Ответить
|
Re: Ортопедический квест: <допустимое> смещение отломков ключицы
Alexander Chelnokov 22 Август 2007, 00:46
|
Dear Георгий Шотавич,
ГГШ> административно-клиническая дискуссия по поводу результатов лечения
ГГШ> перелома ключицы в одном из травматологических отделений.
А нельзя ли приподнять завесу - что послужило 1)причиной и 2)поводом этой дискуссии? Страховая компания высказала недоумение? Или пациент
пожаловался?
iГГШ> выполнения новокаиновой блокады дежурной бригадой выполнена закрытая
ГГШ> репозиция, наложены кольца Дельбе. Результаты репозиции показаны на
Почему пациент оказался в приемном покое, а не в травмпункте?
ГГШ> Пациент госпитализирован в травматологическое отделение,
Зачем? Или повреждения не исчерпывались изолированным переломом ключицы?
ГГШ> где в течение 6 дней проводилось Lнаблюдение│ за состоянием
ГГШ> колец Дельбе и сделана однократная попытка Lизменения положения
Бессмысленная манипуляция.
ГГШ> На 7-е сутки выписан из стационара с рекомендацией лечения в условиях
Здравый смысл все-таки возобладал ;-)
ГГШ> госпитализации через три недели для рентгенологического контроля.
Для рентгена - госпитализация???
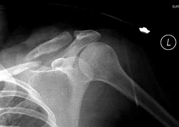
ГГШ> Результат стационарного лечения приведен на рентгенограмме (Xray_3).
Это картинка то есть через неделю после травмы, при выписке? Более чем приемлемо.
ГГШ> Прошу ответить на вопрос: считаете ли Вы, что Lпосле репозиции стояние
ГГШ> костных фрагментов удовлетворительное, смещение по длине и ширине
ГГШ> допустимое│? ДА. НЕТ.
Да, да, да-да-да! Особенно в 15 лет.
ГГШ> Свободное высказывание также приветствуется.
Если пацент с высокими потребностями (профессиональный спортсмен? олигарх?), хочет сэкономить время, не таскаться во всякого рода
кольцах и восьмерках, то уж стоило просто сделать остеосинтез. Это единственное, что сделало бы госпитализацию оправданной. В остальном - травма амбулаторная. Если не делать каждый день попытки репозиции, то у пациента 15 лет сращения можно ожидать в 101% случаев.
ГГШ> литературные ссылки на источники, посвященные лечению
ГГШ> подобных переломов
В электронной версии Rockwood & Green "Fractures in Adults" есть соответствующая глава.
"Clearly, there is no need for a recommendation for nonoperative management of most midshaft clavicle fractures. Anyone who has treated
this injury intuitively knows that most of these patients do extremely well, even when patient compliance may not be optimal. There are even
several authors who proposed that, in the initial 3 months after injury, treatment by an orthopaedic surgeon is not necessary (53,54,76). Yet for most of us, the patients who have an excellent result after closed treatment of a midshaft clavicle fracture are usually children. Although results in adults are also good, certain
injuries remain difficult.
Most authors who have reported nonoperative treatment of clavicular fractures have found superb union rates. Neer (126) evaluated 2,235
patients with midshaft fractures and determined that the nonunion rate was 0.13%. Rowe (167) found a nonunion rate of 0.8% in his series of
566 fractures. Analysis of these data is confusing because of the addition of pediatric patients. However, other studies have confirmed
excellent rates of healing even in an isolated adult population (6,57,138)"
|
[
Ответить ]
|
Re: Ортопедический квест: <допустимое> смещение от
Шарафиев Руслан 22 Август 2007, 01:49
|
Здравствуйте коллега! Несколько непонятно с какой целью был госпитализирован пациент если ему заведомо(?)не предполагалось хирургическое вмешательство? Зачем нужна повторная госпитализация для Р-контроля? Смысл попытки закрытой коррекции положения отломков через несколько дней? По представленным рентгенограммам положение отломков вполне удовлетворительное, не только для пациента 15 лет, но и для взрослого. В подобных ситуациях показания к оперативному вмешательству возникают, как правило, при высоких требованиях пациента к косметическому( молодые женщины, субтильные субъекты и т.п.), либо функциональному ( спортсмены, люди тяжелого физического труда) результату, а также пациенты не желающие длительное время пребывать в различных кольцах, 8-образных повязках и т.п. Что хочет Ваш пациент?
С уважением Шарафиев Р.Р.
|
[
Ответить ]
|
Re: Ортопедический квест: <допустимое> смещение от
Anton Shakhin 22 Август 2007, 07:52
|
Травма амбулаторная, смещение изначально было допустимым, но можно было и подправить, только мы у старших детей применяем шинно-гипсовую повязку. В данном случае репозиция положения не улучшила, на последних рентгенограммах положение отломков удовлетворительное. С уважением, А.В. Шахин
|
[
Ответить ]
|
Re: Ортопедический квест: <допустимое> смещение от
Aharon Liberson 22 Август 2007, 09:33
|
I agree in 101% with dr Chelnokov- He was overtreated and I do not understand who gains.
We treat p-nts - not X-rays
AL
|
[
Ответить ]
|
Re: Ортопедический квест: <допустимое> смещение от
Evgueny Tchekashkine 22 Август 2007, 09:47
|
Уважаемый Георгий Шотавич,
Судя по проекциям ключицы, очевидно разобщение фрагментов, чаще всего сопровождающееся интерпозицией платизмой. для 15 летнего пациента, категории физически активных пациентов выбрал бы оперативный метод( интрамедуллярно
винтом с частичной резьбой).
Для выбора метода лечения перелома ключицы при первичном обращении рутинно необходимо выполнение Рг графии в двух проекциях. принимать решение о
тактике лечения перелома, руководствуясь только одной передне-задней проекцией ошибочно( почему-то в отношении ключицы подобная недооценка
перелома наиболее часто встречается).
По поводу новокаиновых блокад в место перелома - зачем испытывать судьбу, подвергая закрытый перелом риску инъекционного инфицирования( думаю, где-то должна быть статистика постинъекционных абсцессов) и всё это ради 2-3 часов
последующей аналгезии и малоэффетивной( судя по контрольным снимкам) репозиции перелома.
При выборе тактики лечения перелома ключицы всегда желательно иметь две взаимоперпендикулярные проекции: если фрагменты находятся в контакте друг с другом - лечение консервативное( достаточно косыночной повязки и спать с разведенными плечами на подушке между лопаток), разобщены - хирургия. Можно ждать 8-10 недель и импровизировать с кольцами, рамкой Чижина в это время - кому как удобно, я бы не стал.
Всего Доброго,
Евгений Чекашкин
|
[
Ответить ]
|
Re: Ортопедический квест: <допустимое> смещение от
Юрий Алексеевич Булахтин 22 Август 2007, 09:49
|
Уважаемый Георгий Шотавич!
В том, что лечили консервативно ничего страшного не вижу. Стояние отломков на сегодня (на 100 процентов согласен с Е.Чекашкиным) надо оценивать по двум проекциям. В отношении прогноза - конечно рано или поздно срастется (учитывая возраст пациента - времени у нас для наблюдения много). Что в такой ситуации делал-бы сам, если бы пациент пришел ко мне сегодня - завтра бы прооперировал даже не спрашивая олигарх он или нет, зачем отнимать у
пацана месяцы, а то и год детства. На седьмой день снимаем швы и пускай "нарушает безобразия" согласно возрасту.
|
[
Ответить ]
|
Re: Ортопедический квест: <допустимое> смещение от
George Golubev 22 Август 2007, 10:12
|
Уважаемые коллеги,
Хотя я намерен все же выдержать паузу для сбора ответов, на ряд вопросов отвечаю сразу же.
