вверх
отправить
поиск
админ
главная
|
The patient with genu recurvatum |
 |
 |
 |
Отправлено Руслан Салимов 23 Ноябрь 2007, 00:16
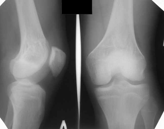
Больной Н., мужчина 18 лет с укорочением бедра и рекурвацией коленного сустава. Из анамнеза: огнестрельное сквозное пулевое ранение бедра 9 лет назад в н/3 левого бедра. Раны зажили без гнойных осложнений. Жалобы на укорочение левой нижней конечности и нестабильность в коленном суставе. При обследовании выявляется рекурвация коленного сустава. Абсолютное укорочение порядка 5см, стоя 8 см (за счет рекурвации). Имеется умеренный компенсаторный сколиоз. С передне-наружной стороны располагается рубец от входного отверстия, с задне-медиальной стороны от выходного. Можно предположить повреждение при травме зоны роста бедренной кости и задне-внутренних стабилизирующих структур коленного сустава. Предлагается обсудить тактику лечения: начать с удлинения бедра или со стабилизации коленного сустава, а также - на каком уровне производить удлинение бедра.A male 18 years old with shortened femur.Trauma 9 ears ago: gunshot wound with bullet of the left knee. It Is Reeked have healed without festering complications. The patient have shorter femur and recurvatum instability of knee joint. Absolute shortening is 5 cm, at standing up 8 cm (genu recurvatum). The input scar is situated on the antero-lateral side and output scar is on the postero-medial side. It is possible to expect damage by trauma of the growing zone of the femur and back-internal stabilizing structures of the knee joint. We discuss the treatment options: to begin with lengthening of the femur or preferably with stabilizations of the knee joint. What is the optimal level to produce the lengthening of the femur in this case.
<
|
>
|
|