Ответить
|
Re: разрыв лонного сочленения
Савранский Александр 30 Октябрь 2007, 00:24
|
Если Вы добились хорошего стояния костей в аппарате, то нет смысла менять метод фиксации.
Что касается пластины-хороший рабочий вариант для пациента,который не хочет 2-2,5 месяца ходить с рамой.
|
[
Ответить ]
|
Re: разрыв лонного сочленения
Alexander Chelnokov 30 Октябрь 2007, 01:14
|
Извините что на словах, фото отправить не могу ( пока не умею)
А в чем именно трудности? Можно сделать фото хоть сотовым телефоном с негатоскопа. Получившиеся файлы отправьте мне на alex(at)weborto.net, переложу сюда.
|
[
Ответить ]
|
Re: разрыв лонного сочленения
Отправитель: Миронов Андрей 05 Ноябрь 2007, 16:17
|

извините за опоздание , вот фотографии
|
[
Ответить ]
|
Re: разрыв лонного сочленения
Отправитель: Maxim Agalakov 06 Ноябрь 2007, 13:06
|
Репозиция действительно очень неплохая, но чтобы уменьшить риск развития поздней нестабильности, в такой ситуации лучше выполнить синтез лонного сочленения пластиной и оставить аппарат месяца на 2.
С уважением Максим
|
[
Ответить ]
|
Re: разрыв лонного сочленения
Отправитель: Миронов Андрей 06 Ноябрь 2007, 18:00
|
Уважаемый Максим, извините незнаю вашего отчества, я согласен с тем что дополнительно нужно установить пластину. Мне необходимо научное (литературное) обоснование следующего этапа (остеосинтеза пластиной лонного сочленения), т.к. стаж у меня всего 3 года а начмеда убедить моих доводов, и то что в интернете выкопал (как говорит начмед) маловато.
|
[
Ответить ]
|
|
Re: разрыв лонного сочленения
Рунков А.В. 30 Октябрь 2007, 10:34
|
<На R-мме таза ( в прямой проекции, вход и выход из таза) определяется изолированный разрыв лонного сочленения с диастазом 4см,расширение щели правого КПС(вертикальной нестабильности нет, >
Разрыв лонного сочленения с диастазом более 2,5 см говорит о полном разрыве крестцово-подвздошного сочленения (вертикальная нестабильность) или двустороннем характере повреждения (к/п с обеих сторон)
Если повреждение одностороннее - необходима фиксация задних отделов (винт или аппарат)
Если двусторолннее ротационное - можно оставить в передней раме.
Необходимость открытой репозиции и внутренней фиксации определяется площадью ПЛОТНОГО контакта лонных костей, если она меньше 2/3 лучше не ждать
3 месяцев.
Даже если контакт идеальный синтез пластиной
поможет уменьшить риск хр. неестабильности (особенно если пациент тучный, а аппарат ненадежный), быстрее снять аппарат, быстрее активизируется.
Без рентгенограмм трудно дать более определенный совет
С уважением РАВ
|
[
Ответить ]
|
Re: разрыв лонного сочленения
Отправитель: Дмитрий Бондарь 31 Октябрь 2007, 14:22
|
Здравствуйте , Алексей Владимирович ! Тазом плотно не занимался , поэтому хотелось бы уточнить :
1. Как отдифференцировать тип В от С типа ? Просто у Мюллера говорится , что критерием вертикальной нестабильности считается смещение гемипельвися кзади на 1 см и более, отрыв поперечного отростка L5 и клинические пробы (я понимаю ,что под ЭОПом ? ) . А если расхождение более 2,5 см , то это говорит о разрыве крестцово-остистой и крестцово-бугорной связок, но не о вертикальной нестабильности . Может я неправильно понял ?
2. где подробно и аргументированно описана травма таза и тактика лечения ? может адресок дадите ?
