ВХОД ДЛЯ ПАЦИЕНТОВ
вверх
поиск
админ
главная
исходное
|
Re: Оскольчатый перелом шейки, головки плечевой ко
послал Djoldas Kuldjanov 28 Ноябрь 2007, 23:49
|
С удовольствием выслушал ваши предложения но все равно сделал по-своему.
Под проводниковой анестезией произвел попытку закрытой репозиции на 10-е сутки, вроде бы неплохо получилось.
Сармиенто доказал, что не только проксимальные переломы плеча, но и переломы длинных костей можно с успехом лечить консервативно. Но, кроме сопоставления перелома, немаловажным фактором является удержание перелома до сращения.
Было бы интересно посмотреть на результат "успешной репозиции" дней через 10?
Фрагменты головки настолько малы, и думаю тоже
расколоты - куда совать металл?
"В зависимости от того, какой металл и имплант, современные импланты дают возможности удержания фрагментов головки".
Наличие рентген контроля (ЭОП) помогает во время
репозиции и фиксации, но многие коллеги умудряются без рентгена фиксировать несколькими спицами перкутанно.
Из-за тенденции миграции осторожно со спицами,
особенно у пожилых, слабые кости не выдерживают
нагрузку, были случаи миграции, обнаруженные при первом же амбулаторном приеме, поэтому методика Лазарева напряженными спицами более приемлема, особенно у тех, кто испытывает нехватку фиксирующих конструкций (на сайте
имеется описание техники).
Наш недавний случай перкутанной фиксации "методом
Сиэтла" спицами 2.8 мм с резьбой на конце.

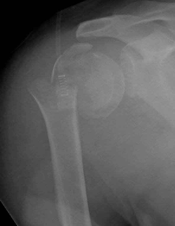
Второй случай, для лечения перелома проксимального
плеча применили пластину "Hand Innovation"
http://www.handinnovations.com/pdf/S3_technique.pdf

Пластина имеет преимущества перед другими "Locking
Implants", потому что пластину можно уложить намного ниже чем другие пластины и имеется возможности проведения шурупов под 130 градусным углом, таким образом можно уменьшить операционный разрез в проксимальной части.
Прооперирован вчера на 13 день после поступления.
Больному 41 и из-за гемодинамической нестабильности в течение первых 7 дней был в реанимации под интубационной седацией.
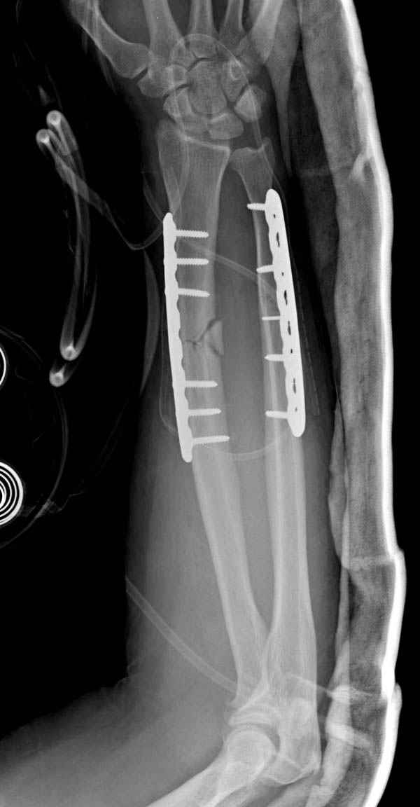
Кроме перелома плеча у больного старый дистракционный перелом T12-L1 оперированный когда-то и кем-то, открытый перелом костей предплечья, который был прооперирован в ночь поступления, после I&D (хирургической обработки). Из-за разрыва селезенки при поступлении травма хирургами произведено удаление.
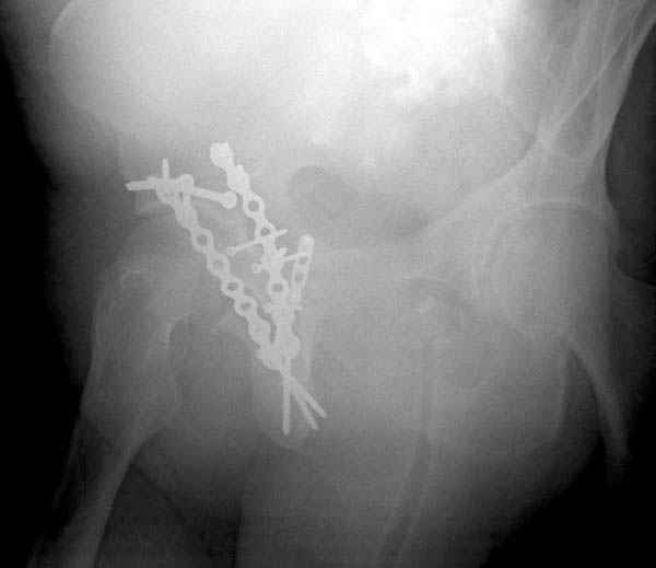
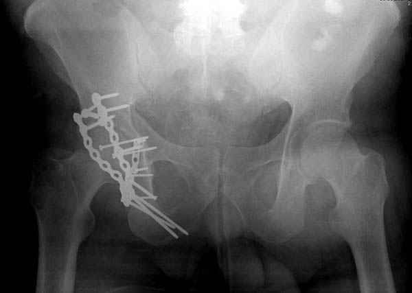
Дополнительно имеется перелом ацетабулума: задняя
колонна с полупоперечным переломом, и переломы костей лица.
На седьмой день зафиксирован перелом ацетабулума через задний доступ. Перед операцией для профилактики DVT, IVC фильтер, также получает Lovenox.
После операции на ацетабулум был экстубирован, сегодня опять же интубирован, из-за невменяемости и казуса, проявления "вампирства" - опустошил посуду с кровью от дренажа.
Извиняюсь за качества снимков, обычный больной в 300 фунтов, портативным ренген аппаратом не пробить.
Djoldas Kuldjanov, MD
Department of Orthopedic Surgery
St. Louis University Medical Center
|
Послать ответ |
Обратите внимание: Поля с жирными названиями обязательны.
Старайтесь отвечать в рамках обсуждаемой темы, а не начинать новые обсуждения.
Указывайте адекватную тему сообщения, чтобы было ясно, о чем оно.
Не послайте сообщений не по теме (оффтопик), раздраженных, грубых или обидных комментариев. Здесь это неуместно.
|