вверх
отправить
поиск
админ
главная
Предыдущее
Весь тред
|
Re: Proximal femoral shaft nonunion + osteomyeliti
Alexander Chelnokov 30 Сентябрь 2007, 11:52
|
PI> для этого нет веских оснований. Ложный сустав срастается, несмотря
PI> на наличие этого свища. Мы не можем исключить тот факт, что
PI> источником воспаления для имеющегося свища может быть, например,
PI> секвестр или лигатура, расположенные вне костно-мозгового канала.
Поэтому фистулографию интнресно сделать, ну и может статься, что замена спейсера все-таки поможет. Хотя если очаг отграниченный, состояние стабильное, наверно, синица уже в руках.
PI> такие больные поступают в наше отделение по распоряжению
PI> администрации института. Так что в этом вопросе особых проблем нет.
А эпидемиологи на вас не нападают по этому поводу, мол, если гнойный больной - его обязательно надо перевести в гнойное отделение, и не моги в чистом отделении его вести? просто у нас такая проблема есть.
PI> по-началу проблем было предостаточно. Сейчас мы используем
PI> дренажные однопросветные силиконовые трубки.
А диаметр какой?
|
|
|
Ответить
|
Re: Proximal femoral shaft nonunion + osteomyeliti
Pavel Ivanov 30 Сентябрь 2007, 11:58
|
AC> А эпидемиологи на вас не нападают по этому поводу, мол, если гнойный
AC> больной - его обязательно надо перевести в гнойное отделение, и не
AC> моги в чистом отделении его вести? просто у нас такая проблема есть.
В нашем институте имеется научный отдел, занимающийся лечением гнойных осложнений. Но он уже несколько лет работает на базе одной из московских больниц. Так что вполне официально в НИИСП каждое отделение занимается лечением гнойных осложнений самостоятельно. Например, у нас в отделении имеется три палаты (две мужских и одна женская), где лечатся больные с тяжелыми открытыми переломами, обширными ранами и гнойными осложнениями.
PI>> по-началу проблем было предостаточно. Сейчас мы используем
PI>> дренажные однопросветные силиконовые трубки.
AC> А диаметр какой?
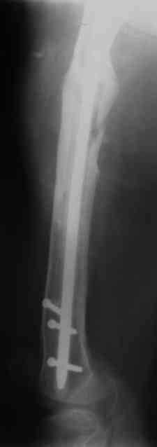
Для плечевой и большеберцовой кости - 10 мм, для бедренной - 12 мм.
Вчера наш пациент был на контрольном осмотре. Вроде все идет нормально. Рентгенограммы от 25 сентября 2007 г. (прошло 5 месяцев после операции) прилагаю.

Best regards,
Pavel Ivanov
Sklifosovsky Clinical and Research Institute for Emergency Medicine
Polytrauma Department
3, Bolshaya Sukharevskay sq.
Moscow, 129090 Russia
|
[
Ответить ]
|
( Ответить )
|
|