С уважением Д.Б.
|
[
Ответить ]
|
Re: разрыв лонного сочленения
Отправитель: Alexander Chelnokov 31 Октябрь 2007, 14:24
|
dmitri bondar пишет:
> 2. где подробно и аргументированно описана травма таза и тактика лечения ? может адресок дадите ?
Вот здесь лежит совершенно замечательная книга Fractures of the Pelvis and Acetabulum под редакцией B.Ziran и коллег (~7 Mb всего!)
Каждая глава написана экспертами из США и Европы, книжка новая, этого года.
|
[
Ответить ]
|
Re: разрыв лонного сочленения
Отправитель: Alexey Semenisty 31 Октябрь 2007, 14:25
|
Хорошая книжка, но где в ней или какой-то другой написано, что "Разрыв лонного сочленения с диастазом более 2,5 см говорит о полном разрыве крестцово-подвздошного сочленения (вертикальная нестабильность) или двустороннем характере повреждения (к/п с обеих сторон)"(А.В.Рунков)???
С уважением, А.Семенистый.
ГКБ № 13, Москва.
|
[
Ответить ]
|
Re: разрыв лонного сочленения
Отправитель: Рунков А.В. 06 Ноябрь 2007, 16:29
|
Уважаемый Алексей, прошу прощения за задержку, выдалась напряженная неделя.
По поводу 2,5 см ...
В книжках описано, что при таком диастазе (при условии отсутствия других повреждений) точно порвана передняя порция к/п сочленения. А что происходит дальше, если травмирующая сила продолжает действовать? Очевидно, что дальше начинает повреждаться последний оплот стабильности - задний и межкостный комплекс, хотя степень его повреждения может быть различной и не всегда сопровождается очевидным вертикальным смещением. Может быть смещение кзади, хотя по сути это одно и тоже (просто крестец наклонен), по моему мнению, заднее смещение более 5 мм (а не 1см) может быть только при значительном разрушении заднего связочного комплекса и может быть расценено как вертикальная нестабильность. Если у Вас есть под рукой муляж таза попробуйте воссоздать эту картину, надеюсь на наглядность проделанного опыта.
Хотя конечно все эти цифры достаточно условны, как и "абсолютные показания",необходимо еще учитывать, что речь идет о реальных мм, а не проекционных и решения должны приниматься не только на основе рентгенометрии.
Вообще в природе трудно да наверное и невозможно провести точную границу между двумя состояниями (полный неполный разрыв синдесмоза), поэтому я смягчу формулировку.
Диастаз более 2,5 см является индикатором более серьезного повреждения и показанием к более детальному обследованию задних отелов (дополнительные порекции, КТ и т.д.). В нашей практике имелись случаи, когда вертикальное смещение появлялось не сразу после травмы, если получится откопаю рентгенограммы.
В представленном случае повреждение несомненно ротационное и реальный диастаз как раз около пограничных 2,5 см, репозиция идеальная, достигнута в первые дни после травмы. Я бы ограничился 3 мес фиксации в аппарате с ограничением нагрузки первый месяц, и функциональными снимками в 6 -8 недель.
С уважением РАВ
|
[
Ответить ]
|
Re: разрыв лонного сочленения
Отправитель: Alexey Semenisty 07 Ноябрь 2007, 00:30
|
поэтому я смягчу формулировку.
Диастаз более 2,5 см является индикатором более серьезного повреждения,
и показанием к более детальному обследованию задних отделов
(дополнительные проекции, КТ и т.д.).
Ну вот это совсем по другому звучит!
А "Разрыв лонного сочленения с диастазом более 2,5 см говорит о полном разрыве крестцово-подвздошного сочленения (вертикальная нестабильность)" - слишком уж категорично.
Другими словами, необходимо принимать во внимание механизм травмы, и то, что диастаз более 2.5 см это уже показание к операции. Дисатаз менее 2,5 см на плоскостных рентегограммах в одной проекции, еще ничего не значит: не значит, что все хорошо сзади.
