AOTRAUMA.ORG Центр Илизарова  

Ортопедия и травматология Общие вопросы/General questions Help Информационные технологии в медицине
 ВХОД ДЛЯ ПАЦИЕНТОВ
 вверх
 поиск
 админ
 главная
 исходное


Re: Гексаподы - первый опыт?
послал Alexey Semenisty 12 Ноябрь 2007, 03:39
Мы начали применять ГЕКСАПОД для достижения репозиции в аппарате Илизарова в мае этого года. Действительно метод замечательный, и на мой взгляд, превращает процесс лечения в аппарате из ремесла в высокотехнологичный метод. Безусловно участие в Гамбургском воркшопе оказалось полезным
особенно для тех, кто в дальнейшем приобрел и стал применять ГЕКСАПОД в клинике. Есть смысл ехать на воркшоп только, если видите перспективу приобретения гексапода с програмным обеспечением и применения метода у себя в клинике. Без самого гексапода с программой эти знания будет некуда
применить.

Ниже привожу наш первый опыт.
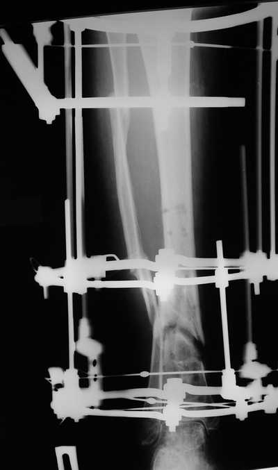
Женщина 46 лет, неудачно лечившаяся по поводу перелома голени в нижней 1\3 сначала в гипсе, поступила через 6 месяцев после остеосинтеза пластиной (рис 1). Имелась деформация в нижней 1\3 голени: варус, антекурвация, наружная ротация, два свища. Удалена пластина, дебридмент мягких тканей,
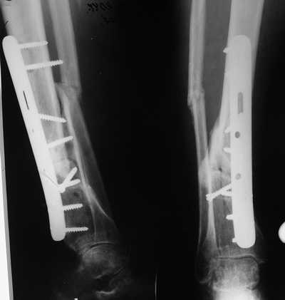
остеотомия м\б кости, аппарат Илизарова. По рентгенограммам в двух проекциях произведено планирование устранения смещений (рис 2 и 3), между вторым и третьим кольцом установлены 6 телескопических дистракторов Гесапода, данные введены в программу, и далее втечение 10 дней больная подкручивала телескопы согласно выданной компьютером инструкции. По завершению репозиции гексаподные телескопы обратно заменены на обычные штанги от аппарата Илизарова (рис 4 и 5). Еще через две недели забит гвоздь (рис 6, контроль
через 4 месяца).



С уважением, А.Семенистый.
ГКБ N 13, Москва.

Послать ответ

Имя
Email
Уведомление Сообщить мне по e-mail об ответах на это сообщение
Название
Комментарий
(Проверьте URL! Не забудьте написать http://!)
Кодировка
Если не знаете, что выбрать, выберите "Просто текст"!
Приложение
Можно приложить к сообщению файл c изображением, который затем будет доступен увидевшим сообщение.
Подготовка иллюстраций:
  • Рентгенограммы: черно-белые полутоновые изображения в формате JPEG (8 bit, greyscale) с разрешением от 300х200 до 1024х768 пикселов;
  • Клинические фотографии: полноцветные изображения в формате JPEG (24 bit, truecolor) с разрешением от 300х200 до 1024х768 пикселов;
  • Схемы и рисунки: черно-белые (2 bit) штриховые (line-art) изображения в формате GIF или compressed TIFF
  • Подберите степень сжатия файла JPEG и размер изображения таким образом, чтобы необходимые детали были различимы, но размер файла не превышал 75 кб.
  • Учтите, что текущая версия программного обеспечения Форума позволяет приложить к одному сообщению лишь один файл-вложение. Поэтому, если необходимо отправить несколько изображений, можно либо послать каждое как отдельное сообщение, либо в графическом редакторе объединить изображения в одно (сделать коллаж).
  • Если при подготовке изображений встречаются трудности, не стесняйтесь обратиться к координатору Форума.

  • Введите видимые символы в обратном порядке. Enter the above characters in reverse order (*Обязательно)
    В тексте сообщения можно использовать теги HTML <B> <I> <P> <A> <LI> <OL> <UL> <EM> <BR> <TT> <HR> <STRONG> <BLOCKQUOTE> <DIV .*> <DIV> <P .*>
  • Обратите внимание: Поля с жирными названиями обязательны.
  • Старайтесь отвечать в рамках обсуждаемой темы, а не начинать новые обсуждения.
  • Указывайте адекватную тему сообщения, чтобы было ясно, о чем оно.
  • Не послайте сообщений не по теме (оффтопик), раздраженных, грубых или обидных комментариев. Здесь это неуместно.
  • Powered by Zope  Squishdot Powered MedLink
    Посетитель: 0109321
      "По форме правильно, а по существу - издевательство" В.И.Ленин
    ©2001-2019Orthoforum Coordinator.
    [ Главная | Отправить сообщение | Поиск | Админ ]