AOTRAUMA.ORG Центр Илизарова  

Ортопедия и травматология Общие вопросы/General questions Help Информационные технологии в медицине
 вверх
 отправить
 поиск
 админ
 главная


Хондроматоз тазобедренного сустава
Ортопедия и травматология Отправлено Жиляков Андрей Викторович 29 Октябрь 2007, 10:46 Екатеринбургский Медицинский Центр
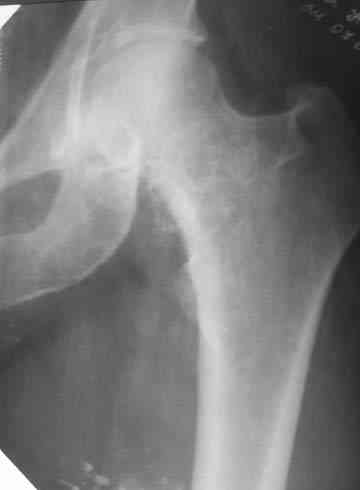
Пациентка И., 1952 года рождения. При первом поступлении пациентка предъявляла жалобы на резкую боль в левом тазобедренном суставе, возникающую при движении.


Боль постепенно усиливалась в течении последних 2 лет. Лечилась амбулаторно у невролога по месту жительства с диагнозом остеохондроз поясничного отдела позвоночника, корешковый синдром. В общих и биохимических анализах крови изменений не отмечалось, ревматоидный фактор (РФ), С-реактивный белок – в пределах нормы. Рентгенологическое исследование. В прямой и боковой проекции левого тазjбедренного сустава отмечается уплотнение крыши вертлужной впадины. В мягких тканях определяются округлой формы участки неравномерного обызвествления.Заключение. ДОА тазобедренного сустава. Хондроматоз слева в мягких тканях.Клиника. Видимых деформаций в области тазобедренного сустава нет. Ограничено отведение в левом тазобедренном суставе из-за болей до 20º. На основании клинических и лабораторных показателей был поставлен диагноз "Хондроматоз левого тазобедренного сустава". После стандартного предоперационного обследования выполнена диагностическая артроскопия тазобедренного сустава – обнаружены свободно лежащие внутрисуставные хондральные тела > 2 см в диаметре, хондромаляция хряща головки бедренной кости II степени. Выполнена боковая артротомия, внутрисуставные тела удалены, синовиальная оболочка частично резецирована. Послеоперационное течение – без осложнений. Швы сняты в срок, заживление первичным натяжением. Назначен курс лечебной физкультуры. Учитывая наличие рентгенологических признаков коксартроза, проведен курс внутрисуставной вискосуплиментарной терапии препаратами 1% гиалуроновой кислоты № 2.Осмотр через 1 месяц после оперативного лечения. Жалоб на боль при ходьбе нет, движения в полном объеме. Рекомендовано динамическое наблюдение раз в полгода и контрольная рентгенография через год

<  |  >

 

  • Сообщения о Ортопедия и травматология
  • Также Жиляков Андрей Викторович
  • Связаться с автором
  • Ответить

    Re: Хондроматоз тазобедренного сустава
    Alexander Chelnokov 30 Октябрь 2007, 00:21
    Спасибо за презентацию. Не могли бы Вы уточнить, что именно поучительного Вы усмотрели в этом наблюдении? Другими словами, какова "мораль сей басни", какой message аудитория должна получить из описанных событий?

    Или у Вас остались какие-то сомнения относительно оптимальности использованного подхода? Целесообразности именно такой тактики, техники операции, или послеоперационного периода, или целесообразности внутрисуставных введений этих препаратов здесь?

    То есть не лишним было бы внятно обозначить цель презентации.

    Еще раз спасибо в любом случае.
    [ Ответить ]

    • Re: Хондроматоз тазобедренного сустава
      Отправитель: Жиляков Андрей Викторович 31 Октябрь 2007, 09:57
      Добрый день, уважаемый Александр! Ничего поучительного в этом наблюдении нет. Я думаю, что Вы сталкивались с подобной патологией, хотя она достаточная редка. Мне хотелось бы узнать выполнял ли кто-нибудь из посетителей этого Форума пободные операции артроскопически, особенно этап синовэктомии. Меня очень интересуют подобные операции. Заранее благодарен Жиляков Андрей.

      [ Ответить ]
    Re: Хондроматоз тазобедренного сустава
    Анатолий 27 Ноябрь 2007, 19:27
    См.монографию С.Т.Зацепина "Костная патология взрослых"
    [ Ответить ]


    ( Ответить )

    Powered by Zope  Squishdot Powered MedLink
    Посетитель: 0176167
      "По форме правильно, а по существу - издевательство" В.И.Ленин
    ©2001-2019Orthoforum Coordinator.
    [ Главная | Отправить сообщение | Поиск | Админ ]