Александру Николаевичу Челнокову
А нельзя ли приподнять завесу - что послужило 1)причиной и 2)поводом этой дискуссии? Страховая компания высказала недоумение? Или пациент пожаловался?
Я имею позицию стороннего наблюдателя в достаточно типичной ситуации: пациент -> лечение в одном учреждении -> выписка -> травмпункт -> направление в другое учреждение -> иной метод лечения (в данном случае - оперативное) -> жалоба родителей. Вот и причина :).
Дискуссия ведется вокруг вопроса о том, приемлемо или неприемлемо довольствоваться в результатами репозиции и стационарного лечения в первом учреждении (положительные ответы на эти вопросы отстаивают его сотрудники). Вот вам и повод :)). Сохраняя свою "стороннюю" позицию, позволю себе высказаться все же после паузы.
AL:?He was overtreated and I do not understant who gains
Dear Alexander,
Nice to meet your again. We treat patients too, not X-rays, but should we need some criteria, isn't so? And next patient will gain, I suppose.
Евгений Чекашин: рутинно необходимо выполнение Рг графии в двух проекциях.
С этим трудно спорить, но имеем то, что имеем. Но если в существующей проекции, очевидно, нет контакта между отломками, так ли уж важно второе изображение? Даже если на нем мы увидим проекцию отломков друг на друга и по такой картинке кто-либо будет доказывать, что контакт есть?
С уважением,
Г. Голубев
|
[
Ответить ]
|
Re: Ортопедический квест: <допустимое> смещение от
Отправитель: Alexander Chelnokov 22 Август 2007, 18:20
|
GG> метод лечения (в данном случае - оперативное) -> жалоба родителей.
GG> Вот и причина :).
В таком случае вопрос больше об этике и деонтологии. Жалобы - это, как правило, результат не действий, а того, как с родственниками поговорили. Например, если в следующем учреждении представить им действия в предыдущем как ошибку - появится настрой на жалобу.
GG> неприемлемо довольствоваться в результатами репозиции и
GG> стационарного лечения в первом учреждении (положительные ответы на
GG> эти вопросы отстаивают его сотрудники). Вот вам и повод :)).
Такой повод сложно всерьез воспринять. В любом учебнике, руководстве и прочих серьезных, особенно для суда, источниках неоперативное лечение банальных переломов ключицы (без угрозы перфорации кожи, сдавления пучка и т.п. особых ситуаций) - это общепринятый подход. Оперативное лечение - не необходимость, всего лишь возможность.
GG> ?Nice to meet your again. We treat patients too, not X-rays, but
GG> should we need some criteria, isn't so? And next patient will
Конечно, критерии есть - это положение отломков более чем приемлемое, ключица у подростков прекрасно срастается за 3-4 недели и при большем
диастазе.
GG> существующей проекции, очевидно, нет контакта между отломками, так
GG> ли уж важно второе изображение?
Контакт отломков при неоперативном лечении переломов ключицы не нужен, она срастается замечательно и быстро, особенно у детей и подростков.
|
[
Ответить ]
|
|
Re: Ортопедический квест: <допустимое> смещение от
Maxim Agalakov 22 Август 2007, 11:41
|
> Прошу ответить на вопрос: считаете ли Вы, что Lпосле репозиции стояние
> костных фрагментов удовлетворительное, смещение по длине и ширине
> допустимое? ДА. НЕТ.
Преимуществами оперативного лечения (фиксация пластиной) является более низкий риск несращения и неправильного сращения, лучший функциональный результат к 1 году. Отрицательный момент - более
длительный период восстановления трудоспособности, необходимость в повторных операциях по удалению железа. С другой строны, большинство неправильно сросшихся переломов асимптомны, дискомфорт в области плеча, надплечья может возникать при укорочении более 1,5- 2 см, кроме того, отсроченные вмешательства при признаках несращения приводят к такому же функциональному результату, что и вмешательства в ранние сроки.
Мне представляется, что консервативное лечение предпочтительнее, за исключением случаев косметического дефекта, угрозы прободения отломком кожи, учитывая, кончено, требования пациента
Nonoperative Treatment Compared with Plate Fixation of Displaced Midshaft Clavicular Fractures, J Bone Joint Surg Am. 2007;89:1-10., 991 Кб
Displaced fractures of the clavicular shaft: Fact and fallacy, AO Dialogue, 1/06, 99 Kb
Clavicular Nonunion and Malunion: Evaluation and Surgical Management, J Am Acad Orthop Surg 1996;4:1-8, 170 Kb
С уважением,
Максим Агалаков
|
[
Ответить ]
|
Re: Ортопедический квест: <допустимое> смещение от
Galina Diachkova 22 Август 2007, 12:03
|
Уважаемый Георгий Шотавич!
Прежде всего, конечно, не повезло пациенту. Репозицией и лечением это не назвать даже с административной точки зрения.
Ко мне однажды обратилась пациентка с разрывом акромиально-ключичного сочленения, которой в травмпункте г.Ч. двумя турами бинта зафиксировали плечевые суставы и сказали:" Если до понедельника не заживет, приходите" .Травма произошла в субботу.
Вот и здесь, администрация, по-видимому не знает, как выглядит отрепонированный ( а потом и вылеченный перелом) перелом.
С уважением Г.В.Дьячкова
Напишите, как у Вас дела, чем занимаетесь в науке.
G.V.Diachkova
|
[
Ответить ]
|
Re: Ортопедический квест: <допустимое> смещение от
Отправитель: Maxim Agalakov 22 Август 2007, 12:21
|
> Прежде всего, конечно, не повезло пациенту. Репозицией и лечением
> это не назвать даже с административной точки зрения.
А в чем именно такие жесткие огрехи в лечении? И почему не повезло? Вполне может срастись без каких-либо функциональных нарушений.
|
[
Ответить ]
|
|
Re: Ортопедический квест: <допустимое> смещение от
Oleksiy Ladyzhev 22 Август 2007, 18:21
|
Уважаемый Георгий Шотавич,
Считаю консервативное лечение оправданым, травма лечится амбулаторно.
Из личных наблюдений: подобная травма у профессионального футболиста, через 1,5 месяца забыл о травме и тренировался в полную силу. Р-картина была примерно такая же как в данном случае.
С уважением, Алексей.
|
[
Ответить ]
|
Re: Ортопедический квест: <допустимое> смещение отломков ключицы
Odessky Jacob 22 Август 2007, 18:36
|
Уважаемый Георгий Шотавич!
ДА-ДА-ДА!
Абсолютным показанием к операции при переломе ключицы в средней трети считаются: 1. Открытые переломы; 2. Переломы ключицы с разрывом подключичных сосудов.3. Flail shoulder. 4. Угроза образования пролежня над выпирающем фрагментом.
