ВХОД ДЛЯ ПАЦИЕНТОВ
вверх
поиск
админ
главная
исходное
|
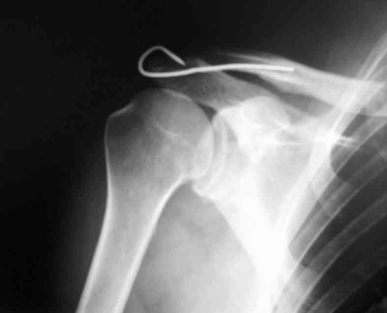
Re: Вывих акромиального конца ключицы
послал Максимов Сергей 20 Октябрь 2007, 02:47
|

Здравствуйте.Извиняюсь за задержку. Фотографии фиксации АКС. Канал для ножки фиксатора формируется затупленным шилом, для уменьшения опасности перфорации кортикального слоя.
В некоторых клиниках активно применяли конструкции из никелида титана (с термомеханической памятью) с фиксацией за ключицу и клювовидный отросток. Сам не применял, но отзывы были хорошие а рентгенограммы красивые.
С уважением, Сергей.
|
Послать ответ |
Обратите внимание: Поля с жирными названиями обязательны.
Старайтесь отвечать в рамках обсуждаемой темы, а не начинать новые обсуждения.
Указывайте адекватную тему сообщения, чтобы было ясно, о чем оно.
Не послайте сообщений не по теме (оффтопик), раздраженных, грубых или обидных комментариев. Здесь это неуместно.
|