Ответить
|
Re: Остеобластокластома?
Michael Markushevich 05 Ноябрь 2007, 23:23
|
Good day collegue! I am not thing that this Giant cell tumor. In the first isn't typical location. GCT most common in the epiphysis of long bones and 50% of this tumor about the knee.Osteoblastoclastoma actualy this GCT in child.
In this case I'd like to do staging: bone scan and CT.After that biopsy for to get diagnosis.
May be this metastatic lesion.
With regards Michael.
|
[
Ответить ]
|
Re: Остеобластокластома?
Александр Жужнев 06 Ноябрь 2007, 01:49
|
Доброго времени суток уважаемый Алексей!
На моей родине,в Астрахани, более 40 лет занимаются вопросами костной онкологии-основное направление кафедры.В таких случаях имеет резон обязательно верифицировать диагноз морфологически,а в дальнейшем опредяляться с тактикой.У нас лечение опухолей осуществляется комбинированным методом(хирургическое лечение + криообработка жидким азотом),(проф.Демичев Н.П. зав.каф.-основоположник криохирургического метода лечения в СССР)+ дальнейшая аллопластика(при необходимости).Результаты лечения -хорошие.Если интересна методика криообработки,могу выложить на сайте,или дать ссылку на литературные источники.
С уважением Александр
|
[
Ответить ]
|
Re: Остеобластокластома?
Отправитель: Djoldas Kuldjanov, M.D. 06 Ноябрь 2007, 22:34
|
Уважаемый Александр.
На вашей родине, в Астрахани на кафедре Демичева работал др. Жилин Владимир, интересуюсь где он?
Буду признателен за любую информацию. Спасибо.
|
[
Ответить ]
|
Re: Остеобластокластома?
Отправитель: Александр Жужнев 07 Ноябрь 2007, 21:38
|
Глубокоуважаемый Djoldas!К сожалению,лично с доктором Жилиным В.П. не знаком,на кафедре его не застал.Сам уже 4 года не живу в Астрахани,но связи с Alma mater поддерживаю.При первой возможности узнаю у проф.Демичева Н.П.,сообщу на ваш электронный адрес.
С уважением Александр
|
[
Ответить ]
|
Re: Остеобластокластома?
Отправитель: Kudinow Konstantin 06 Ноябрь 2007, 23:24
|
Уважаемый Александр!
Вы писали:
> Доброго времени суток уважаемый Алексей!
> На моей родине,в Астрахани, более 40 лет занимаются вопросами костной
> онкологии - основное направление кафедры.
Так вот, костными опухолями весьма интересуюсь. Интересует любая инфа по этому вопросу. Еще вопрос: где можно поучиться достойно по специальности "онкоортопедия", по Вашему мнению? С уважением, Константин.
|
[
Ответить ]
|
|
Re: Остеобластокластома?
Александр Жужнев 06 Ноябрь 2007, 01:55
|
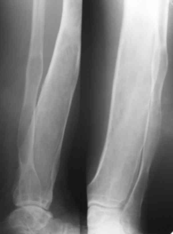
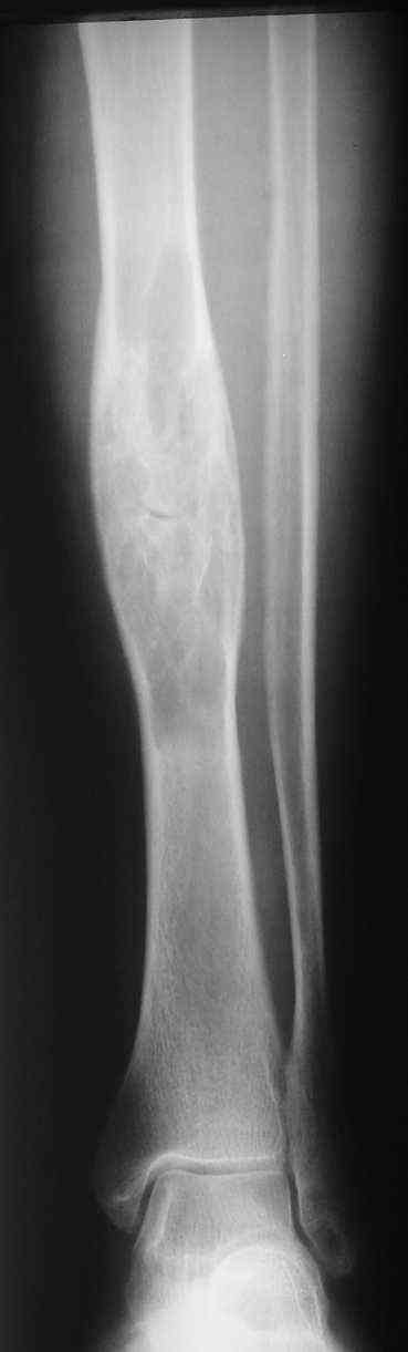
И в догонку,что-то не удалось открыть прямую проекцию снимка,и вопрос- что больная заметила-то,клиника какая?
|
[
Ответить ]
|
Re: Остеобластокластома?
Odessky Jacob M.D. 06 Ноябрь 2007, 01:57
|
Уважаемый Алексей! Это образоавние возможно фиброзная дисплазия.
В любом случае резецировать не надо, пока не будет поставлен гистологический диагноз.