Всего наилучшего
|
[
Ответить ]
|
Re: Ортопедический квест: <допустимое> смещение отломков ключицы
константин кочергин 22 Август 2007, 22:18
|
после изучения рентгенограмм могу сказать следующее:
1) после репозиции стало хуже
2) стояние фрагментов при выписке идентично таковому при пступлении - с выраженным смещением
3) оставлять так нельзя - надо оперировать или выполнять повторную закрытую репозицию и фиксацию в отводящей шине в исполнении другого хирурга, возможно в другой больнице.
|
[
Ответить ]
|
Re: Ортопедический квест: <допустимое> смещение от
Отправитель: Alexander Chelnokov 23 Август 2007, 00:10
|
кк> 3) оставлять так нельзя - надо оперировать или выполнять повторную
Да у многих тыщ оставили так, или с бОльшим диастазом, и срослось все замечательно, к 1 месяцу уже функция без ограничений, несращения у боьшинства авторов не более 1%, и то по взрослому материалу. Почему же здесь было нельзя?
|
[
Ответить ]
|
Re: Ортопедический квест: <допустимое> смещение от
Отправитель: Alexander Chelnokov 23 Август 2007, 00:50
|
кк> после изучения рентгенограмм могу сказать следующее:
кк> 1) после репозиции стало хуже
И вдогонку. Репозиция при неоперативном лечении перелома ключицы - фикция, поскольку отломки остаются нефиксированными, сращение идет в условиях макроподвижности. А задача иммобилизации - сохранить длину надплечья.
|
[
Ответить ]
|
Re: Ортопедический квест: <допустимое> смещение от
Отправитель: Mark Eidelman 23 Август 2007, 01:04
|
Za 15 let ya operival clavicle 2 raza( skin penetration),tak ya i me ponyal zachem derghat hlopza 6 dnei vbolnize, ya kladu collar and cuff i vyzyvau cherez mesyaz.U 15 let parnya with closed midshaft clavicle ne nado muchat ego with manipulation and hospitalization
|
[
Ответить ]
|
|
Re: Ортопедический квест: <допустимое> смещение отломков ключицы
Дмитрий Бондарь 24 Август 2007, 02:33
|
IMHO тут основной вопрос-деонтологический!а оперировать ключицы вообще,и у детей в частности стоит только по вышеприведенным общеизвестным показаниям . коллеги, извините, но кто видел несращение неоперированной ключицы с нарушением функции?А оперированной?
с уважением Д.Б.
|
[
Ответить ]
|
Re: Ортопедический квест: <допустимое> смещение от
Отправитель: Anatoly Borzunov 26 Август 2007, 02:25
|
За 25 лет практики видел 2 ложных сустава ключицы, оба случая после оперативного лечения.
|
[
Ответить ]
|
|
Re: Ортопедический квест: <допустимое> смещение от
Г.Ш.Голубев 26 Август 2007, 00:10
|
Глубокоуважаемые коллеги,
Прежде всего, спасибо всем, кто счел возможным и нашел время откликнуться на тему <Ортопедический квест: <допустимое> смещение отломков ключицы>. Отдельное спасибо Александру Николаевичу, который создал мощный инструмент, позволяющий нам общаться и свобод.но обмениваться мнениями, находясь в разных концах мира.
Цель этого небольшого исследования заключалась в оценке отношения практических ор.топедов к трактовке результатов лечения переломов ключицы. Подчеркну, не способов - консер.вативного или оперативного, - а результатов. В приведенном случае - ближайшего. Получено 12 ответов. Ввиду того, что далеко не во всех ответах была дана явная оценка ДА.НЕТ, а в ряде сообщений понятие <допустимо . недопустимо> было замещено понятиями <оперировать - не оперировать>, то я (по контексту ответов) разделил мнения на 5 групп:
1.
ДА - результаты репозиции нужно считать удовлетворительными;
2.
Скорее Да;
3.
Нет - результаты репозиции нельзя считать удовлетворительными;
4.
Скорее нет;
5.
Неопределенно.
Распределение мнений по перечисленным выше категориям приведено на гистограмме (см. Рисунок 1). Мнения разделись, и в аудитории преобладает убеждение, что сохранение смещения ключи.цы на величину диаметра без кортикального контакта между отломками и смещением до 3 см по длине у подростка 15 лет допустимо.
Основной аргумент, приводимый сторонниками этого мнения - отсутствие (или редко наблюдавшиеся) в их личном опыте несращения переломов ключицы. Скорее всего, это действительно так, поскольку в монографической литературе утверждается, что преимущественным методом лечения переломов ключицы является консервативный(1,2,3). Нарушение процессов кон.солидации ключицы при консервативном лечении - явление редкое. В обзоре результатов консервативного лечения 2235 переломов ключицы Neer(4) пишет всего о 3-х (0.1%) случаях наруше.ния консолидации. Rowe(5) сообщает, что частота несращений ключицы при консервативном ле.чении составляет 0.8%, при оперативном - 3.7%.
Более того (6), <:достаточно красноречиво отразил свое отношение к поврежденной дет.ской ключице в своем учебнике А. Н. Великорецкий, отметив, что при самых разнообразных мето.дах лечения и без всякого лечения ключица срастается хорошо и функции ее восстанавливаются>. Аналогичная мысль высказана Neer (7): "репозицию перелома ключицы практически невозможно сохранить, поэтому следует ожидать некоторую деформацию области, сочетающуюся с удовле.творительным восстановлением функции плечевого пояса".
Таким образом, среди ортопедических хирургов, ориентирующихся на промежуточную точку лечения - сращение перелома, весьма распространенным является убеждение, что можно довольствоваться любым качеством репозиции перелома ключицы (или даже не проводить ее!), поскольку почти всегда наступает консолидация перелома.
Между тем, современные хорошо организованные и проведенные исследования позво.ляют утверждать, что частота нарушений процессов консолидации ключицы существенно выше. По данным C.M. Robinson (8) средняя частота несращений через 24 недели после перелома составила 6.2%, причем для медиального конца она равна 8.3%, для диафизарных переломов ключицы . 4.5 и 11.5% . для латеральных переломов ключицы. Для переломов, локализующихся в средней части ключицы, факторами, увеличивающими вероятность несращения, являются возраст, принадлежность к женскому полу, величина смещения отломков, отсутствие кортикального кон.такта между ними, наличие осколка. Это данные подтверждают Brinker M. R. с соавт., Jeray K (9, 10)
Оценка положения костных фрагментов должна осуществляться по рентгенограммам, вы.полненным в двух проекциях. Стандартная ( и почему.то считающейся достаточной в большинстве наших лечебных учреждений) передне.задняя проекция дополняется шейной проекций под уг.лом 45°. Смещения: расхождение в поперечном направлении, отсутствие кортикального контакта, укорочение ключицы более 1,5 см . недопустимы и должны быть устранены (11,12).
Исследования, посвященные анализу исходов лечения переломов ключицы с учетом мне.ния пациентов (patient-based outcome estimations) свидетельствуют, что у пациентов с не устранен.ными смещениями наблюдается мышечная слабость плеча, особенно при отведении. Отмечается тренд к большей неудовлетворенности результатами лечения у пациентов с сохраняющимся уко.рочением надплечья (13). Отношение к оценке перспектив нарушений процессов консолидации или функциональных расстройств у пациентов со смещенными, оскольчатыми переломами, а также у лиц пожилого возраста и пострадавших женского пола должно быть особенно настороженным (10). Более 25% пациентов, имевших укорочения надплечья как следствие неустраненных смещений ключицы, не удовлетворены результатами лечения (14).
Рассматривая перелом ключицы как частный случай перелома, мы должны следоват философии и принципам лечения, которые остаются неизменными для любой локализации (15):
1. Репозиция перелома и восстановление анатомических соотношений
2. Стабильность фиксации, которая определяется особенностями перелома и повреждения
3. Сохранение кровоснабжения мягких тканей и кости путем осторлжного обращения и мягкой техники репозиции
4. Ранняя и безопасная мобилизация поврежденного сегмента и пациента.
