ведущим в регионе онкологическом центром. С какой стати нам пытаться за профильных специалистов заниматься диагностикой и "решать вопрос о химии или лучевой"?

      [ Ответить ]
      • Re: Патологические переломы плеча
        Отправитель: samsnow 13 Август 2007, 23:36
        Мне думается,что не стоит тратить время и нервы на эти дебаты.Операция проведена отлично, показания к ней не вызывают никаких сомнений,остается только позавидовать пациенту и Вашему профессионализму не только как травматолога в частности, но и как Врача в целом! По- моему,спор здесь неуместен. С уважением, Самсонов Сергей,С-Пб,Елизаветинская б-ца,1 травм.отделение.

        [ Ответить ]
        • Re: Патологические переломы плеча
          Отправитель: Alexaander Chelnokov 14 Август 2007, 00:43
          Спасибо на добром слове.
          Думается, не то чтобы пор, а прояснение позиций смежных специалистов тут уместны, поскольку пока взаимодействие оставляет желать лучшего.


          [ Ответить ]
    Re: Патологические переломы плеча
    Oleksiy Ladyzhev 12 Август 2007, 06:47
    Доброго времени суток!

    На мой взгляд ситуация довольно ясная: речь идет об улучшении качества
    жизни пациентки и, если ей грозит прожить поле этого еще хотя бы
    полгода, то считаю данный вариант оперативного лечения приемлемым.

    К сожалению, ситуация насчет понимания и взаимодействия онкологов и
    ортопедов далека от идеала.
    В Украине, насколько я знаю, онкоортопедией занимаются в Харьковском
    НИИ патологии позвоночника и суставов, но специализированного
    отделения там пока нет.

    С ув. Алексей.
    [ Ответить ]

    Re: Патологические переломы плеча
    Анатолий 15 Август 2007, 17:32
    Молодцы - хирурги. Жаль, что прогноз для жизни этой пациентки неблагоприятен.
    [ Ответить ]

    Re: Патологические переломы плеча
    Michael Markushevich 01 Октябрь 2007, 00:12
    This beatiful nail from tecnoteck company.
    Humerus this ideal localisation for use it
    [ Ответить ]


    ( Ответить )

    Powered by Zope  Squishdot Powered MedLink
    Посетитель: 0153615
      "По форме правильно, а по существу - издевательство" В.И.Ленин
    ©2001-2019Orthoforum Coordinator.
    [ Главная | Отправить сообщение | Поиск | Админ ]