вверх
отправить
поиск
админ
главная
Предыдущее
|
Re: Proximal femoral shaft nonunion + osteomyeliti
Pavel Ivanow 08 Сентябрь 2007, 02:33
|
Уважаемый Анатолий Федорович!
Мы как раз собирались в ближайшее время представить участникам форума результаты лечения нашего пациента.
В настоящее время наш пациент ( см. http://weborto.net/forum/1177351385/) ходит с одним костылем. У него периодически открывается свищ на задне-наружной поверхности бедра с умеренным серозно-гнойным отделяемым. Температура тела и анализы нормальные. На рентгенограммах имеются признаки консолидации ложного сустава.
Иллюстрации:
1, 2, 3, 4 - рентгенограммы бедра от 8 августа этого года (через четыре месяца после операции);
5 - внешний вид больного;
6 - упомянутый свищ.
В качестве демонстрации лечения канального остеомиелита бедренной кости представляем пациентку (см. parts 2 и 3), которая как раз сегодня была у нас на контрольном осмотре. В мае этого года мы произвели ей фиксацию бедренной кости штифтом-спейсером по поводу ложного сустава и канального остеомиелита бедренной кости. Через 4 недели после операции свищи закрылись. Сейчас она ходит с полной нагрузкой на конечность.
Рецидива гнойного воспаления нет.
Иллюстрации:
1, 2 - вид бедра на операции (имеется гнойное отделяемое из свища в верхней трети бедра);
3 - содержимое костно-мозгового канала при рассверливании;
4, 5, 6 - рентгенограммы бедра и фотографии пациентки (прошу прощения за низкое качество рентгеновских снимков) от 7 сентября 2007 г.
Мы уже накопили скромный опыт использования данного способа лечения. С апреля этого года мы выполнили 21 подобную операцию. Мы попробовали применять этот способ при фиксации переломов на фоне различных различных форм остеомиелита, при нагноении мягких тканей и в качестве первичной фиксации при тяжелых открытых переломах при переломах голени, бедра и плеча. В подавляющем большинстве случаев получены хорошие результаты.
Сейчас занимаемся анализом результатов и готовимся представить их травматологической общественности.
Спасибо за интерес, проявленный к результатам нашей работы. Мы всегда открыты для обмена опытом.
Best regards,
Pavel Ivanov
Sklifosovsky Clinical and Research Institute for Emergency Medicine
Polytrauma Department
3, Bolshaya Sukharevskay sq.
Moscow, 129090 Russia
|
|
|
Ответить
|
Re: Proximal femoral shaft nonunion + osteomyeliti
Alexaander Chelnokov 20 Сентябрь 2007, 08:05
|
PI> костылем. У него периодически открывается свищ на задне-наружной
PI> поверхности бедра с умеренным серозно-гнойным отделяемым.
PI> Температура тела и анализы нормальные. На рентгенограммах имеются
PI> признаки консолидации ложного сустава.
Это самое важное - чтобы не было инфицированного несращения. А локальный отграниченный очажок больших проблем не создает.
А фистулографию не делали?
А не было мысли поменять спейсер?
PI> недели после операции свищи закрылись. Сейчас она ходит с полной
PI> нагрузкой на конечность. Рецидива гнойного воспаления нет.
Ну и правильно.
PI> Мы уже накопили скромный опыт использования данного способа
PI> лечения. С апреля этого года мы выполнили 21 подобную операцию.
Жму руку, восхищен. Как вам разрешают класть гнойных больных?
PI> Мы попробовали применять этот способ при фиксации переломов на фоне
[...]
PI> В подавляющем большинстве случаев получены хорошие результаты.
Что сейчас с технологией изготовления? На какой трубке остановились?
Какие еще нюансы отшлифовались?
PI> Сейчас занимаемся анализом результатов и готовимся представить их
PI> травматологической общественности.
Да, пора статьи писать!
|
[
Ответить ]
|
Re: Proximal femoral shaft nonunion + osteomyeliti
Отправитель: Pavel Ivanov 20 Сентябрь 2007, 08:07
|
AC> А фистулографию не делали?
Фистулографию не делали.