Эти принципы в равной степени относятся как к консервативному, так и оперативному ле.чению переломов ключицы. И с позиций этих принципов, вряд ли можно назвать удовлетворительным результат лечения результат <лечения>, при котором:
1. Не выполнена репозиция перелома;
2. Не идет речи не не только о стабильности фиксации, но и даже о контакте между отломками,
3. Гарантирована травматизация мягких тканей в зоне перелома из-за неустраненного смещения и сохранения подвижности отломков;
4. Полноценное восстановление функции ожидается только у 3-х из 4-х леченных таким способом пациентов.
Я не призываю расширять показания к оперативному лечению. Более того, считаю, что в рассматриваемом случае не были использованы возможности консервативного лечения, о чем совершенно справедливо написали участники дискуссии.
Для травматолога, который рассматривает сращение перелома (независимо от того, с каким анатомическим результатом это произошло) как конечную точку лечения, анализируемый результат, возможно, может показаться удовлетворительным. На самом деле это только промежуточная точка. Конечной точкой является развитие артроза акромиально.ключичного или груди.но.ключичного сочленений, outlet.синдром, артроз плечевого сустава, ограничение функции плеча (16, 17, 18). С этими проблемами сталкиваются ортопеды через несколько лет после неадекватного консервативного лечения.
Убежден, что результат <стационарного лечения> перелома ключицы в рассматриваемом примере нельзя даже назвать удовлетворительным, поскольку вероятность последующих функциональных нарушений недопустимо велика. В заключение приведу цитату: <: любое движение верхней конечности осуществляется не без участия ключиц, и поэтому никак нельзя оправдать пренебрежительного отношения некоторых авторов к необходимости лечения переломов ключицы по существующим правилам травматологии>(6).
Большинство статей, цитированных в данном материале, имеются в полнотекстовом вари.анте и могут быть доступны для участников форума. Об интересе к проблеме свидетельствует не.малое количество публикаций: MEDLINE возвращает сп
ым словам "clavicler fracture" за последние 5 лет.
1 Chapter 54 Ftures of shoulder, arm, and forearm. In Csmpbell's Orthopaedics CD v. X, edited by Terry Canale, v. III part XV2 7.
2 Переломы ключицы (включая вывихи в смежных суставах) // М.Е.Мюллер ггер руководство по внутреннему остеосинтезу .. Springer.Verlag, M., 1996
3 VII Shoulder // Kaplan Orthopedic Surgery .. Kaplan Medical, 2001 . p.113
4 NEER CS 2.n. Nonunion of the clavicle // JAMA. . 1960. . Vol. 172. . P. 1006.1011. 5
6 А.А.Корж, Н.С. Бондаренко Повреждения костей и суставов у детей .. Харьков, "Прапор", 1994 .. 445 с
7 Neer CS: Fractures of the clavicle, in
PA: JB Lippincott, 1981, pp 707.713. 8 Robinson C.M., Court.Brown C.M., McQueen M.M. and Wakefield A.E
ative Treatment of a Clavicular Fracture // 2004. . Vol. 86. . P. 1359.1365. 9 Brinker M.R., Edwards T.B. and O'Connor D.P. Estimating the risk of nonunion
ar fracture // J Bone Joint Surg Am. . 2005. . Vol. 87. . P. 676.7; author reply 677.
10 Jeray K.J. Acute midshaft clavicular fracture // J Am Acad Orthop Surg. . 2007. . Vol. 15. . P. 239.248. 11 Wick M, Muller EJ, Kollig E, Muhr G Midshaft fractures
o nonunion. // Arch Orthop Trauma Surg 2001;121:207.211.
12 Nowak J, Holgersson M, Larsson S. Can we predict long.termsequelae after fractures of the clavicle based
initial
486. 13 McKee M.D., Pedersen E.M., Jones C., Stephen D.J., Kreder H.J., Schemitsch E.H., Wild L.M. and Potter J. Deficits
nonoperative treatment of displaced midshaft clavicular fractures // J Bone Joint Surg Am. . 2006. . Vol. 88. . P. 35.40. 14 Lazarides S. and Zafiropoulos G. Conservative treatment of fractures at the middle third of the clavicle:
ance of shortening and clinical outcome // J Shoulder Elbow Surg. - 2006. - Vol. 15. - P. 191-194. 15 1.1 АО
blication. 16 Potter J.M., Jones C., Wild L.M., Schemitsch E.H. and McKee M.D. Does delay matter? The restoration of objective.ly measured shoulder strength and patient.oriented outcome after imme
idshaft fractures of the clavicle // J Shoulder Elbow Surg. . 2007. 17 Nowak J., Holgersson M. and Larsson S. Sequ
nts // Acta Orthop. . 2005. . Vol. 76. . P. 496.502. 18 Casbas L., Chauffour X., Cau J., Bossavy

Рисунок 1 Распределение мнений травматологов по вопросу о допустимости сохранения смещения ключицы на величину диаметра без кортикального контакта между отломками и смещением до 3 см по длине (См. определение категорий в тексте)
|
[
Ответить ]
|
Re: Ортопедический квест: <допустимое> смещение от
Отправитель: Alexander Chelnokov 26 Август 2007, 02:36
|
Дорогой Георгий Шотавич,
> В соответствии с данным обещанием подвожу итоги квеста - см. прикрепленный PDF файл.
Во первых строках хочу поблагодарить Вас и за интересный вопрос, вызвавший разноречивые отклики, и за Ваш собственный значительный вклад в обсуждение.
Ваш анализ проблемы состоит из нескольких тезисов, многие из которых сами по себе бесспорны, но некоторые лежат чуть в стороне от обсуждаемого конкретного случая. Заключение "Убежден, что результат «стационарного лечения» перелома ключицы в рассматриваемом примере нельзя даже назвать удовлетворительным, поскольку вероятность
последующих функциональных нарушений недопустимо велика" выглядит несколько неожиданным. И с ним вряд ли можно согласиться. Посмотрим, что же не складывается. Вомзможно, где-то чуть смещены акценты и сгущены краски. кроме того, как известно, дьявол - в деталях. Так что не уверен, что вопрос можно полагать закрытым.
> ответов) разделил мнения на 5 групп:
Эти 12 откликов вряд ли репрезентативно отражают отношение к проблеме всей ортопедической популяции, но с текстами руководств они согласуются, не так ли?
> что сохранение смещения ключицы на величину диаметра без
> кортикального контакта между отломками и смещением до 3 см по длине
> у подростка 15 лет допустимо.
Возможно, снимок мелокват, но смещения по длине "до 3 см" я не увидел. Хотя 1 см - это тоже "до 3", но там и 1 см не видно.
> Основной аргумент, приводимый сторонниками этого мнения - отсутствие
> (или редко наблюдавшиеся) в их личном опыте несращения переломов ключицы.
Аппелляция к личному опыту тут только в смысле того, что он не расходится с рекомендациями учебников, монографий и руководств по этой проблеме.
> проводить ее!), поскольку почти всегда наступает консолидация перелома.
До этого места все нормально.
> процессов консолидации ключицы существенно выше. По данным C.M.
> Robinson (8) средняя частота несращений через 24 недели после
> перелома составила 6.2%,
Эти данные насколько релевантны для данного конкретного пациента? Они получены на подростках 14-16 лет?
> Для переломов, локализующихся в средней части ключицы, факторами,
> увеличивающими вероятность несращения, являются возраст,
Чем меньше возраст, тем больше риск? Или все-таки молодой возраст якляется фактором, как раз уменьшающим вероятность несращения?
> принадлежность к женскому полу,
Мимо.
> величина смещения отломков,
В данном случае невыдающееся.
> отсутствие кортикального кон.такта между ними,
Возможно, отломки еще сблизятся. Да и с отсутствием этого самого контакта ключицы прекрасно срастаются, тем более в 15 лет.
