Ответить
|
Re: Локтевой отросток
Евгений Толстихин 14 Ноябрь 2007, 20:17
|
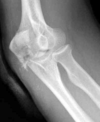
Уважаемый Владимир! Судя по представленному снимку перелом многооскольчатый, но снимок сделан в транспортной иммобилизации видимо при поступлении. Необходимы снимки в стандартных проекциях, чтобы можно было, что-нибудь посоветовать. При данном переломе главное попытаться восстоновить суставную поверхность локтевой кости, поэтому я бы посоветовал идти стандартным путем, разрез Z- образный, крупные отломки фиксировать спицами и если получится стягивающей проволочной петлей, под которую уложить мелкие отломки. Своего мнения не навязываю.
|
[
Ответить ]
|
Re: Локтевой отросток
Шарафиев Руслан 14 Ноябрь 2007, 21:05
|
Вова привет! Снимки покажи для начала!!!
|
[
Ответить ]
|
Re: Локтевой отросток
Отправитель: Владимир Бахарев 15 Ноябрь 2007, 09:48
|
Руслан рад услышать тебя!
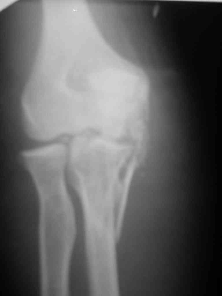
Снимки вот еще какие есть (наши лаборанты пытались сделать что то)

|
[
Ответить ]
|
|
Re: Локтевой отросток
Michael Markushevich 14 Ноябрь 2007, 22:08
|
Good day dears colleagues! You presentated only one x-ray proection - lateral- of elbow.Accorden this I thing that this isn't avulsion fracture of olecranon,as usually can to see.This is Monteggia like fracture with subluxation of radial head.If
you can show AP x-ray or more more better CT elbow
I will more sure.Any way more imported of all normal long of ulna.So my recomendation ORIF proximal ulna by LCP - allow normal long by bridging, without attention to continues cortex but attention to articular surfase. On operation examen of radial head,becouse my sence isn't without damage.Operation by standart approach.
Good lack! With regards
Michael Markushevich .
|
[
Ответить ]
|
Re: Локтевой отросток
дмитрий бондарь 14 Ноябрь 2007, 22:20
|
Приветствую , Владимир ! У меня был подобный пациент , правда там степень разрушений была поменьше . Обошёлся реконструкционной платой . В Вашем случае основная задача - восстановить суставную поверхность локтевой кости и конгруэнтность сустава ,а также устранить подвывих головки луча (кпереди?)Попробуйте "собрать" на спицах суставную поверхность , затем суставной блок фиксируем к диафизу . Тут , мне кажется , не обойтись без LCP . Пустоты заполнить губчатой костью . Возможно , (повторяю , возможно , хоть и не хочется ) прийдётся виполнить трансартикулярную фиксацию головки луча . Либо , наложить аппарат внешней фиксации для разгрузки сустава и возможных ранних движений.
С уважением Д.Б.
|
[
Ответить ]
|
Re: Локтевой отросток
Лединников Игорь 14 Ноябрь 2007, 23:30
|
Снимок, действительно, "не очень". Но глядя на него почему-то возникает очень сильное ощущение, что там и венечный отросток сломан тоже. Что ситуацию здорово усложняет. Причём перелом венечного "III типа" - очень крупный фрагмент, отломанный под самое его основание. А это (без фиксации) уже грозит задней, а возможно - и фронтальной (вальгусной/варусной) нестабильностью.
Голосую за то, чтобы
1. Повторить снимки в проекциях, максимально приближённых к стандартным. Обязательно _без_иммобилизации_.
2. Если венечный действительно сломан, никаких Weber'ов я бы не советовал, фиксация возможна только пластиной (при всей технической сложности для этого перелома). Однозначно предпочтительна LCP (поскольу в сам отросток винты удастся ввести только монокортикально). Разрез я бы предпочёл задний, огибающий локтевой отросток с медиальной стороны. А досупов к кости через этот кожный разрез придётся сделать два: один - по тылу - к локтевому отроску. Второй - к венечному - я бы предпочёл делать с остеотомией медиального надмыщелка плеча. Почитать про него (с картинками) можно здесь: http://www.maitrise-orthop.com/corpusmaitri/orthopaedic/arthrocoude_actu/arthrolyse_us.shtml
Но рассуждать, всё же, лучше с нормальными снимками перед глазами. А так - скорее получается гадание.
С уважением
Лединников Игорь.
|
[
Ответить ]
|
Re: Локтевой отросток
Alexey Semenisty 15 Ноябрь 2007, 09:14
|
> Здравствуйте коллеги!
> Поступил больной с Диагнозом:Закрытый оскольчатый перелом локтевого
> отростка слева.
