ВХОД ДЛЯ ПАЦИЕНТОВ
вверх
поиск
админ
главная
исходное
|
Re: Демонстрация пациента с переломом плечевой кос
послал Pavel Ivanov 28 Сентябрь 2007, 00:56
|
Уважаемые А. Ситник и Александр, здравствуйте.
Вы писали:
> > - что с бугорками плечевой кости - фиксировали ли их ?(по рентгенограмме
> > создается впечатление, что большой бугорок находится под акромионом)
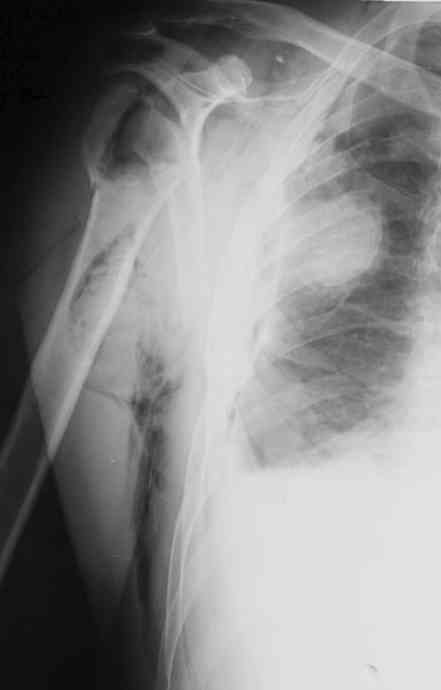
Я абсолютно согласен с Вами. Бугорки мы не выделяли и не фиксировали. Дело в том, что основная линия перелома проходит по анатомической шейке. И ниже нее кость повреждена, но существенного смещения осколков и бугорков до и во время операции не отмечено (прилагаю первичный снимок лучшего качества - рис. 1).

Интраоперационно было установлено, что осколки находятся примерно на своих местах и плотно связаны с окружающими тканями. Мы не стали их выделять, мобилизировать и фиксировать, так как это все равно будет необходимо сделать при установке эндопротеза.
В качестве дополнения: мы считаем, что спейсер не заменяет головку вместе с бугорками, а лишь временно заполняет свободное пространство в тканях.
> > - что мешало использовать в качестве спейсера свою же головку?
Этот вопрос, извините, я не понял.
> > - если есть технические возможности протезирования - почему только через
> > 3 месяца, а не сразу? - результаты отсроченного протезирования плеча,
> > спустя месяцы после травмы, гораздо хуже, чем в "свежих" случаях.
Технические возможности эндопротезирования у нас были. Правда не было эндопротеза.
Еще одной причиной было наличие у больного осложненных переломов ребер. Эту патологию у нас в отделении знают неплохо, так как мы практически ежедневно сталкиваемся с осложненными переломами ребер как в составе сочетанной травмы, так и при изолированных травмах груди.
Из протокола операции: "В плевральной полости до 500 мл старой крови, преимущественно в виде сгустков. Легкое коллабировано сгустками, находится в состоянии гиповентиляции. Отмечено высокое стояние диафрагмы (до 5-го межреберья). В S2 верхней доли легкого, в проекции переломов ребер имеется субплевральная ненапряженная гематома 3х4 см. Имеется рана висцеральной плевры размератми 1х2 см *. Через рану грудной стенки (в нее выстоят отломки ребер и при ревизии свободно проходят 3 пальца) и париетальной плевры полость плечевого сустава сообщается с плевральной полостью **… Произведено дренирование плевральной полости однопросветной силиконовой трубкой ***."
* - именно через нее вдыхаемый воздух поступал в мягкие ткани, в том числе и параартикулярно, что видно на снимке и на результатах КТ;
** - эту рану зашить или прикрыть чем-либо не представлялось возможным, да мы и не ставили такой задачи.
*** - ожидаемый срок нахождения дренажа в плевральной полости – 5-7 суток.
После операции мы не исключали развитие пневмоторакса, плеврита, гемоторакса или эмпиемы плевры. Поэтому мы посчитали возможным заместить дефект плечевой кости спейсером с антибиотиком, а эндопротезирование выполнить в «чистых» условиях.
own> Спасибо за интересную презентацию!Можно искренне позавидовать людям
own> занимающимся настоящей работой,и порадоваться за пациентов попавших к
own> вам.А кое где в областных центрах больных с вывихами акромиальных концов
own> ключиц лечат консервативно,и больные с повреждениями крестообраз.связок
own> плавно инвалидизируются без операций,что уж говорить о подобных
own> вмешательствах...
own> Александр , ЦРБ
Александр, спасибо за столь высокую оценку. Нисколько не сомневаюсь, что и нам есть чему у Вас поучиться. Для иллюстрации прилагаю сегодняшний снимок с нашего обхода в шоковом зале реанимации (рис. 2).

Best regards,
Pavel Ivanov
Sklifosovsky Clinical and Research Institute for Emergency Medicine
Polytrauma Department
3, Bolshaya Sukharevskay sq.
Moscow, 129090 Russia
|
| Послать ответ |
Обратите внимание: Поля с жирными названиями обязательны.
Старайтесь отвечать в рамках обсуждаемой темы, а не начинать новые обсуждения.
Указывайте адекватную тему сообщения, чтобы было ясно, о чем оно.
Не послайте сообщений не по теме (оффтопик), раздраженных, грубых или обидных комментариев. Здесь это неуместно.
|