Ответить
|
Re: Перелом пяточной кости
Anton Bekhterev 30 Сентябрь 2007, 01:46
|
Если я правильно понял, вы хотели спросить: "Что делать с кистой, и как на этом фоне выполнять репозицию и фиксацию перелома?"
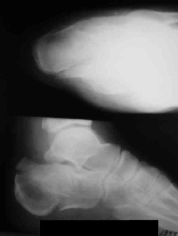
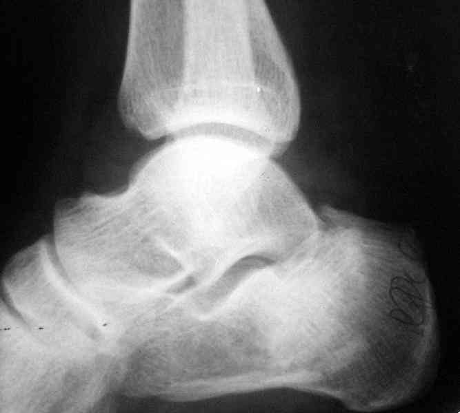
Я думаю, что для начала нужно выполнить КТ пяточной кости и определиться с границами полости. Не исключено, что отрывной перелом верхнего полюса бугра носит патологический характер (верхняя стенка кисты).
|
[
Ответить ]
|
Re: Перелом пяточной кости
Отправитель: Viktor Kost 30 Сентябрь 2007, 12:10
|
Думаю что это не киста, но КТ сделаем, спасиба.
|
[
Ответить ]
|
|
Re: Перелом пяточной кости
Alexey Semenisty 30 Сентябрь 2007, 10:25
|
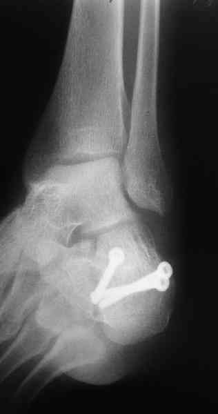
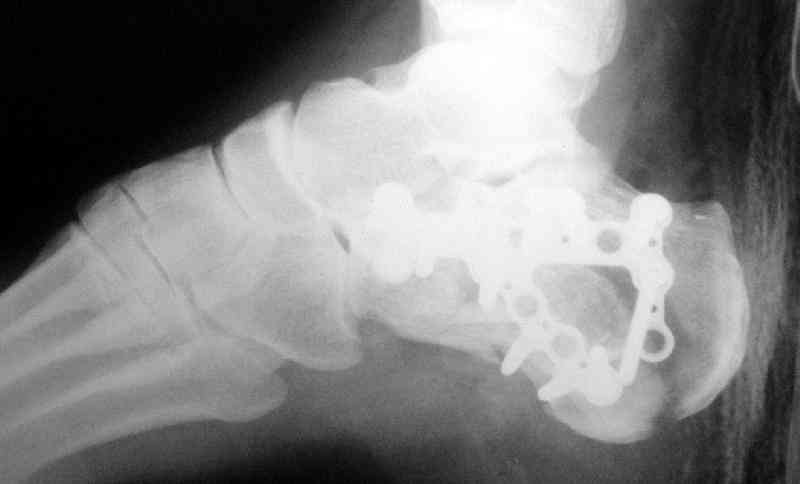
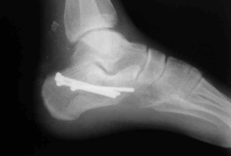
Пяточной пластиной
С уважением, А.Семенистый.
ГКБ № 13, Москва.
|
[
Ответить ]
|
Re: Перелом пяточной кости
Отправитель: Viktor Kost 30 Сентябрь 2007, 12:12
|
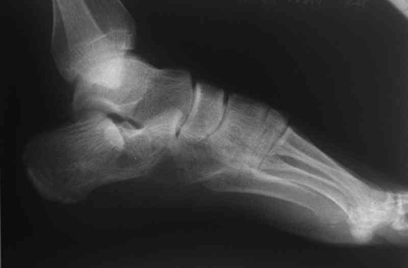
Какой предпочитаете доступ? Нет ли показательных рентгенснимков?
|
[
Ответить ]
|
Re: Перелом пяточной кости
Отправитель: А.П.Ким 09 Октябрь 2007, 09:41
|
Открытый и закрытый способы лечения.



|
[
Ответить ]
|
|
Re: Перелом пяточной кости
Aharon Liberson 30 Сентябрь 2007, 10:25
|
Its a comminuted one.
I would have a CT prior 2 surgery(If u have to postpone a surgery for it - I would operate without one)
I myself would reduce it with EX-FIX and depending on the result would consider a plate on the table.
MOST OF MY COLLEGUES WOULD OPEN IT LATERALLY( a flap) and having a proper reduction would put a plate.