В представленном случае повреждение несомненно ротационное и реальный диастаз как раз около пограничных 2,5 см, репозиция идеальная,
достигнута в первые дни после травмы. Я бы ограничился 3 мес фиксации в
аппарате с ограничением нагрузки первый месяц, и функциональными снимками в 6 -8 недель.
Андрею Миронову: Коллега, лучшее враг хорошего! Если пациент хорошо переносит аппарат, ходит свободно, т.е. фиксация стабильна, оставьте как есть. Но, вообще, аппарат при разрывах тазового кольца применяют как экстренную меру для борьбы с шоком, и после стабилизации общего состояния переходят на внутреннюю фиксацию..., конечно, не через 6-8 недель.
С уважением, А.Семенистый.
ГКБ № 13, Москва.
|
[
Ответить ]
|
Re: разрыв лонного сочленения
Отправитель: Виктор 21 Ноябрь 2007, 01:55
|
ДОБРЫЙ ВАМ ДЕНЬ
Я КАК НАЧИНАЮЩИЙ ТРАВМАТОЛОГ ИНТЕРЕСУЮСЬ ВСЕМИ ИСТОЧННКАМИ КОТОРЫЕ МНЕ ДОСТУПНЫ. ОЧЕНЬ ИНТЕРЕСНЫЙ ФОРУМ .
ПРОЧИТАЛ ПРАКТИЧЕСКИ ВСЕ РАЗДЕЛЫ.
ОЧЕНЬ УМНЫЕ ЛЮДИ.
ПРИЯТНЫЕ И ОБЩИТЕЛЬНЫЕ.
ОЧЕНЬ ХОТЕЛОСЬ БЫ ВСТУПИТЬ У ВАШИ РЯДЫ И ПОДДЕРЖИВАТЬ С ВАМИ КОНТАКТ.
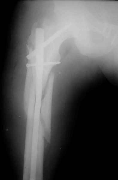
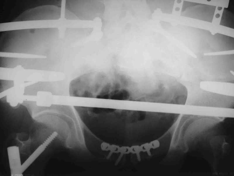
ПЕРЕСМАТРИВАЛ РАЗНЫЕ СНИМКИ И НАШЕЛ НА ЭТУ ТЕМУ ФОРУМА СНИМОК. БОЛЬНОЙ БЫЛ ПРООПЕРИРОВАН НА ПРАВОЕ БЕДРО ПОСЛЕ ЧЕГО СДЕЛАН ТАЗ В ЦЕЛОМ. ВОТ ЧТО НАШЛОСЬ.

КАКОЕ ВАШЕ МНЕНИЕ О ТАКТИКЕ.
ДУМАЮ ПРОШЛО ОКОЛО 10 ДНЕЙ.
|
[
Ответить ]
|
Re: разрыв лонного сочленения
Отправитель: Александр Ангельский 07 Ноябрь 2007, 01:11
|
Проводились исследования с помощью КТ в Ленинске-Кузнецком (Кузбасс) у всех больных с разрывом лонного сочленения определялось разрыв крестцово-подвздошного сочленения, дату статей не помню, где-то лет 5 назад, печатались в сборнике по политравме ежегодно проводящейся всероссийской конференции в этом же городе, поднимите сборники, найдете. Поэтому Рунков абсолютно прав, хотя я много слышал высказываний, что это не так, но огульных, повторите эти наблюдения с КТ и я думаю сами убедитесь. Это кстати может являться показанием к переходу на погружной накостный остеосинтез в случае предлагаемым Мироновым. С уважением Александр Ангельский
|
[
Ответить ]
|
Re: разрыв лонного сочленения
Отправитель: Андрей Миронов 08 Ноябрь 2007, 19:05
|
спасибо всем коллегам за активное обсуждение данного случая, комментарии и советы.