> наличие осколка.
Нету.
> Оценка положения костных фрагментов должна осуществляться по
> рентгенограммам, выполненным в двух проекциях. Стандартная ( и
Это пока пожелание, не общепринятый подход. К примеру, есть противоположная точка зрения, что и вовсе снимки делать не надо:
Shuster M et al. Prospective evaluation of clinical assessment in the diagnosis and treatment of clavicle fracture: Are radiographs really
necessary? CJEM. 2003 Sep;5(5):309-313.
> Смещения: расхождение в поперечном направлении, отсутствие
> кортикального контакта, укорочение ключицы более 1,5 см .
> недопустимы и должны быть устранены (11,12).
Это спорные мнения и оценки отдельных авторов, которые не поддержаны всем сообществом, не включены как рекомендация в фундаментальные руководства.
> Отмечается тренд к большей неудовлетворенности результатами лечения
> у пациентов с сохраняющимся уко.рочением надплечья (13).
Опять, насколько эта статья релевантна для этого конкретного пациента? Это самый важный вопрос при изучении литературы. Например, авторы обнаруживают проблемы в основном у сросшихся с укорочением более 2 см. Здесь не видно такого укорочения.
> Отношение к оценке перспектив нарушений процессов консолидации или
> функциональных расстройств у пациентов со смещенными, оскольчатыми
> переломами, а также у лиц пожилого возраста и пострадавших женского
> пола должно быть особенно настороженным (10).
Это какое отношение имеет к данному пациенту? Он не пожилой, не женский, не оскольчатый...
> Более 25% пациентов, имевших укорочения надплечья как следствие
> неустраненных смещений ключицы, не удовлетворены результатами
> лечения (14).
Опять речь идет об укорочениях, которого в данном случае не видно. И что значит "не удовлетворены"? Скольких из неудовлетворенных пришлось из-за этого оперировать?
> Рассматривая перелом ключицы как частный случай перелома, мы должны
> следоват философии и принципам лечения, которые остаются неизменными
> для любой локализации (15):
Философия и принципы АО - это отдельный разговор. Для клинициста очевидна несуразность попыток лапидарно определить единые принципы лечения для всех переломов, которые помогали бы выбрать метод лечения.
Впрочем, давайте по пунктам.
> 1. Репозиция перелома и восстановление анатомических соотношений
В очень большом диапазоне. Где-то надо полное восстановление, где-то - лишь очень приблизительное. То есть этот пункт без конкретизации бессмысленный.
> 2. Стабильность фиксации, которая определяется особенностями перелома и повреждения
Вот-вот, особенностями. Опять в диапазоне от макроподвижности (Функциональный брэйс) до абсолютной стабильности (компрессирующая пластина). Причем при одном и том же переломе можно и то, и это. Опять бессмыслица.
> 3. Сохранение кровоснабжения мягких тканей и кости путем
> осторлжного обращения и мягкой техники репозиции
При том, что при функциональном конскервативном лечении репозиции вообще как отдельной манипуляции не делается.
> 4. Ранняя и безопасная мобилизация поврежденного сегмента и пациента.
Вполне получается при ведении перелома ключицы в той или иной повязке.
> Эти принципы в равной степени относятся как к консервативному, так и
> оперативному лечению переломов ключицы.
Как показано выше, эти принципы настолько неопределенны, что лучше ими просто не пользоваться для выбора тактики в конкретном случае. Либо искать их конкретизированные интерпретации для целевой локализации. Ниже видно, как, исходя из произвольной трактовки этих расплывчатых благих пожеланий, простите, принципов, делается более чем спорное умозаключение:
> И с позиций этих принципов, вряд ли можно назвать
> удовлетворительным результат <лечения>, при котором:
> 1. Не выполнена репозиция перелома;
Для перелома ключицы - она выполнена в достаточной мере. Как уже вспоминали, такое положение отломков дает благополучный исход практически всегда.
> 2. Не идет речи не не только о стабильности фиксации, но и даже о
> контакте между отломками,
И опять - это ключица. Стабильность фиксации при консервативном лечении там такая, которая обеспечивает сращение практически всегда. То есть вроде и никакая, но - достаточная. И без контакта она срастается.
> 3. Гарантирована травматизация мягких тканей в зоне перелома из-за
> неустраненного смещения и сохранения подвижности отломков;
Бесспорно. Опять дьявол в мелочах - до какой степени травмируются ткани? Это всегда достигает клинически значимого уровня? Перфорация кожи или ее угроза - показание к операции. А если этой угрозы нет? Какие неблагоприятные последствия возникают из-за этого?
> 4. Полноценное восстановление функции ожидается только у 3-х из 4-х
> леченных таким способом пациентов.
Боюсь, тут идет некоторая натяжка, т.е. закономерность, полученная на другой популяции пациентов, переносится на не совсем соответствующего.
> Я не призываю расширять показания к оперативному лечению. Более
> того, считаю, что в рассматриваемом случае не были использованы
> возможности консервативного лечения, о чем совершенно справедливо
Писали, что консервативное лечение тут, наоборот, было даже чрезмерным.
> только промежуточная точка. Конечной точкой является развитие
> артроза акромиально.ключичного или груди.но.ключичного сочленений,
> outlet.синдром, артроз плечевого сустава, ограничение функции плеча
> (16, 17, 18). С этими проблемами сталкиваются ортопеды через
> несколько лет после неадекватного консервативного лечения.
Это интересный момент. Давайте вспомним о том, что если бы эта проблема была столь выражена, то и 20-30 лет назад она была бы очевидна, поскольку результаты изучали, и оперировали бы давно всех
подряд по крайней мере в Европе и США. Если для выявления проблемы нужны современные специальные инструменты оценки, значит, она не настолько количественно значима.
На фоне заметного потока пациентов, скажем, с последствиями повреждений голеностопного сустава, тазобедренного, колена, лучезапястного, плечевого, и многого другого, много ли кому доводится встречать пациентов, активно ищущих помощи после консервативного лечения изолированного перелома ключицы?
> Убежден, что результат <стационарного лечения> перелома ключицы в
> рассматриваемом примере нельзя даже назвать удовлетворительным,
> поскольку вероятность последующих функциональных нарушений
> недопустимо велика.
"Недопустимо велика" - это сколько? И по результатам каких исследований, материал которых соответствует этому пациенту: подростки, и с миинимальным укорочением ключицы?
> В заключение приведу цитату: <: любое движение верхней конечности
> осуществляется не без участия ключиц, и поэтому никак нельзя
> оправдать пренебрежительного отношения некоторых авторов к
> необходимости лечения переломов ключицы по существующим правилам
> травматологии>>(6).
Здесь как раз "авторы" лечили перелом ключицы более-менее в соответствии с этими "существующими правилами", чуть перестарались с госпитализацией и репозициями с анестезией.
Дополню ссылки на авторитеты цитатой из руководства "АО Principles of
fracture management"(2001) , с.261-262:
================================================
Clavicular fractures in children, adolescents, and adults will heal with a minimum of treatment in the vast majority of the cases.
Treatment with figure-of-eight strapping relieves most of the discomfort and pain, and allows early motion. There is some controversy in the literature regarding the non-union rates, which range between 0.1% up to 23% [14, 15]. The treatment goal is the restoration of normal function in the shoulder girdle and, therefore, immobilization should be kept to an absolute minimum.
