ВХОД ДЛЯ ПАЦИЕНТОВ
вверх
поиск
админ
главная
исходное
последующие
|
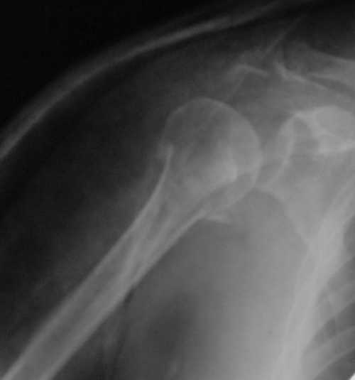
Re: Оскольчатый перелом шейки, головки плечевой ко
послал Sergey Melashenko 29 Ноябрь 2007, 08:09
|
> Будьте любезны представить рентгенснимки после репозиции.
> Odessky Jacob M.D.
Снимки на 1-е сутки после репозиции и на 8- сутки после репозиции.
Пожалуйста

С ув. Sergey A. Melashenko, г. Запорожье
|
Послать ответ |
Обратите внимание: Поля с жирными названиями обязательны.
Старайтесь отвечать в рамках обсуждаемой темы, а не начинать новые обсуждения.
Указывайте адекватную тему сообщения, чтобы было ясно, о чем оно.
Не послайте сообщений не по теме (оффтопик), раздраженных, грубых или обидных комментариев. Здесь это неуместно.
|