AOTRAUMA.ORG Центр Илизарова  

Ортопедия и травматология Общие вопросы/General questions Help Информационные технологии в медицине
 вверх
 отправить
 поиск
 админ
 главная


Hip Fracture
Ортопедия и травматология Отправлено Dino Aguilar 03 Сентябрь 2007, 19:16
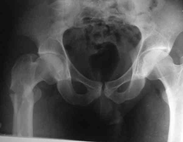
Male, 75 yrs old.
Right hip fracture as an interthrocanteric with extension to diaphysis Tronzo V.
Option for treatment:

1. DHS
2. 90 - 95 g AO Plate (Condylar Plate)_
3. Reconstruction Hip Nail
4. Intertrochanteric Nail System
5. Externa hip fixator
6. None of the above.
Regards.
Dino Aguilar
Nicaragua

<  |  >

 

  • Сообщения о Ортопедия и травматология
  • Также Dino Aguilar
  • Связаться с автором
  • Ответить

    Re: Hip Fracture
    rohit shah 03 Сентябрь 2007, 19:26
    WE HAVE DONE MANY SUCH CASES WITH ENDER NAILS

    ROHIT
    BHARAT
    JAWAHAR JETHWA
    AND
    ATUL BHATT

    A.G.O.T.(AHMEDABAD GROUP OF ORTHOPAEDICS AND TRAUMATOLOGIST
    [ Ответить ]

    Re: Hip Fracture
    Alexander Chelnokov 03 Сентябрь 2007, 20:07
    Every listed option is acceptable in general. Least invasive and most stable to allow immediate unprotected weight-bearing will be closed nailing, better using a recon nail with trochanteric insertion. I am not sure what you mean as "Intertrochanteric Nail System" but Gamma or other nails of proximal type with 15-17 mm diameter of the proximal part seem to be too large for 15 y.o.
    [ Ответить ]

    Re: Hip Fracture
    Michael Markushevich 30 Сентябрь 2007, 23:17
    My answer for this case - Prosimal femoral nail
    Targon (Aesculap)

    [ Ответить ]


    ( Ответить )

    Powered by Zope  Squishdot Powered MedLink
    Посетитель: 0171346
      "По форме правильно, а по существу - издевательство" В.И.Ленин
    ©2001-2019Orthoforum Coordinator.
    [ Главная | Отправить сообщение | Поиск | Админ ]