2.1 Assessment of fractures and soft tissues
The few indications for primary operative fixation of clavicular fractures include the open fracture, impending perforation of the skin by a sharp irreducible fragment, and an associated injury to the subclavian artery and brachial plexus, as well as an ipsilateral scapular neck fracture resulting in instability [12]. A relative indication is a clavicular fracture in a multiply injured patient, if it seems likely to help in mobilization, and bilateral fractures.
The third indication is painful non-union of the clavicle, with or without compromise of the neurovascular bundle due to abundant callus formation. Efforts must be made beforehand to distinguish between pain from a plexus injury and pain from the non-union site [14].
Grossly displaced lateral clavicular fractures may require operative treatment since the rates of painful non-union are significant in this group. In very rare cases where surgical access to the subclavian artery has to be facilitated by an osteotomy of the clavicle, plating of the osteotomy can be considered in preference to clavicular resection which, though frequently recommended, can result in an unstable shoulder girdle [15].
================================================
Очевидно, данного пациента следовало лечить консервативно. У него не было ни одного из перечисленных показаний к операции, и это не grossly displaced lateral clavicular fracture.
Возражений против грамотно выполненной оперативной фиксации как option, конечно, тоже не должно быть. Но было бы заблуждением полагать операцию здесь безусловно показанной, проведенную попытку консервативного лечения - ошибочной, а достигнутое в ее результате положение отломков- неприемлемым. По-моему, надо жалующимся попытаться разъяснить положение дел, показать рекомендации по лечению перелома ключицы хотя бы в руководстве AO, и конфликт, вероятно, удастся сгладить.
Спасибо. Надеюсь на продолжение обсуждения.
|
[
Ответить ]
|
|
Re: Ортопедический квест: <допустимое> смещение отломков ключицы
Odessky Jacob 26 Август 2007, 17:38
|
Уважаемые коллеги!
Я провожу по 25 часов в неделю поликлинического ортопедического приёма, помимо работы в стационаре!
Мне не припоминается случаи патологии плечевого пояса, связанные с неправильно сросшимися переломами ключиц в средней трети.
Я хочу напомнить горячим сторонникам оперативного лечения неосложнённых переломов ключицы у подростков, что основное правило медицины <лечить не болезнь, а больного>. Применительно к ортопедии - лечить пострадавшего, а не перелом.
На мой взгляд, нельзя огульно переносить основные правила лечения переломов на все их локализации. Тем более, что оперативное лечение чревато осложнениями. И слава Богу, что не надо оперировать большинство переломов. Иначе мы из операционной не вылазили.
Уважаемый Георгий Шотавич! Моё глубокое убеждение, что результаты Вашего опроса были бы намного внушительнее, опубликовав Вы топик на английском языке.
Всего самого наилучшего
|
[
Ответить ]
|
Re: Ортопедический квест: <допустимое> смещение от
Отправитель: George Golubev 27 Август 2007, 11:37
|
Уважаемый Яков,
Я с большим уважением отношусь к Вашему мнению и Вашему
опыту, который Вы не раз демонстрировали на конференциях.
Однако сейчас я хочу еще раз напомнить, что, публикуя
эту тему, я не ставил вопрос "нужно или не нужно
оперировать". Вовсе нет! Формулировка была иной - приемлемо
или неприемлемо оставлять перелом без репозиции, уповая на
то, что он все равно срастется. Никто не отменял
качественную закрытую репозицию и иммобилизацию.
И чем тогда врач из стационара отличается от бабушки или
дедушки из глубинки, которые лечат подобные переломы с
сопоставимыми результатами?
А принципы они потому и принципы, что должны работать всегда
и везде.
С уважением,
Г. Голубев
|
[
Ответить ]
|
Re: Ортопедический квест: <допустимое> смещение от
Отправитель: Alexander Chelnokov 27 Август 2007, 13:06
|
GG> Формулировка была иной - приемлемо или неприемлемо оставлять
GG> перелом без репозиции, уповая на то, что он все равно срастется.
Это несколько другой вопрос, куда более общий. По-моему, отвечали на другой - приемлемо ли было оставить ту ключицу в том положении, которое было на снимках.
GG> Никто не отменял качественную закрытую репозицию и иммобилизацию.
Что такое "качествненная закрытая репозиция" применительно к переломам ключицы? Если можно, с цитатой из учебника/руководства, где эта трактовка есть в развернутом виде, с критериями качества закрытой репозиции при переломах ключицы.
Попутно - как этот принцип трактовать применительно к перелому ребра, скажем, со смещением на поперечник?
GG> И чем тогда врач из стационара отличается от бабушки или
GG> дедушки из глубинки, которые лечат подобные переломы с
GG> сопоставимыми результатами?
Эта точка зрения согласуется с тем, что написано в Rockwood & Green's "Fractures in Adults":
============================
There are even several authors who proposed that, in the initial 3 months after injury, treatment by an orthopaedic surgeon is not necessary (53,54,76).
============================
GG> А принципы они потому и принципы, что должны работать всегда
GG> и везде.
Бывают и уточнения трактовок принципов для конкретных ситуаций, и вообще исключения...
|
[
Ответить ]
|
|
Re: Ортопедический квест: <допустимое> смещение от
Djoldas Kuldjanov, M.D. 28 Август 2007, 01:24
|
Тактика лечения переломов ключицы у нас не отличается от тактики, упомянутой коллегами - при изолированных переломах в основном придерживаемся консервативной тактики.
Неоднократные неудачные попытки устранения смещения ради рентгенологического доказательства админстрацию или зав. кафедрой на следующей утренной пятиминутке чреваты осложнениями, особенно когда применяют локальные обезболивания.
Нет никакой гарантии, что удачно устраненное смещение ключицы удержится до конца лечения, или наоборот, при неустраненном смещеним изначально, при повторном осмотре в три недели можно увидеть признаки срастания.
До сих пор, кроме оперативной фиксации, еще не придуманы наружные фиксирующие материалы, которые удержали бы конечность в позиции приподнятого плеча и отведения верхней конечности в течение всего периода сращения.
Самая главная проблема при консервативном лечении - первые 10-12 дней, это неудобства, связанные с крепитацией отломков и болью.
Жалоба всегда там, где у врача не было времени подробно обьяснить больному природу болезни, особенно в первой декаде, и игнорирование страдания больного. Снабжение достаточным количеством обезболивающих препаратов поможет больному легче перенести неудобства.
Сравнительная легкость фиксации и удобство доступа подкупает многих, особенно молодых врачей к принятию агрессивной тактики к переломам ключицы.
При политравме агрессивность оправдана из-за необходимости функции верхней конечности для быстрейшей активизации больного при пользовании
костылями или другими средствами для передвижения, но при изолированных переломах, особенно при осложнении, трудно обьяснить необходимость в
оперативном вмещательстве.
При случаях, когда сочетается перелом ключицы и имеется разрыв суспензорных связок плечевого пояса или перелом лопатки, когда теряется связь верхней конечности с туловищем тогда оправдано создание мостика, фиксируемого ключицей.
При оперативном лечении ключицы необходимо применить методику Inderect Reduction Technique с обнажением кости только с той стороны, где устанавливается пластина.
При применении спиц из-за неудобного вектора один из фрагментов необходимо приподнять от грудной клетки и, тем самым, приподнимая ухудшают, заднее кровеснабжение.
Спицы противопоказаны не только из-за отсутствия стабильности, также из-за их опасной миграции. Описаны много случаев миграции спиц даже в каротидную артерию.
Недавно разбирали случай ложного сустава.
45 летная женщина после автоаварии, алкоголь 163 и 20 летним стажем курения.
