ВХОД ДЛЯ ПАЦИЕНТОВ
вверх
поиск
админ
главная
исходное
последующие
|
Re: Оскольчатый перелом шейки, головки плечевой ко
послал Djoldas Kuldjanov 30 Ноябрь 2007, 23:21
|
На 20-е сутки снял гипс, одел фиксирующюю
ортопедическую повязку. Вот контроль. Как видно, стояние хорошее, уже формируется костный мозоль.
Думаю еще недели 3 продолжать фиксацию.
Сергей, отличный результат, поздравляю.
Консервативный метод лечения применяем, когда имеющиеся особые кондиции больного не позволяет идти в операционную, может быть из-за общего состояния, или от причин, связанных с нежеланием оперативного лечения.
Изолированные переломы также являются одним из
показаний к проведению консервативного лечения, когда нет необходимости опоры на конечность.
Консервативное лечение проводим более активно, без
гипса, на брейсе, восстановление движений в суставе начинаем с двух с половиной недель маятниковыми упражнениями конечности, затем переходим на круговые с увеличением амплитуды. По мере успеха небольшие абдукции на плече в три с половиной недели, под обязательным рентгенологическим контролем.
-Головка плеча в небольшом варусе или это
проекционное?
Да, там имеем небольшой варус, надеемся, что в будущем проблемы не будет.
Из-за большого обьема конечности доступ к бугорку был затруднен, предварительно зафиксированный шуруп не удержал бугорок, поэтому фиксацию провели толстыми нитками. Состоятельность фиксации бугорка обычно проверяем во время операции, под рентген контролем проводится движения конечности, особенно приведение.
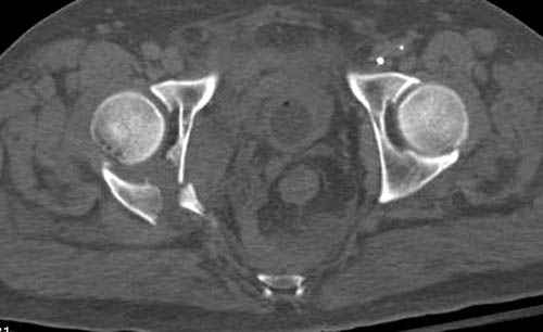
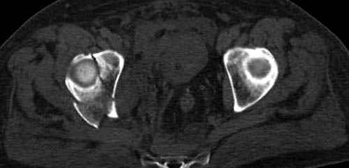
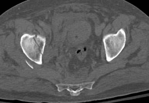
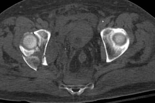
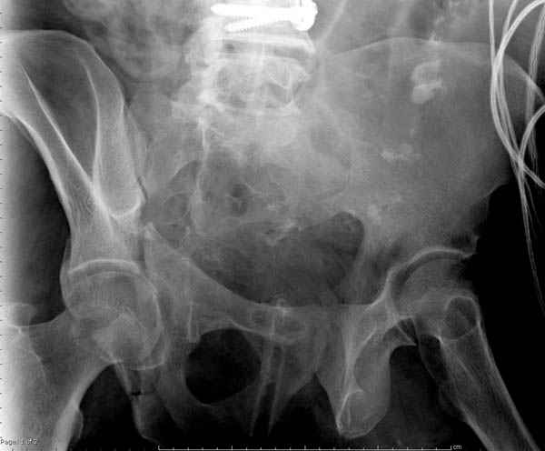
По возможности вышлите снимки, сканы таза до
реконструкции, интраоперационные.
По снимку создается впечатление о высоком поперечном переломе, задней колонны, стенки; почему не пользовались *magic screw*?
Положение больного на животе или на боку?
Не хотелось отклонятся от основной темы, поэтому здесь краткие ответы..
Латеральное положение облегчает проведение тракции через вертел, за 5 мм стержень за вертел (грузом через тракционное приспособление), на обычном рентгенопрозрачном операционном столе, а для положения на животе, наверное, Judet Table более приемлем, потому что там имеется латеральное тракционное устроиство.
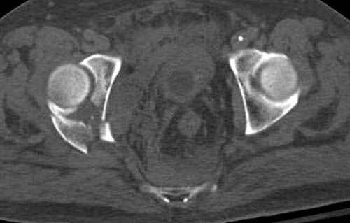
Там множество обычных 2.7 мм шурупов, потом идет фиксация основными пластинами.
Кава фильтр при переломах таза - это протокол или только для пациентов с политравмой?
Профилактику DVT и установку кава фильтер применям
почти у всех со множественными травмами, особенно тем, кто потенциально должны находится длительно без активного движения, тем более тем, кто страдает избытком веса.
В нашем протоколе в день операции делаем допплеровскую проверку сосудов, и в координации с сосудистыми хирургами установку фильтра до начала нашей операции, современные фильтры временные, можно удалить через несколько месяцев.
Полную нагрузку разрешаем в 12 недели, хотя движения в суставе с первых дней.
Снимки здесь....



Djoldas Kuldjanov, MD
Department of Orthopedic Surgery
St. Louis University Medical Center
|
Послать ответ |
Обратите внимание: Поля с жирными названиями обязательны.
Старайтесь отвечать в рамках обсуждаемой темы, а не начинать новые обсуждения.
Указывайте адекватную тему сообщения, чтобы было ясно, о чем оно.
Не послайте сообщений не по теме (оффтопик), раздраженных, грубых или обидных комментариев. Здесь это неуместно.
|