Good luck
AL
|
[
Ответить ]
|
Re: Перелом пяточной кости
Антон Андрианов 01 Октябрь 2007, 18:35
|
Если нет опыта в остеосинтезе пяточной пластиной то лучше начать с экскохлеации полости кистозного образования и заполнения его остеоиндукторами Коллапан, Тутопласт, etc.Закрытая репозиция с рентгенконтролем на столе и перкутанная фиксация спицами пяточного бугра с фиксацией в эквинусе могут дать вполне приемлемый результат.
|
[
Ответить ]
|
Re: Перелом пяточной кости
Отправитель: В.Машталов 03 Октябрь 2007, 16:35
|
Сустав похоже интактен, киста под вопросом,даже при наличии опыта остесинтеза пластиной, в данном случае выведение правильного угла и фиксация спицами более чем достаточно, да и намного спокойнее сон у хируга.
с ув. В.Машталов
|
[
Ответить ]
|
Re: Перелом пяточной кости
Отправитель: Odessky Jacob M.D 03 Октябрь 2007, 20:28
|
Ув. доктор Машталов! Если сустав интактен, какой угол вы предлагаете восстанавливать.
С уважениием
|
[
Ответить ]
|
Re: Перелом пяточной кости
Отправитель: Alexey Semenisty 04 Октябрь 2007, 16:58
|
Сустав похоже интактен, киста под вопросом,
Перелом безусловно внутрисуставной. Киста-не киста принципиального значения не имеет.
фиксация спицами более чем достаточно, да и намного спокойнее сон у хируга.
Фиксации спицами для спокойного сна хирурга пожалуй достаточно. А для пациента?
С уважением, А.Семенистый.
ГКБ № 13, Москва.
|
[
Ответить ]
|
Re: Перелом пяточной кости
Отправитель: В Машталов 04 Октябрь 2007, 17:28
|
Фиксации спицами для спокойного сна хирурга пожалуй достаточно. А для пациента?
А хирург спит хорошо, когда пациенту хорошо, и ему не снятся его осложнения.
Имея какой-то опыт остесинтеза пяточной кости пластинами пришли к выводу - где есть альтернатива лучше без нее, где нет значит пластина и долгие переживания в ожидании очередной перевязки. Может нам так не везло, но и одного некроза( слава богу без остеомеилита) достаточно, чтобы призадуматься.
с ув. В Машталов
|
[
Ответить ]
|
Re: Перелом пяточной кости
Отправитель: Odessky Jacob M.D 03 Октябрь 2007, 20:21
|
Здравствуйте, коллеги!
Антон, позвольте поинтересоваться как практически проделать закрытую репозицию и что Вы предлагаете при этом делать с переломом задней фасеты пяточной кости.
С уважением!
|
[
Ответить ]
|
Re: Перелом пяточной кости
Отправитель: Антон Андрианов 04 Октябрь 2007, 15:57
|
Вправление задней фасеты с восстановлением таранно-пяточного угла возможно минимально-инвазивным методом Essex-Lopresti - под ЭОП или графическим контролем введенной в пяточный бугор толстой спицей или стрежнем Штеймана, которые служат рычагом. Для удержания вводим несколько тонких спиц Киршнера, фиксация в эквинусе.Подробнее в Margo anterior 1-2 2000\издание АО Матис в России, на сайте www.mathys.ru в архиве есть все выпуски. Метод внедрен у нас с 2000 года и дает неплохие результаты.
|
[
Ответить ]
|
Re: Перелом пяточной кости
Отправитель: Paul 13 Октябрь 2007, 08:30
|
Уважаемый Антон Андрианов. В отделении сочетанной травмы U,24 г Екатеринбурга также используется подобная методика. Предварительно делаем КТ. Предоперационное планирование возможности управления отломками. Мы выполяем репозицию шилом. Фиксацию крупных отломков спицами, а затем репозицию и фиксацию более мелких фрагментов. Кстати, на сайтеАО Матис Margo anterior 1-2 2000 - нет (почему-то?). Было бы интересно узнать как и куда вы вводите спицы.
|
[
Ответить ]
|
|
Re: Перелом пяточной кости
дмитрий бондарь 06 Октябрь 2007, 23:27
|
Приветствую,коллеги!Вот тут лежит неплохая , вроде бы статья по пятке . http://www.xm.kiev.ua/gen.html
С уважением Д.Б.
|
[
Ответить ]
|
Re: Перелом пяточной кости
Антон Андрианов 13 Октябрь 2007, 15:59
|
Действительно архив Margo Anterior начинается с 2001 года.Но я могу эту статью по лечению переломов пяточной кости,очень обстоятельную, санировать и выслать мылом на ваш адрес или разместить на rapidshare ru и указать ссылку на форуме. несколько тонких спиц вводятся в разных направляениях при многофрагментарных переломах иногда через подтаранный сустав для удержания репозиции. Их и стержень удалем через 6 недель.
|
[
Ответить ]
|
Re: Перелом пяточной кости
Anton Andrianov 14 Октябрь 2007, 20:52
|
Скачать статью из Margo Anterior можно отсюда
http://www.sendspace.com/file/4goabk
|
[
Ответить ]
|
( Ответить )
|
|