AC> А не было мысли поменять спейсер?
Александр Николаевич, для этого нет веских оснований. Ложный сустав срастается, несмотря на наличие этого свища. Мы не можем исключить тот факт, что источником воспаления для имеющегося свища может быть, например, секвестр или лигатура, расположенные вне костно-мозгового канала. В этой ситуации замена спейсера нам не поможет.
AC> Жму руку, восхищен. Как вам разрешают класть гнойных больных?
Проблема лечение гнойных осложнений переломов для нашего отделения является злободневной. Такие осложнения у пострадавших с тяжелой сочетанной травмой встречаются чаще, чем при изолированных повреждениях. Кроме "наших" пациентов, к нам в отделение госпитализируются больные, лечившиеся в других учреждениях. Часто такие больные поступают в наше отделение по распоряжению администрации института. Так что в этом вопросе особых проблем нет.
AC> Что сейчас с технологией изготовления? На какой трубке остановились?
AC> Какие еще нюансы отшлифовались?
К настоящему времени удалось "отточить" технологию, хотя по-началу проблем было предостаточно. Сейчас мы используем дренажные однопросветные силиконовые трубки. Проблем с ними не возникает.
Best regards,
Pavel Ivanov
Sklifosovsky Clinical and Research Institute for Emergency Medicine
Polytrauma Department
|
[
Ответить ]
|
Re: Proximal femoral shaft nonunion + osteomyeliti
Отправитель: Alexander Chelnokov 30 Сентябрь 2007, 11:52
|
PI> для этого нет веских оснований. Ложный сустав срастается, несмотря
PI> на наличие этого свища. Мы не можем исключить тот факт, что
PI> источником воспаления для имеющегося свища может быть, например,
PI> секвестр или лигатура, расположенные вне костно-мозгового канала.
Поэтому фистулографию интнресно сделать, ну и может статься, что замена спейсера все-таки поможет. Хотя если очаг отграниченный, состояние стабильное, наверно, синица уже в руках.
PI> такие больные поступают в наше отделение по распоряжению
PI> администрации института. Так что в этом вопросе особых проблем нет.
А эпидемиологи на вас не нападают по этому поводу, мол, если гнойный больной - его обязательно надо перевести в гнойное отделение, и не моги в чистом отделении его вести? просто у нас такая проблема есть.
PI> по-началу проблем было предостаточно. Сейчас мы используем
PI> дренажные однопросветные силиконовые трубки.
А диаметр какой?
|
[
Ответить ]
|
Re: Proximal femoral shaft nonunion + osteomyeliti
Отправитель: Pavel Ivanov 30 Сентябрь 2007, 11:58
|
AC> А эпидемиологи на вас не нападают по этому поводу, мол, если гнойный
AC> больной - его обязательно надо перевести в гнойное отделение, и не
AC> моги в чистом отделении его вести? просто у нас такая проблема есть.
В нашем институте имеется научный отдел, занимающийся лечением гнойных осложнений. Но он уже несколько лет работает на базе одной из московских больниц. Так что вполне официально в НИИСП каждое отделение занимается лечением гнойных осложнений самостоятельно. Например, у нас в отделении имеется три палаты (две мужских и одна женская), где лечатся больные с тяжелыми открытыми переломами, обширными ранами и гнойными осложнениями.
PI>> по-началу проблем было предостаточно. Сейчас мы используем
PI>> дренажные однопросветные силиконовые трубки.
AC> А диаметр какой?
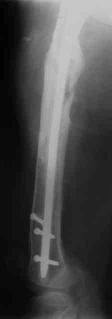
Для плечевой и большеберцовой кости - 10 мм, для бедренной - 12 мм.
Вчера наш пациент был на контрольном осмотре. Вроде все идет нормально. Рентгенограммы от 25 сентября 2007 г. (прошло 5 месяцев после операции) прилагаю.

Best regards,
Pavel Ivanov
Sklifosovsky Clinical and Research Institute for Emergency Medicine
Polytrauma Department
3, Bolshaya Sukharevskay sq.
Moscow, 129090 Russia
|
[
Ответить ]
|
|
( Ответить )
|
|