Консервативное лечение, через 8 мес. операция Rockwood pin с костной пластикой в нашем городе другим врачом. После 8 недели падение, гвоздь удален оперирующим хирургом, больная направлена к нам. Фиксация реконструктивной пластиной с трикортикальным графтом, добавлен BMP-2. Для стабилизации фиксацию провели через акромион.
Вот уже два месяца больная также продолжает жаловаться на боли, буквально на днях удалили акромиальную часть пластины с специальной пилой с алмазным покрытием для медицинского металла. До сих пор судьба ложного сустава неизвестна....
Djoldas Kuldjanov, MD
Department of Orthopedic Surgery
St. Louis University Medical Center
|
[
Ответить ]
|
Re: Ортопедический квест: <допустимое> смещение от
Отправитель: Djoldas Kuldjanov, M.D. 28 Август 2007, 01:29
|
Второй случай тоже недавно оперирован по поводу
ложного сустава, в марте травма, через 4.5 половиной
операция..

Djoldas Kuldjanov, MD
Department of Orthopedic Surgery
St. Louis University Medical Center
|
[
Ответить ]
|
Re: Ортопедический квест: <допустимое> смещение от
Отправитель: Anton Kovalenko 28 Август 2007, 23:10
|
Глубокоуважаемый Джолдас Кульджанов!
В двухтомнике "Shoulder" (в каком из томов я точно не помню)описан случай 8-кратной неудачной операции у взрослого мужчины разными хирургами по поводу перелома ключицы с последующим развитием аневризмы подключичной артерии. Пожалуйста, разъясните какое отношение имеет описанный Вами случай к перелому ключицы у 15-летнего подростка? Вы хотели, насколько я понял, сказать, что являетесь сторонником оперативного лечения?
P.S. А у представленной вамим пациентки были жалобы после консервативного лечения? Почему ее решили лечить оперативно через 8 мес., а не через 1.5- 2, когда ясно что перелом не срастется?
С уважением, Коваленко А.Н.
|
[
Ответить ]
|
Re: Ортопедический квест: <допустимое> смещение от
Отправитель: Djoldas Kuldjanov, M.D. 29 Август 2007, 22:45
|
Антон,
описан случай
8-кратной неудачной
операции у взрослого
мужчины
> разными хирургами по
поводу перелома
ключицы с последующим
> развитием аневризмы
подключичной артерии.
Да, знаю о чем идет речь в книге Charles Rockwood The Shoulder, Volume One, Chapter 11 by Carl Basmania, Edward Craig, Charles Rockwood
Как раз недавно ко мне обратилась больная после восьмикратной неудачной операции, вот думаю, что делать.
Пожалуйста,
> разъясните какое
отношение имеет
описанный Вами случай
к
> перелому ключицы у
15-летнего подростка?
Описанный случай это больная моего партнера, мы недавно случай разбирали на нашей конференции (Morbidity and Mortality Conference аналог клинического разбора)
Выставлен как пример, к чему может привести
неудачно выбранный фиксатор.
Вы хотели, насколько я понял, сказать, что
являетесь сторонником оперативного лечения?
Я хотел сказать, что не являюсь сторонником оперативного вмешательства при изолированных
переломов ключицы, особенно у молодых 15
летних больных.
P.S. А у представленной вамим > пациентки были
жалобы после консервативного лечения?
> Почему ее решили лечить оперативно
через 8 мес., а не > через 1.5- 2, когда ясно
что перелом не срастется?
Больные иногда пропадают из нашего поле зрения, ту больную неудачно оперировал в нашем городе специалист по спортивной медицине. Он же направил к нам после удаления фиксатора.
|
[
Ответить ]
|
Re: Ортопедический квест: <допустимое> смещение от
Отправитель: G.V.Diachkova 28 Август 2007, 23:15
|
С интересом наблюдала за дискуссией по поводу достаточной или недостаточной репозиции ключицы.Очень жаль, что многие (большинство) сочли ситуацию вполне приемлимой.Перелом срастется , но что будет потом-вот в чем вопрос.
Может быть итоги заставят некоторых ортопедов изменить свое мнение.
G.V.Diachkova
|
[
Ответить ]
|
Re: Ортопедический квест: <допустимое> смещение от
Отправитель: Alexander Chelnokov 28 Август 2007, 23:16
|
Может, многие сочли ситуацию приемлемой, поскольку полагают, что знают ответ на этот вопрос? Так как много раз видели отсутствие проблем у аналогичных пациентов. И не видят потока больных, требующих хирургической коррекции в отдаленные сроки после сросшихся со ступенькой ключиц.
|
[
Ответить ]
|
Re: Ортопедический квест: <допустимое> смещение от
Отправитель: Galina Diachkova 29 Август 2007, 17:22
|
Речь не идет о хирургической коррекции в отдаленные сроки. Вряд ли кто-нибудь на нее пойдет. Поток больных идет на консервативное лечение! И таких больных не так уж мало.
G.V.Diachkova
|
[
Ответить ]
|
Re: Ортопедический квест: <допустимое> смещение от
Отправитель: Alexander Chelnokov 29 Август 2007, 17:25
|
Gd> Речь не идет о хирургической коррекции в отдаленные сроки .Вряд
Gd> ли кто-нибудь на нее пойдет.
Если очевидно, что проблема именно в анатомическом нарушении, почему бы это не поправить?
Gd> Поток больных идет на консервативное лечение! И таких больных не
Gd> так уж мало.
Таких больных вряд ли было меньше 10 лиет назад или раньше, не так ли? Что не могло не найти отражения в руководствах по лечению переломов.
Если бы больных с проблемами после неоперативного лечения переломов ключицы было бы "не так уж мало", требования к репозиции и показания к операции при переломах ключицы, скажем, в руководстве "Принципы АО в лечении переломов" звучали бы сильно по-другому. Однако показания к остеосинтезу даже у взрослых, не у подростков, там включают ограниченнй перечень ситуаций, который уже здесь не раз цитировали.
Как объяснить это несоответствие?
|
[
Ответить ]
|
Re: Ортопедический квест: <допустимое> смещение от
Отправитель: Galina Diachkova 30 Август 2007, 11:04
|
Уважаемый Александр Николаевич!
> ""Если очевидно, что проблема именно в анатомическом нарушении, почему
> бы это не поправить?""
Вот мы всю жизнь чего-нибудь и поправляем. Там ведь с самого начала возникла проблема. Нужно адекватное лечение при поступлении.Ну, если речь идет о значительных анатомических нарушениях, естественно, есть смысл их устранить.
> Таких больных вряд ли было меньше 10 лиет назад или больше, не так ли?
> Что не могло не найти отражения в руководствах по лечению переломов.
>
> Если бы больных с проблемами после неоперативного лечения переломов
> ключицы было бы "не так уж мало", требования к репозиции и показания к
> операции при переломах ключицы, скажем, в руководстве "Принципы АО в
> лечении переломов" звучали бы сильно по-другому. Однако показания к
> остеосинтезу даже у взрослых, не у подростков, там включают
> ограниченнй перечень ситуаций, кторый уже здесь не раз цитировали.
> Как объямснить это несоответствие?
Не призываю расширить показания к оперативному лечению переломов ключицы, особенно у подростков. Если начали лечить консервативно, лечить нужно, как положено, а не так, как делают обычно. Надеюсь Вы понимаете о чем я говорю. В палату к больному нужно заходить не один раз в неделю и посмотреть , что у него с повязкой или кольцами. Что касается посттравматических изменений и последствий, то эти больные зачастую к травматологам и не попадают ( невропатологи, терапевты, мануальные специалисты, массажисты, нейрохирурги)
Канечно, у подростков меньше вероятность возникновения таких осложнений.
