Ответить
|
Re: Ложный сустав голени перелом штифта
Alexander Chelnokov 19 Октябрь 2007, 21:28
|
Снимок покажите pls.
|
[
Ответить ]
|
Re: Ложный сустав голени перелом штифта
Odessky Jacob M.D. 19 Октябрь 2007, 23:06
|
Уважаемый доктор Машталов!!!
Можете ли Вы послать рентгенснимки и фотографии ноги!!!
С уважением!
|
[
Ответить ]
|
Re: Ложный сустав голени перелом штифта
В. Машталов 23 Октябрь 2007, 12:09
|
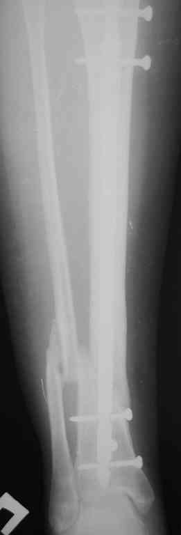
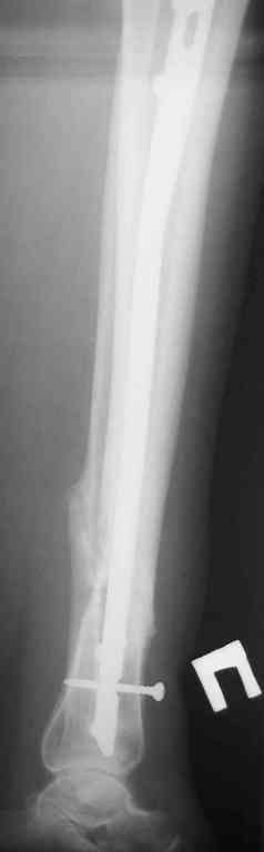
Прилагаются.

|
[
Ответить ]
|
Re: Ложный сустав голени перелом штифта
Отправитель: Alexander Artemiev 23 Октябрь 2007, 23:17
|
Здравствуйте.
Я бы выбрал следующее:
- удаление проксимального куска гвоздя
- остеотомия малоберцовой кости
- внешний остеосинтез в режиме компрессия-дистракция-компрессия.
С уважением Александр Артемьев
|
[
Ответить ]
|
Re: Ложный сустав голени перелом штифта
Отправитель: Alexander Chelnokov 24 Октябрь 2007, 22:56
|
Привет, колеги, и особенно Владимир и Александр
Я бы выбрал следующее:
- удаление проксимального куска гвоздя
- остеотомия малоберцовой кости
- внешний остеосинтез в режиме компрессия-дистракция-компрессия.
Недавно в аналогичной ситуации так и поступили. Когда прошло 4 мес, а оно все не срасталось, пациент попросил избавить его от аппарата. тогда мы удалили дистальный кусок стержня (линейный разрез спереди, остеотомия латеральнее гребня в плоскости planum с откидыванием кожно-подкожно-костной "крышки" ), и заштифтовали. На месте несращения не вмешивались.
Владимиру Дмитриевичу - я бы не советовал одноэтапно удалять и штифтовать, там длина потерялась, а ее одномоментно чтобы восстановить, надо очень грубо обойтись с тканями. Поэтому я бы удалил все, наложил бы аппарат, за 10-15 дей восстановили бы длину и ось, и тут же заштифтовали. За это время и "крышка" бы чуть прихватилась.
|
[
Ответить ]
|
Re: Ложный сустав голени перелом штифта
Отправитель: В.Машталов 30 Октябрь 2007, 00:34
|
С длиной все в порядке, ось ушла, под ЭОП посмотрели ось, коррегируется руками, от аппарата больная категорически отказывается, уже носила до штифтования. Планируем одномоментное рассверливание и перештифтования, наложим спицевой дистрактор. По поводу удаления обломка есть идея, отдали чертежик на изготовления, если получится то удалим без окончатой остеотомии.
От пластики в зоне перелома останавливает возможность дремлющей инфекции и рубцовый процесс., остановились только на рассверливании. По результатам скину на форум информацию.
Спасибо всем за участие
С уважением к сообществу
В.Машталов
|
[
Ответить ]
|
Re: Ложный сустав голени перелом штифта
Отправитель: Alexander Chelnokov 30 Октябрь 2007, 00:35
|
Мы за все время как-то при ревизионных штифтованиях без костной пластики обходились.
