вверх
отправить
поиск
админ
главная
Предыдущее
|
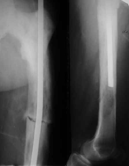
Re: перелом бедра на фоне болезни Педжета
Виноградский Александр 08 Декабрь 2007, 22:38
|
Бывали ли кого-нибудь такие случаи, чем это все заканчивалось?

Пациент 82 лет, поступил через 5 мес. с несросшимся переломом после открытого интрамедуллярного остеосинтеза. Выполнили реостеосинтез стержнем 12 мм. ( мах. доступного нам в 2003 г.) Через 4 мес динамизация. В течении 2х лет сращения нет, тем не менее конечность опорна (ходит с тростью). От очередного реостеосинтеза отказались из-за сопутств. патологии.
PS: случай конечно не аналогичный, учитывая первичный открытый остеосинтез.
|
|
|