В конечном итоге, дело в том, что оперировать этого мальчика не нужно, но лечили его на тройку!!!!
G.V.Diachkova
|
[
Ответить ]
|
Re: Ортопедический квест: <допустимое> смещение от
Отправитель: Maxim Agalakov 29 Август 2007, 16:33
|
>Очень жаль, что многие( большинство)
> сочли ситуацию вполне приемлимой.
инересно почему жаль
> Перелом срастется , но что будет потом-вот в чем вопрос.
на эти вопросы давное есть ответы, симптомные неправильные сращения наблюдаются при укорочениях ключицы
> Может быть итоги заставят некоторых ортопедов изменить свое мнение.
на самом деле итоги говорят весьма о немногом. В серьезных зарубежных исследованиях отношение к оперативному лечению диафиза ключицы неоднозначно, рекомендовано у взрослых активных субъектов, например
(Midshaft Clavicular Fractures.
Nonoperative Treatment Compared with Plate Fixation of Displaced. A Multicenter, Randomized Clinical Trial
Canadian Orthopaedic Trauma Society.J Bone Joint Surg Am. 2007;89:1-10. doi:10.2106/JBJS.F.00020)
При чем западные мсследования касаются большей частью сравнения остеосинтеза пластиной с консервативным лечением. У нас же в стране каждый оперирует по собственному разумению : пластинами, различными стержнями, спицами (что кстати и случилось у этого пациента)и т.д. с совершенно непрогонозируемым результатом
|
[
Ответить ]
|
|
Re: Ортопедический квест: <допустимое> смещение отломков ключицы
Odessky Jacob M.D 30 Август 2007, 03:33
|
я хочу еще раз напомнить, что, публикуя
эту тему, я не ставил вопрос "нужно или не нужно
оперировать". Вовсе нет! Формулировка была иной - приемлемо или неприемлемо оставлять перелом без репозиции, уповая на то, что он все равно срастется. Никто не отменял качественную закрытую репозицию и иммобилизацию (Г.Ш.Голубев)
Уважаемый Георгий Шотавич! Как Вы прекрасно знаете, хорошего способа закрытой репозиции, и фиксации переломов ключицы не существует. На Западе прекратили накладывать 8- образные повязки при таких переломах потому, что большой риск повреждения брахиального плексуса!!! Следовательно, применительно к данному перелому вопрос приемлемо или не приемлемо автоматически становится нужно или не нужно:
Давайте попробуем перечислить причины, по которым мы оперируем больных с изолированными переломами вообще: 1. Остановка кровотечения и фиксация как при переломах таза. 2. Предотвращение жировой эмболии при переломах бёдер у взрослых. 3.Предотвращение осложнений, связанных с длительным постельным режимом, как при чрезвертельных переломах у стариков. 4. Предотвращение гнойных осложнений при открытых переломах 5.Предотвращение нестабильности при переломах позвоночника или декомпрессия. 6.Восстановление анатомической целостности суставных поверхностей. 7.Неприемлемое стояние отломков.
То, что приемлемо оперировать у одних, не приемлемо у других. Например, почти никто не оперирует 5-летнего ребёнка с переломом бедра. Но практически все оперируют этот же перелом у 30-летнего мужчины. И кто бы из нас стал опрерировать 80-летнюю даму с чрезвертельным переломом, не зная, что её шансы умереть в 3-х месячный срок после перелома в 2 раза выше при консервативном лечении.
А теперь давайте поставим вопрос, а к каким из вышеперечисленных критериев, по которым мы оперируем переломы, подходит неосложнённый перелом средней трети ключицы у 14-летнего подростка?
С интересом наблюдала за дискуссией по поводу достаточной или недостаточной репозиции ключицы. Очень жаль, что многие (большинство) сочли ситуацию вполне приемлемой (Г.В. Дъячкова )
Ув. Галина Викторовна! Вот правильная оценка данного случая:
"I agree in 101% with dr Chelnokov- He was overtreated and I do not understand who gains. We treat p-nts - not X-rays" ( Арон Либерзон)
Этот перелом не нуждался в репозиции и госпитализации вообще!!!
Всегда, когда я предлагаю операцию, я задаю себе вопрос, а что я бы посоветовал, если бы на моём месте оказался кто-либо из близких родственников? Так вот попробуйте задать себе подобный вопрос и ответить на него самостоятельно.
С глубоким уважением
|
[
Ответить ]
|
Re: Ортопедический квест: <допустимое> смещение от
Отправитель: Galina Diachkova 30 Август 2007, 11:12
|
Уважаемый доктор Одесский!
Я этот вопрос задаю себе уже 35 лет и уверяю Вас, что привыкла все вопросы решать не только самостоятельно, но и исходя из пользы для больного. Что касается правильной оценки этого случая, то позвольте сказать, что природа ставит нам задачу и предлагает тысячу способов ее решения. От нас зависит, какой мы выберем (квалификация, условия , установки, личные убеждения,состояние пациента, его анатомические особенности. и . т д.) Доктор Либерзон предлагает не репонировать и не госпитализировать. Это его выбор, а оценка правильности - это задача более сложная. Госпитализировать может быть и не нужно, но полечить не мешало бы.
Общие принципы лечения переломов никто не отменял. Может быть появится универсальная молекула, тогда... Совершенно не имела в виду, что этого мальчика нужно оперировать Боже упаси! Хотела сказать, что если он попал в больницу, рентгеновский снимок ему все-таки сделать, нужно и старые добрые кольца, хорошо наложенные, с хорошим контролем, не помешали бы. Хотя бы, с целью фиксации. Возможности у детей в плане восстановления формы в самом деле колоссальные. Кстати, в 15 лет современные подростки при росте 180 см вполне могут претендовать на "взрослое" лечение.
Речь ведь шла о том, что из стационара мальчик был выписан с худшей ситуацией, чем при поступлении.
С уважением G.V.Diachkova
|
[
Ответить ]
|
Re: Ортопедический квест: <допустимое> смещение от
Отправитель: Odessky J. M.D 31 Август 2007, 00:55
|
Ув. Г.В.! На мой взгляд, никакого ухудшения стояния отломков на втором снимке нет!!! Просто проекция среднего снимка несколько под другим углом, и увеличение межотломкового расстояния не что иное , как проекционное искажение. По - поводу колец... Конечно они иммобилизуют плечо лучше , чем Cuff and Collar, хотя не намного, но что если разовьётся парез брахиального сплетения???
С уважением!
|
[
Ответить ]
|
Re: Ортопедический квест: <допустимое> смещение от
Отправитель: igor kopik 27 Октябрь 2012, 03:53
|
Ув. О.J. Как часто Вы наблюдали плексит? С уважением И.К.
|
[
Ответить ]
|
Re: Ортопедический квест: <допустимое> смещение от
Отправитель: igor kopik 29 Октябрь 2012, 22:15
|
Уважаемая Г.В. Полностью согласен с Вашим постом.Закрытая репозиция и кольца Дельбе отлично зарекомендовали себя за 35 лет практики. В обсуждаемом случае представленные Р-граммы сами говорят за себя, 1 снимок (до лечения) и 3 снимок (после лечения) абсолютно идентичны, 2 снимок сделан в несколько иной позиции.Как говорится "комментарии излишни". Согласитесь, что результат лечения мог бы быть и лучшим.
|
[
Ответить ]
|
|
Re: Ортопедический квест: <допустимое> смещение отломков ключицы
giga 20 Декабрь 2014, 13:41
|
нет
|
[
Ответить ]
|
( Ответить )
|
|