Ответить
|
Re: Что делать с эпифизом tibia?
Victor de Ridder 07 Август 2007, 05:06
|
About 3 yr ago the posterior approach to the knee and tibiaplateau was published in JOT. Since then i have used the approach several times with good results, you have limited view and space to maneuver but sufficient!
Greetings
Victor de Ridder, The Netherlands.
Victor de Ridder
SFG afd. Heelkunde/Traumatologie
Kleiweg 500
3045PM Rotterdam
|
[
Ответить ]
|
Re: Что делать с эпифизом tibia?
Савранский Александр 07 Август 2007, 05:17
|
А нужно ли оперировать?
И что фиксировать-мелкие фрагменты?
В крайнем случае просто удалить.
С ув. Савранский А.М.
|
[
Ответить ]
|
Re: Что делать с эпифизом tibia?
Nikolaj Wolfson 07 Август 2007, 05:55
|
Dear Alex:
Thanks for sharing this case.
Based on the images ( it would be nice to have axial cuts),it seems to be posteromedial fragment, almost all the way into
posterior portion of the tibial eminance.
Approach: posteromedial, but you have to open the joint, since the fragment is small and there will be an issue with the
medial meniscus ( likely torn).
The appearance of the fragment is indicative of a shearing injury, so you will need small screws ( hand set ) that will
have to be subchondral, or, start from the back and transfix the fragment going into anteroinferior direction. MRI might be
sometimes useful to assess integrity of the ligaments. I hope there is no vascular issues.
Good luck.
Nikolaj
Nikolaj Wolfson, MD, FRCSC
Assistant Professor of Orthopaedic Surgery
Department of Orthopaedic Surgery
Keck School of Medicine
University of Southern California
|
[
Ответить ]
|
Re: Что делать с эпифизом tibia?
Отправитель: Bill Burman 07 Август 2007, 05:56
|
For the posteromedial proximal tibial approach see Robert Probe's OTA
BFC Lecture:
http://www.hwbf.org/ota/bfc/probe/ft004.html
and OTA List archive:
http://www.hwbf.org/hwb/conf/mess3/plat.htm
Bill Burman, MD
HWB Foundation
http://www.hwbf.org
|
[
Ответить ]
|
|
Re: Что делать с эпифизом tibia?
vijay sata 07 Август 2007, 06:00
|
Dear Collegue
I thank for attaching the CT scan. it makes all the details very clear.
the approach should be standard posterior one (same that we use to fix the avulsed PCL).
the fragment is rotated and hence may require some manipulation, especially in flexion of the knee joint.
fixation may be with cancellous screw and washer.
ONLY IMPORTANT THING IS THAT THE SURGERY MUST BE DONE VERY FAST, it is already 2 weeks old; 10 days more
and it will become very difficult. at present also a good mobilisation of artery and nerve would be
essential before proceeding with reduction otherwise there are good chances of injury to vasculature and
frustration of very difficult reduction.
thanks again for such a nice case.
please forward me the final management offered to the patient.
with all the best always,
vijay sata.
|
[
Ответить ]
|
Re: Что делать с эпифизом tibia?
David Zamorano 12 Август 2007, 06:35
|
I like the posteriormedial approach in the prone position. Interval is between the medial head of gastrocs and semimembranosus
dave
David P. Zamorano, MD
UCI Dept. of Orthopaedic Surgery
Director, Orthopaedic Trauma
(714) 456-5582 office
|
[
Ответить ]
|
Re: Что делать с эпифизом tibia?