В плане обследования:
1. Скенирование костей
2. КТ
3. ЯМР
4. Биопсия
С уважением!
|
[
Ответить ]
|
фиброзная дисплазия,полиосальная форма
Отправитель: Жанна 01 Декабрь 2010, 12:32
|
Хотелось узнать прогнозы и лечение болезни/мед.литературу по этому вопросу я уже читала,но мнение врача важно,тем более развитие медицины происходит,возможно будут какие то метдоы отягивающие прогрессирование болезни/.Сыну 15 лет,в 7 лет при травме была выявлена патология.Диагноз фиброзная дисплазоя поилиоссарная форма.Больше всего страдает левая часть бедра,2 закрытых перелома,последний был со смещением ходили в аппарате Илизарова,сейчас произошла микротрещина на снимке она не видна,боли прошли,применяли обезболивающее,сейчас пьем кальцитонини и препараты улучшающие кровообращение в бедре. Так же изменения есть в правом бедре и предплечьях.Меня волнуют дальнейшие последствия и возможность диформации скелета. Ведь скоро мы закончим школу и нужно будет учиться дальше и я боюсь что паталогические переломы не дадут нам получить хорошое образование.На сегоднешний день если новые методы лечения данной патологиив нашей стране или за рубежом?
|
[
Ответить ]
|
|
Re: Остеобластокластома?
Алексей Баженов 06 Ноябрь 2007, 13:48
|
Спасибо за помощь, уважаемый Александр. Буду благодарен за ссылки на литературу. Прямую проекцию выложу. А клиника: веретенообразное утолщение в средней трети голени, безболезненное, не беспокоит. В течение длительного времени ударялась об острый угол дивана этим местом. Три месяца назад заметила вот это самое утолщение на голени, говорит, что с тех пор не увеличилось. С уважением. Алексей.
|
[
Ответить ]
|
Re: Остеобластокластома?
Отправитель: Александр Жужнев 07 Ноябрь 2007, 22:23
|
Здравствуйте уважаемый Алексей!Относительно вашего предварительного диагноза- присоединяюсь к мнению коллег(локализация для гигантоклеточной опухоли не характерна,нет боли,а для гигантоклеточ.опухоли-это главный клинический симптом.Действительно, похоже на болезнь Брайцева,хотя основная масса наблюдений встречается в возрасте до 20 лет.)
Очень хорошо костная онкопатология описана в известном руководстве С.Т.Зацепина "Костная патология взрослых",издат-во "Медицина"2001,также рекомендую "Криохирургия опухолей костей нижних конечностей" Демичев Н.П., Горбатенко А.И.2006г
издат-во "АКРА" Ростов на Дону.
С уважением Алекандр
|
[
Ответить ]
|
|
Re: Остеобластокластома?
Viktor Kost 06 Ноябрь 2007, 22:11
|
Уважаемый коллега!
Я поддерживаю мнение доктора Odessky Jacob, что это образоавние возможно фиброзная дисплазия. Случай из моей практики - смотри рентгенснимки во вложении. Правда у моего пациента -полиосальная форма и болезнь проявилась в раннем детстве.

|
[
Ответить ]
|
Re: Остеобластокластома?
Баженов Алексей 06 Ноябрь 2007, 22:57
|
Доброго времени суток,уважаемые коллеги.Спасибо за помощь всем, кто откликнулся. Общий алгоритм понятен. Вот прямая проекция, извините за несвоевременность. С уважением, Алексей.
|
[
Ответить ]
|
Re: Остеобластокластома?
Зельский Илья Александрович 13 Ноябрь 2007, 09:44
|
На гигантоклеточную опухоль совсем не похоже (локализация должна быть в эпиметафизе.
По представленным снимкам наиболее вероятен диагноз "фиброзная дисплазия".
С уважением, Зельский И.А., рентгенолог, УНИИТО
|
[
Ответить ]
|
Re: Остеобластокластома?
Анатолий 14 Ноябрь 2007, 20:41
|
Уважаемый Алексей! Эту пациентку необходимо обследовать на гиперпаратиреоидную остеодистрофию ( как минимум б\х крови + УЗИ щитовидной железы, как максимум- радиоизотопное исследование + уровень Паратгормона).
С уважением, Анатолий.
|
[
Ответить ]
|
Re: Остеобластокластома?
Мазуренко Андрей 15 Ноябрь 2007, 00:51
|
Не похоже на остеокластому. Биопсия ответит на все вопросы.
Как говорят у нас на кафедре (астрахань), Жилин живёт в Литве.
|
[
Ответить ]
|
Re: Остеобластокластома?
Alexander Сhelnokov 22 Март 2008, 19:30
|
Продолжение истории см. здесь
|
[
Ответить ]
|
Re: Остеобластокластома?
Юрий 14 Март 2009, 13:53
|
Уважаемый Алексей.
Вы уверены, что речь идет именно об остеокластоме?
Первоначально нужна трепанбиопсия, чтобы не пропустить другие проблемы, такие как паратиреоидная остеодистрофия, которая также дает очаги в этой области. кроме того и в литературе и на своем опыте могу сказать, что она может рентгенологически имитировать остеокластому. об этом есть работы (JDJS). у нас была пациентка, которая была оперирована 4 раза по поводу остеокластомы разной локализации, но к нам поступила с очагом в б\б кости (примерно как у вашей пациентки). результат трепанбиопсии был остеокластома. и только после операции установлена остеодистрофия. после исследования уровня гормонов обнаружено повышение значительное паратгормона и т.д. после удаления пораженных паращитовидных желез все нормализовалось.
я так много написал, потому что без гистологической верификации лучше не тащить больную в операционную
|
[
Ответить ]
|
( Ответить )
|