В принципе, можно попытаться удалить отломок и сверху. Рассверлить центральный фрагмент, взять
плоский стержень с отверстием, совместить это отверстие с отверстием в дистальном обломке стержня, провести сквозь них спицу, и вытаскивать. Удачи! Будет интересно взглянуть на результаты.
|
[
Ответить ]
|
Re: Ложный сустав голени перелом штифта
Отправитель: Alexey Semenisty 30 Октябрь 2007, 00:39
|
И снова, здрасте!
Мы за все время как-то при ревизионных штифтованиях без костной пластики обходились.
Аналогично
В принципе, можно попытаться удалить отломок и сверху. Рассверлить центральный фрагмент, взять
плоский стержень с отверстием, совместить это отверстие с отверстием в дистальном обломке стержня, провести сквозь них спицу, и вытаскивать.
Нужно попытаться! Еще надежнее вариант не с плоским стержнем, а с трубкой. Зарубежные коллеги применяют для этого старые универсальные (полые) стержни с отпиленным кончиком. Можно попробовать с с Кюнтчеровским, наверняка в подвале еще завалялись.
--
С уважением, А.Семенистый.
ГКБ № 13, Москва.
|
[
Ответить ]
|
Re: Ложный сустав голени перелом штифта
Отправитель: В.Машталов 30 Октябрь 2007, 00:41
|
Именно так и собираемся, только трубку с вн. диаметром штифта решили закрепить на эластичтном проводнике 4 мм стержне, совместить отверстия и заблокировать .
Мысли сходятся!
В.Машталов
|
[
Ответить ]
|
Re: Ложный сустав голени перелом штифта
Отправитель: Alexey Semenisty 23 Октябрь 2007, 23:18
|
Приветствую! Наберите в поисковике "removal of а broken UTN" и получите десяток ссылок на статьи, правда, по 25 евро!
Если можно, по-подробнее о гвозде: чей, какой диаметр и длина, про винты...?
Помнится тема обсуждалась...
|
[
Ответить ]
|
Re: Ложный сустав голени перелом штифта
Отправитель: Владимир Дмитриевич Машталов 24 Октябрь 2007, 22:56
|
Да , обсуждалась и оптимальным штифтом был выбран " Мастер" Остеомед 10 мм и винты 5 мм, но увы все наши благие намерения разбились о нашу действительность и материальные возможности больной, обращение ее в страховую компанию и т.д., вообщем выкручивались из внутренних резервов, а они были такими 9 мм штифт Остеомед, под 4 мм винты. Ограничили нагрузку. Ошиблись еще и с оценкой сращения, дали полную нагрузку+ больная поправилась на 18 кг, и вот теперь имеем , что имеем.
Действитльность и возвожности остались прежнее, во внутренних резервах есть 11 мм стержень универсальный ( реконструктивный) "Деост-CHM" много спиц и аппарат + ось конечности и отломок штифта и надежда на Ваши советы.
Да еще немного евро на статьи для Springer :)
с ув. В.Машталов
|
[
Ответить ]
|
Re: Ложный сустав голени перелом штифта
Отправитель: В. Троицкий 25 Октябрь 2007, 22:00
|
http://www.orthosupersite.com/view.asp?rID=18716
|
[
Ответить ]
|
Re: Ложный сустав голени перелом штифта
Отправитель: Alexey Semenisty 30 Октябрь 2007, 00:27
|
Приветствую!
В таком случае я бы остановился на удалении проксимальной части гвоздя и винтов, дистальный конец пусть оставил бы на месте и лечил дальше в аппарате.
У нас было два подобных случая, действительно, как пишет Александр, в аппарате сращение шло очень медленно (потребовалось 10 месяцев фиксации). В другом случае мы удалили и одномоментно перештифтовали. Удаляли примерно так же как А.Н. - это было не очень вкусно :(. При удалении по методикам описанным в иностранной литературе канал в проксимальном отломке рассверливается до 12-14 мм, стало быть и гвоздь нужен соответствующий
|
[
Ответить ]
|
|
( Ответить )
|
|