>
Это не перелом локтевого отростка! Безусловно сломан венечный отросток и, может оказаться, что и головка луча. Сложный перелом! Доступ задний, фиксация пластиной (LCP) и стягивающими винтами. Только не по Веберу! Положение больного на животе. ЭОП.
Зайдите сюда:
С уважением, А.Семенистый.
ГКБ № 13, Москва.
|
[
Ответить ]
|
Re: Локтевой отросток
Отправитель: Ласунский Сергей 15 Ноябрь 2007, 21:26
|
Мне кажется , что венечный отросток не сломан, есть смещение диафиза локтевой кости в ладонную сторону. вследствии оскольсатого перелома. Хорошо бы сделать КТ . Принципиально считаю что фиксация по Веберу 2 спицами и проволокой оптимальный ватиант. Сложно надеяться , что пластина LSP обеспечит такую же стабильность так ка в локтевом отростке по сути дела цела только околосуставная часть.
|
[
Ответить ]
|
Re: Локтевой отросток
Отправитель: Лединников Игорь 16 Ноябрь 2007, 00:00
|
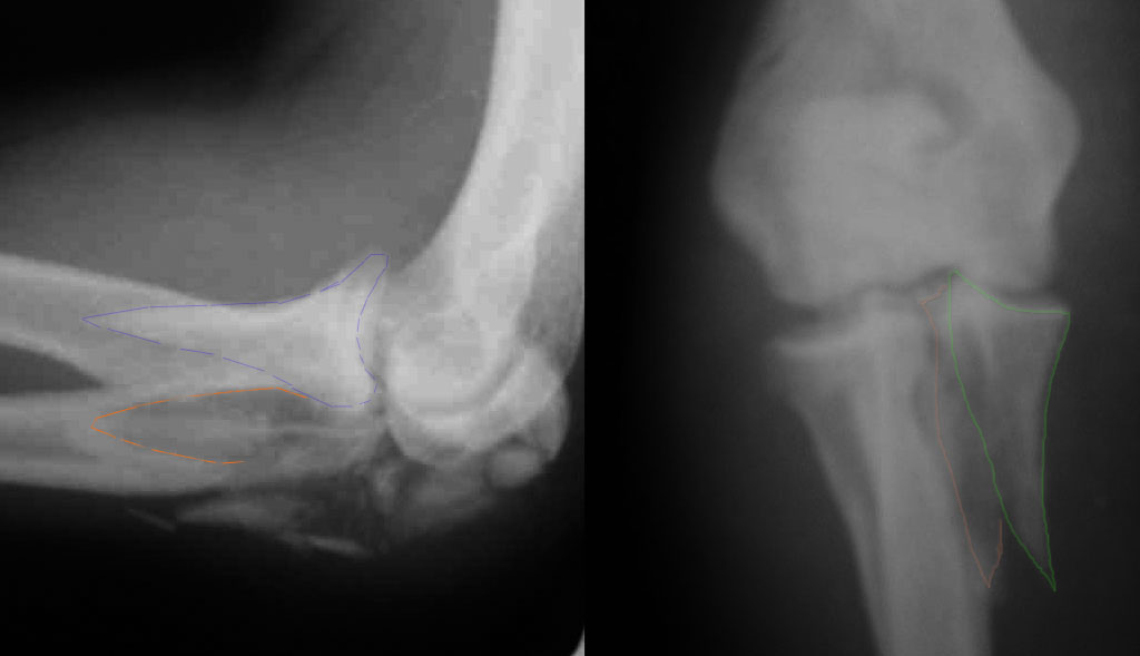
При самом большом к Вам уважении, Сергей Анатольевич, не соглашусь. У меня, после того, как добавили "прямой" снимок, сомнений не осталось. Венечный сломан наверняка. Но чтобы судить, насколько это критично для стабильности, нужно иметь строго боковую проекцию. И при этом помнить, что на него крепятся медиальные связки.

Прикрепляю снимок, где обведен фрагмент, несущий на себе венечный отросток (весь он смещён с этим фрагментом или частично - без качественной боковой проекции судить сложно), и отдельно на снимке обведено "ложе", от которого он сместился.
Почему я в данном случае против Вебера (хотя обычно горячий сторонник)? Да потому, что спицам нередко не хватает жёсткости, чтобы удержать предплечье от волярного подвывиха. При таком оскольчатом переломе спицы порой просто "прогибаются" за счёт одного только натяжения проволочной петли и головка луча может уйти в волярный подвывих (может, конечно, и не уйти). Но я бы предпочёл фиксировать всё к жёсткой пластине (включая фрагмент с венечным отростком) и, по возможности, исключить послеоперационную внешнюю иммобилизацию. Накладывать на такой локоть после операции гипс -- означает обрекать его на тяжёлую контрактуру.