Alexander Zolotov 12 Август 2007, 06:40
|
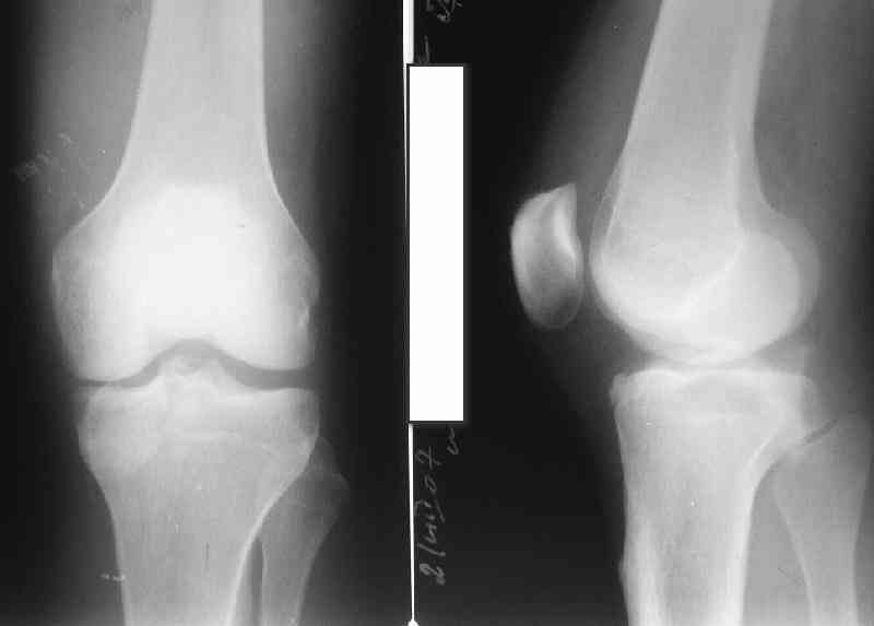
Уважаемый Салават,
> 1.Какой доступ предпочесть?
На основании небольшого личного опыта (4 пациента с отрывным переломом задне-верхнего края большеберцовой кости) и данных литературы оптимальным считаю задний доступ, упомянутый David P. Zamorano.
> 2.Чем фиксировать?
В 3 из 4 случаев мы применили винт, проведенный ретроградно по аналогии с фиксацией заднего края большеберцовой кости при переломах в
области голеностопного сустава. В прищепке рентгенограммы одного из наших пациентов до операции и спустя полгода. Остальные 3 наблюдения
описаны в статье "Изолированный отрывной перелом большеберцовой кости в месте прикрепления задней крестообразной связки // Вестник
травматологии и ортопедии им. Приорова. - 2001. - №1. – С. 38-40. Если есть интерес, могу прислать копию. Ваш случай, безуловно, отличается величиной костного фрагмента, его локализацией, характером и степенью смещения. Но думаю, принцип лечения может быть общим.

Best regards,
|
[
Ответить ]
|
Re: Что делать с эпифизом tibia?
Отправитель: Салават Салаватов 12 Август 2007, 06:48
|
Спасибо за иллюстрированный комментарий.Такой вариант нами тоже рассматривался.Предпочли выбранный именно из-за размера фрагмента(но как о запасном методе,о ретроградной фиксации винтом помним).
|
[
Ответить ]
|
|
Re: Что делать с эпифизом tibia?
В.Машталов 12 Август 2007, 06:41
|
Ув. Салават Салаватов!
По механизму травы и степени смещения необходимо оценить степень повреждения передней Х-образной связки, похоже на отрыв с фрагментом возвышения, поэтому необходимо рассматривать возможность 2-х доступов, задне-медиальный для репозиции суставной поверхности, фиксацию ее можно усуществить поргужаемым П-образным проволочным швом( может 2-мя, фрагмент достаточно большой), и передний парапаттелярный ( не более 3 см для подшивания предней Х-образной связки) или передний доступ сделать артроскопическтий , после решения
проблемы в заднем отделе сустава. Успехов. Ждем демонстрации результатов.
С ув. В. Машталов
|
[
Ответить ]
|
Re: Что делать с эпифизом tibia?
Салават Салаватов 12 Август 2007, 06:42
|
Операция завтра.По рекомендации наших зарубежных коллег выбрали заднемедиальный доступ с фиксацией пластиной и 2.7мм винтами.От Александра Николаевича уже получен наказ, о постоянном участии в операции фотоаппарата,постараюсь реализовать и ваш наказ тоже;-).Спасибо за высказанное мнение.
|
[
Ответить ]
|
Re: Что делать с эпифизом tibia?
Djoldas Kuldjanov 12 Август 2007, 06:52
|
Для определения доступа сагитальные срезы менее информативны, необходимо иметь корональные срезы.
Корональные срезы дают информацию об апексе перелома, и также информацию о вовлечения суставной поверхности, что является немаловажным для прогноза.

Для фиксации переломов тибиал плато обычно применеяется техника создания buttress, пластинами с угловой стабильностью, но в данном случае эпифизарный фрагмент очень тонкий на всем протяжении и фиксировать такой перелом невозможно обычными традиционными методами фиксации.
Для лечения таких эпифизарных переломов применяется техника "создания исскуственного края тибиал плато".
Изгибаясь по контуру медиального эпифиза полу-или 1/3 тубулярные пластины создают медиальный край большеберцовой кости.
