ВХОД ДЛЯ ПАЦИЕНТОВ
вверх
поиск
админ
главная
|
Демонстрация пациента с переломом плечевой кости |
 |
 |
 |
Прислано Pavel Ivanov 26 Сентябрь 2007, 08:07
из
Уважаемые коллеги.
Недавно из нашего отделения был выписан пациент 54 лет с закрытым переломом плечевой кости.
Из анамнеза: за 2 дня до поступления в НИИСП, в состоянии алкогольного опьянения упал с лестницы на даче (высота 3-4 метра) с упором на правую руку. Через двое суток обратился за медицинской помощью. Доставлен бригадой "Скорой помощи".
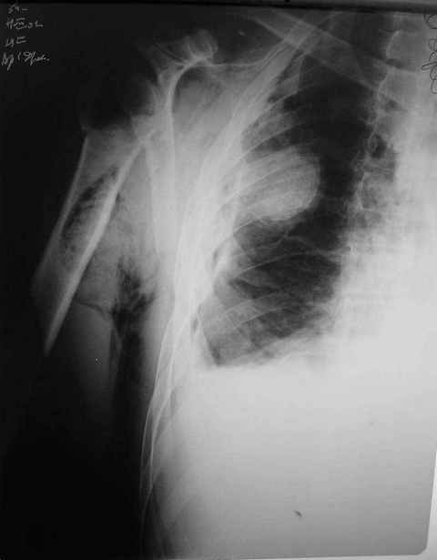
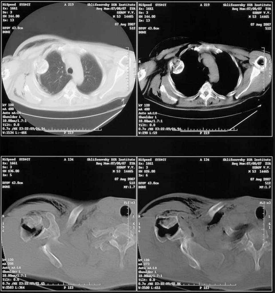
Правый плечевой сустав умеренно деформирован. По внутренней поверхности плеча имеется кровоподтек. При пальпации плечевого сустава имеется умеренная болезненность. Активные и пассивные движения болезненные. Снижена чувствительность по тыльной поверхности пальцев кисти и отсутствует активное разгибание кисти и пальцев. Имеется подкожная эмфизема шеи, верхней половины грудной клетки (рис 1, 2). На рентгенограмме: оскольчатый перелом головки плечевой кости со значительным смещением, перелом 2-3 ребер справа, тканевая эмфизема (рис 3). КТ при поступлении: перелом головки плечевой кости в области анатомической шейки со смещением отломка головки в грудную полость, правосторонний гидроторакс, перелом 2-3-4 ребер справа. (рис 4). Через двое суток после поступления выполнена операция: атипичная торакотомия, эвакуация свернувшегося гемоторакса, удаление инородного тела (головки плечевой кости) из плевральной полости (при этом выявлено имеющееся повреждение париетального и висцерального листков плевры) (рис. 5), дренирование плевральной полости, замещение проксимального конца плечевой кости спейсером из костного цемента с антибиотиком (рис. 6). Послеоперационный период протекал гладко. При контрольной рентгенографии положение спейсера удовлетворительное (рис. 7, 8). Дренаж из плевральной полости удален через 3 суток после вмешательства. Послеоперационная рана зажила первичным натяжением. Через 12 дней после операции больной выписан на амбулаторное лечение.
Через 3 месяца планируется повторная госпитализация для выполнения эндопротезирования правого плечевого сустава.
Похожий, но менее тяжелый, случай был показан в 2004 году на сайте журнала J Bone Joint Surg Am. (http://www.jbjs.org/Image_Quiz/2004/may04/iqmay04_p1.shtml).
Best regards,
Pavel Ivanov
Sklifosovsky Clinical and Research Institute for Emergency Medicine
Polytrauma Department
3, Bolshaya Sukharevskay sq.
Moscow, 129090 Russia
Обратите внимание: Поля с жирными названиями обязательны.
Старайтесь отвечать в рамках обсуждаемой темы, а не начинать новые обсуждения.
Указывайте адекватную тему сообщения, чтобы было ясно, о чем оно.
Не послайте сообщений не по теме (оффтопик), раздраженных, грубых или обидных комментариев. Здесь это неуместно.
|