Головка луча, кстати, на мой взгляд цела.
С искренним уважением
Лединников Игорь.
|
[
Ответить ]
|
Re: Локтевой отросток
Отправитель: Alexey Semenisty 16 Ноябрь 2007, 00:22
|
Мне кажется , что венечный отросток не сломан,
Сергей, перекреститесь! (см приложение)

. Принципиально считаю что фиксация по Веберу 2
спицами и проволокой оптимальный вариант.
Для отрывного перелома - да. Здесь механизм травмы совсем другой: прямая травма
так ка в локтевом отростке
по сути дела цела только околосуставная часть.
Как минимум два фрагмента, включающих суставную поверхность, и много (т.е. более двух) околосуставных осколков метафиза
С уважением, А.Семенистый.
ГКБ № 13, Москва.
|
[
Ответить ]
|
|
Re: Локтевой отросток
Василий Парий, Киев. 16 Ноябрь 2007, 12:08
|
Уважаемый Владимир!
1. Доступ обычный, задний. Кожа должна быть чистая.
2 Остеосинтез пластиной, с обязательной костной аутопластикой после восстановления суставной поверхности. Одной пластины может не хватить и понадобятся длинные минивинты и спицы Киршнера. После операции - иммобилизация до 2-х недель, затем разработка локтевого сустава.
Не могу понять, что твориться с головкой лучевой кости? Если есть перелом, то один из вариантов - остеосинтез "т"-образной минипластиной и винтами, если таковые есть.
Желаю успехов!
|
[
Ответить ]
|
Re: Локтевой отросток
Dmitri Bondar 16 Ноябрь 2007, 22:53
|
О Вебере в данном случае не может быть и речи , поскольку фиксация стягиванием предполагает наличие опоры на неповреждённую косточку , чего тут нет совсем ! только пластинка , и очень хотелось бы посмотреть снимки после операции , даже если получится и не очень хорошо . Очень уж сложный перелом .
С уважением Д.Б.
|
[
Ответить ]
|
Re: Локтевой отросток
Отправитель: Владимир Бахарев 17 Ноябрь 2007, 19:42
|
Повторюсь,так как с таким переломом встретились в первый раз (как то в нашем отделении не принято ставит эксперименты на больных)то мы его отправили на консультацию в наш славный УНИИТО,после чего больной благополучно пропал.
Александр Николаевич please если попадется к Вам покажите и расскажите поподробней о нем!
|
[
Ответить ]
|
Re: Локтевой отросток
Отправитель: А.П.Ким 23 Ноябрь 2007, 18:09
|
В начале недели видел снимок (больного -нет). Конечно, венечный отросток сломан. Сложности возникают из-за небольших размеров верхушки локтевого отростка и первичного дефекта. Не везде имеются специальные пластины. Мы обходимся обычной трубчатой пластиной + проволочная петля. Снимки, похожие, выложу позднее (необходимо отредактировать).
|
[
Ответить ]
|
|
Re: Локтевой отросток
Виктор 20 Ноябрь 2007, 21:41
|
НАЧНУ С ТОГО ЧТО НАДО СДЕЛАТЬ КАЧЕСТВЕННЫЕ СНИМКИ В ТРЕХ ПРОЕКЦИЯХ
ДУМАЮ ВЕНЕЧНЫЙ ОТРОСТОК НАВЕРНЯКА ТАМ ПОЛОМАН
ЛОКТЕВОЙ ПОЛНЕЙШАЯ КАША.
МНЕНИЕ
НАДО ПОДОЖДАТЬ 2 НЕДЕЛИ ПУСТЬ НЕКОТОРЫЕ МАЛЕНЬКИЕ ФРАГМЕНТЫ СКЛЕЯТЬСЯ МЕЖДУ СОБОЙ А ПОТОМ ЗАДНИМ ДОСТУПОМ ФИКСИРОВАТЬ СПИЦАМИ ЧТО МОЖНО, И ПЕРЕДНЕ БОКОВЫМ ДОСТУПОМ ПОЙТИ НА ВЕНЕЧНЫЙ ОТРОСТОК.
ВСЕ ЭТО ДЕЛАТЬ ТОЛЬКО ПОСЛЕ КАЧЕСТВЕННЫХ СНИМКОВ В ТРЕХ ПРОЕКЦИЯХ
|
[
Ответить ]
|
Re: Локтевой отросток
Отправитель: Alexey Semenisty 21 Ноябрь 2007, 00:24
|
МНЕНИЕ
НАДО ПОДОЖДАТЬ 2 НЕДЕЛИ ПУСТЬ НЕКОТОРЫЕ МАЛЕНЬКИЕ ФРАГМЕНТЫ СКЛЕЯТЬСЯ
Почему надо ждать именно две недели, а не 10 дней или 3,5 недели? А может за 4,2 недели еще лучше "склеятся"?