Радиально проведенные, через пластину и в эпихондральной зоне (пластина действует как шайба) тонкие 2.7 или 3.5 мм кортикальные шурупы до латерального кортекса создают адекватную фиксацию.
Мне кажется в данный момент нет необходимости гоняться за повреждениями связок. После решения проблем костей, при необходимости вторичная операция по восстановлению связочного аппарата. А с фиксацией кости необходимо торопиться, иначе, сростаясь, усложнит процесс восстановления.
Djoldas Kuldjanov, MD
Department of Orthopedic Surgery
St. Louis University Medical Center
|
[
Ответить ]
|
Re: Что делать с эпифизом tibia?
Salavat Salavatov 12 Август 2007, 06:59
|
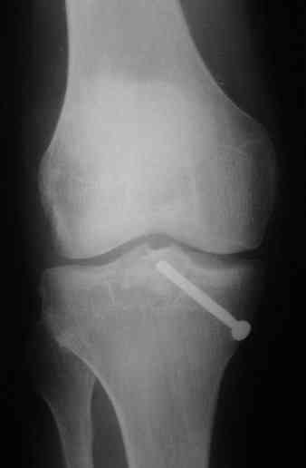
Операция из разряда травматологической "экзотики" прошла успешно. Доступ понравился:анатомичный, хорошая визуализация, удобно работать и оператору и ассистентам. Наложили пневможгут, но воспользовались им только на этапе ревизии сустава. Фрагмент развернулся на 90 град. на 2-ух "жгутах": медиально - сухожилие m.semitendinosus, латерально - задняя крестообразная связка. Мобилизовали,развернули и уложили на место без особого труда. Фиксировали отмоделированной 1/3-трубчатой пластиной. Мениск оказался неповрежден. Сустав стабилен. Обошлись без
иммобилизации, планируем начать ранние движения. Остальное на фото, дополнительно приложены корональные срезы КТ.

|
[
Ответить ]
|
Re: Что делать с эпифизом tibia?
Отправитель: Jeff Brooks 12 Август 2007, 07:01
|
Looks great. Thanks for the followup, it is very helpful.
I wonder what the mechanism of injury is for a fracture like this? If hyperflexion/varus then what about the LCL? If pure hyperextension then what about the ACL? How was the EUA after fixation of this fracture I wonder? I have trouble imagining this as the only injury inside that knee.
Jeff
|
[
Ответить ]
|
Re: Что делать с эпифизом tibia?
Отправитель: Alexander Chelnokov 12 Август 2007, 07:23
|
> I wonder what the mechanism of injury is for a fracture like this?
The patient was a driver in a car. He can't remember details of the accident because of head injury.
> How was the EUA after fixation of this fracture I wonder?
Very slight hint on posterior drawer. Mediolaterally very stable.
> I have trouble imagining this as the only injury inside that knee.
You are not alone. ;-)
At the opposite side he has avulsion (shear?) of the fibular stiloid.
|
[
Ответить ]
|
Re: Что делать с эпифизом tibia?
Отправитель: Subhash Agashe 12 Август 2007, 07:06
|
Excellent Job.
|
[
Ответить ]
|
Re: Что делать с эпифизом tibia?
Отправитель: Vishvanath Iyer 12 Август 2007, 07:06
|
Excellent. The fragment had an articular surface; Did'nt it? Was the fragment large enogh to accept a plate? Is the plate just a buttress?
Did you not want to fix it with a short LCP.
Vishu
Dr V M Iyer
|
[
Ответить ]
|
Re: Что делать с эпифизом tibia?
Отправитель: Alexander Chelnokov 12 Август 2007, 07:25
|
> The fragment had an articular surface; Did'nt it?
Exactly.
> Was the fragment large enogh to accept a plate? Is the plate just a
> buttress?
It is of course only butress, an artificial border of the plateau.
> Did you not want to fix it with a short LCP.
No advantage of LCP for the case.
|
[
Ответить ]
|
|
Re: Что делать с эпифизом tibia?
Djoldas Kuldjanov, M.D. 13 Август 2007, 06:07
|
Салават,
Прекрасный результат, прекрасная презентация и доступ хороший, и фиксация-Butress удалось на славу.
Позволю себе фривольность, когда все получается как задумал у нас среди ортопедов это называется "ортопедический оргазм". Sorry!!
|
[
Ответить ]
|
( Ответить )
|