Рункову А.В.: Алексей Владимирович, как можно с вами связаться лично(по поводу обучения по остеосинтезу таза)?. Да, совсем забыл, вам большой привет от Сафронова В. Г.
|
[
Ответить ]
|
Re: разрыв лонного сочленения
Отправитель: Рунков А.В. 12 Ноябрь 2007, 14:11
|
Rounkov@e1.ru
|
[
Ответить ]
|
Re: разрыв лонного сочленения
Отправитель: Рунков А.В. 12 Ноябрь 2007, 14:13
|
Да и конечно обратно еще больший привет!!!
|
[
Ответить ]
|
Re: разрыв лонного сочленения
Отправитель: Maxim Agalakov 01 Ноябрь 2007, 22:06
|
"Как отдифференцировать тип В от С типа ? Просто у Мюллера говорится , что критерием вертикальной нестабильности считается смещение гемипельвися кзади на 1 см и более, отрыв поперечного отростка L5 и клинические пробы (я понимаю ,что под ЭОПом ? ) . А если расхождение более 2,5 см , то это говорит о разрыве крестцово-остистой и крестцово-бугорной связок, но не о вертикальной нестабильности . Может я неправильно понял ?"
-полный разрыв задних структур не обязательно сопровождается вертикальным смещением (во всяком случае не в ближайшее время). В этом смысле полезна классификация Burgess AR, Young JW, 1990, там выделяется класс повреждений APC III - полный разрыв задних структур без значительного вертикального смещения.
на мой взгляд, если возникает вопрос: полностью или неполностью разорваны задние структуры, то надо их стабилизировать.
В вашем случае при таком диастазе надежнее будет зафиксировать задние и передние отделы(сзади -винты, спереди -пластина).
С уважением , Максим Агалаков
|
[
Ответить ]
|
|
Re: разрыв лонного сочленения
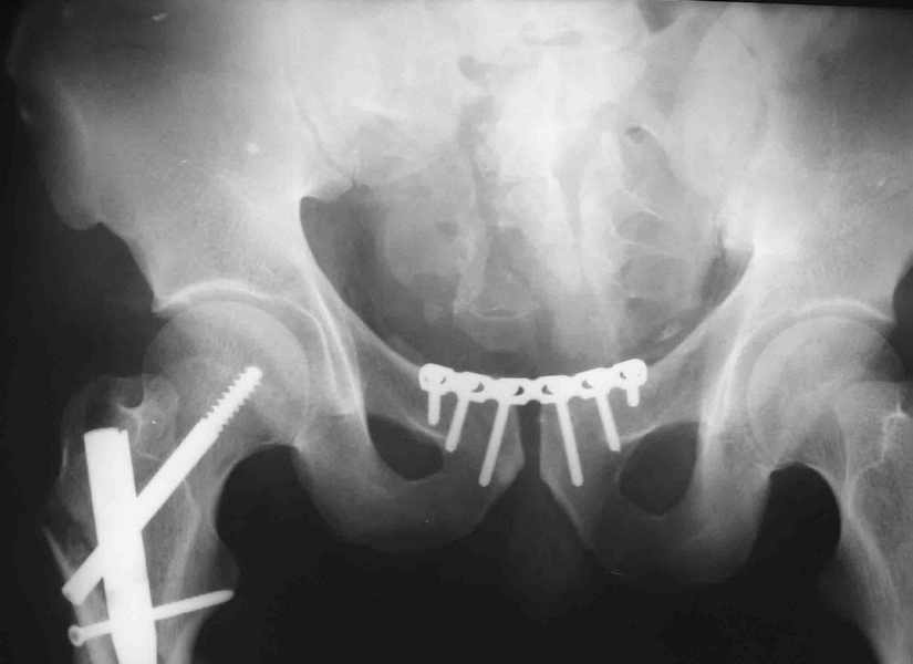
Алексей Смирнов 24 Ноябрь 2007, 22:57
|
Вот вариант решения похожей ситуации
Алексей Смирнов,
Нижний Новгород
|
[
Ответить ]
|
( Ответить )
|
|