ВСЕ ЭТО ДЕЛАТЬ ТОЛЬКО ПОСЛЕ КАЧЕСТВЕННЫХ СНИМКОВ В ТРЕХ ПРОЕКЦИЯХ
А почему не в 4-х или 5-ти?
С уважением, А.Семенистый.
ГКБ № 13, Москва.
|
[
Ответить ]
|
Re: Локтевой отросток
Отправитель: Виктор 21 Ноябрь 2007, 01:02
|
)))))))))))))))))))))
1 ПОТОМУ ЧТО БОЛЬШИЕ УЛАМКИ МОЖНА СПИЦАМИ ФИКСИРОВАТЬ А МАЛЕНЬКИЕ ЕСЛИ
СКЛЕЯТЬСЯ ТО ЛЕГЧЕ БУДЕТ СИНТЕЗИРОВАТЬ К БОЛЬШИМ
2 РЕНТГЕН ДЛЯ ТОГО ЧТО Б
ТОЧНО УСТАНОВИТЬ ПЕРЕЛОМ ВЕНЕЧНОГО ОТРОСТКА А НЕ ГАДАТЬ.
( ИЗВИНЯЮСЬ ЗА ОШИБКУ НЕ 3 ПРОЕКЦИИ А 2 )
|
[
Ответить ]
|
|
Re: Локтевой отросток
Djoldas Kuldjanov 21 Ноябрь 2007, 00:13
|
При лечении переломов локтевого отростка положение
больного на операционном столе подсказывается наличием дополнительных переломов, например при переломах таза или ацетабулум предпочтительное положение на спине.
При отсутствии других переломов мы предпочитаем
положение больного на боку, рука на подставке, согнутая в локтевом суставе. Удобно для операторов и легко для рентгенологического контроля.
Предпочитаем обычный стандартный задний доступ, разрез кожи от кончика локтевого отростка на длину
применяемого импланта.
Для доступа к венечному отростку, при наличии перелома локтевого отростка не обязательно проведение дополнительной остеотомии медиального надмышелка.
Сссылка
http://www.maitrise-orthop.com/corpusmaitri/orthopaedic/arthrocoude_actu/arthrolyse_us.shtml
.
Обычный стандартный доступ позволяет провести полную ревизию сустава, через фрагменты отломков открывается доступ к венечному отростку и имеется возможность репозиции с окончательной фиксацией. В книге “AO Principles of Fracture Management” описаны методика и варианты фиксации.
Для фиксации перелома локтевого отростка на сегодня множество преконтурных с блокирующими возможностями пластин.
Стабильную фиксацию, особенно при оскольчатых
переломах, можно добиться, применяя технику Bridge Plate, и за счет тех пластин, где имеется возможность проведения множественных шурупов (2.7 мм) проксимально.
Предложенные реконструктивные пластины в 3.5 мм
идеальны для фиксации при отрывном или флексионном
переломе, когда имеется большой фрагмент.
Техника Weber или Tension Wire Technique, все нансы описаны на лекции James Goulet на сайте Basic Fracture Course http://www.hwbf.org/ota/bfc/goulet/exp.htm
из-за многооскольчатости неприемлемы для данного
случая.
Несмотря на дешевизну, всего две спицы и проволока, создается хорошая компрессия, но имеются множественные случаи ранней миграции спиц.
Здесь выставлены несколько случаев и варианты фиксации локтевого отростка, некоторые в комбинации с другими переломами.
1 вариант применен ACUMED локинг пластина
2 вариант
перелом локтевого отростка с переломом головки лучевой кости (использованы 2 мм шурупы)

3 вариант
перелом с capitelum humerus и проксимальной трети улна

Djoldas Kuldjanov, MD
Department of Orthopedic Surgery
St. Louis University Medical Center
|
[
Ответить ]
|
Re: Локтевой отросток
Александр 08 Май 2008, 17:59
|
Товарищи врачи!
Я хоть и поздно с просьбой но всё-таки.
У меня в 5кл был перелом со смещение,
а потом на 2ом курсе в 2003 снова перелом в томже месте. После того как я походил с гипсом прошёл месяц и случилось такое... У меня , незнаю как сказать, стал выпадать локоть, и потом я его вровлял обратно. Врачи точно не могли мне сказать
что делать. Вот так всё и осталось к сожилению.
Можеть вы что-то подскажите. Снимков у меня сейчас нету, но принцип в том что у меня (как в фильме смертельное оружие) выскакиваеть из сустава
кость. Что делать, если ещё возможно чо-то сделать
|
[
Ответить ]
|
( Ответить )
|
|