вверх
отправить
поиск
админ
главная
|
И опять остеомиелит голени... |
 |
 |
 |
Отправлено дмитрий бондарь 11 Декабрь 2007, 23:11
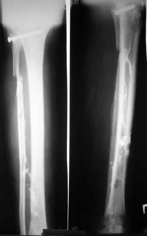
Доброго времени суток, коллеги! Сегодня поступил больной с остеомиелитом голени, 29 лет. Травма - январь 2007 года, <Открытый перелом малоберцевой кости,с повреждением малоберцевого нерва>. Первичных снимков нет. лечился в одной из районных больниц xUSSR. Обратился ко мне в сентябре 2007 года, сжалобами на наличие свищей,неопорность конечности.Был направлен после выполнения фистулографии (см. фото) в областной центр по лечению остеомиелита. Там была выполнено 2 операции: резекция малоберцевой кости, и повторный дебридмент. Последнее вмешательство около месяца назад. Послеоперационные снимки на фото. В течении месяца получал перевязки, и иньекции Бициллина- 5.Выписки больной не предоставил, вся информация с его слов. Опять же с его слов были рекомендованы перевязки с раствором димексида. На момент поступления раны и свищи хорошо видно на картинке, в дне раны кость жёлтого цвета, из раны гнойное отделяемое, с прямо таки неприятным запахом. (посев возьму завтра, но скорее всего там будет синегнойная, MRSA ). Стопа в эквинусе, активных движений нет, конечность неопорна. В связи с тем, что больной лечился в вышестоящей больнице, прошу скорректировать план лечения. Мой план: выполнить полноценный дебридмент, лаваж, <бусы>, рану зашить с дренажами по Редону. При выявлении поражения большеберцевой кости более 2\3 диаметра сегментарная резекция с последующим замещением дефекта по Илизарову. Активная ЛФК для голеностопа.
Вопросы: 1.стоит ли назначать системно антибиотики? 2.Подскажите,как технически правильно изготовить <бусы> (как изготовить форму ?Нужна ли она? Какой размер <бусин>? какую использовать нитку? Нитку оставлять снаружи или спрятать под кожу? Какой цемент лучше использовать? 3.стоит ли делать ревизию нерва? (я думаю, что нет) С уважением Д.Б.
<
|
>
|
|
Ответить
|
Re: И опять остеомиелит голени...
Alexey Semenisty 16 Декабрь 2007, 11:50
|
1.стоит ли назначать системно антибиотики?
стоит, во время операции и после.
2.Подскажите,как технически правильно изготовить <бусы> (как изготовить
форму ?Нужна ли она?
Необязательно
Какой размер <бусин>?
размером от рисового зерна до горошины
какую использовать нитку?
прочную, нерассасывающуюся, монофиламентную
Нитку оставлять снаружи или спрятать под кожу?
мы прячем под кожу, через две-три недели из сантиметрового доступа удаляем бусы
Какой цемент лучше
использовать?
для ручного изготовления бус лучше стандартной или высокой вязкости. с гентамицином или без, думаю, не принципиально, все равно будете мешать с тем, что подходит по чувствительности, описанная Вами флора к гентамицину устойчива
3.стоит ли делать ревизию нерва? (я думаю, что нет)
точно не сейчас
С уважением, А.Семенистый.
ГКБ № 13, Москва.
|
[
Ответить ]
|
Re: И опять остеомиелит голени...
Никита Заднепровский 16 Декабрь 2007, 12:51
|
Я полагал ответят мэтры :))) Тоже сталкивался с такой ситуацией, где-то есть ответ на этот вопрос, отвечали Челноков, Семенистый и Кулджанов.
Можно попробовать поиск с гуглом по форуму. Но попробую ответить тоже.
db> Вопросы:
db>1.стоит ли назначать системно антибиотики?
Не вижу целесообразности, так как процесс отграничен локально. Хотя трудно советовать не видя ситуацию на месте.
db>2.Подскажите,как технически правильно изготовить <бусы> (как изготовить форму ?
За правильность не берусь, но сам готовил примерно так. Упаковку "CMW 1 original gentamicin" (DePuy 40 g) высыпал в стерильный металлический лоток,
туда же 2 грамма ванкомицина. Все размешал шпателем. Затем влил ампулу пластификатора (идет вместе с цементом). Тщательно размешал. Реакция
получается экзотермическая с выделением тепла.
db>Нужна ли она? Какой размер <бусин>?
Для малых полостей удобно изготовить бусины 4-5 мм, для больших готовим до 1 см. Один формирует бусину, помощник крепит их к нити.
Прямо "врезает" их наполовину диаметра и обжимает вокруг нити. При слишком большой адгезии смеси, перчатки можно смочить физ. раствором, но мне это не пригодилось. Смесь в зависимости от марки затвердевает с различной скоростью. Мы укладывались за 5-7 минут.
db>какую использовать нитку? Нитку оставлять снаружи или спрятать под кожу?
В наших краях самая толстая, это "пятерка" капрон. Вот ее и используем.
Конец нити с 1 или 2 бусинами оставляем снаружи. На другом конце, тот что остается в ране, стоит сделать двойной узел, для того чтобы бусы не слетели при удалении. В полость вместе с бусами устанавливаем активный дренаж по Редону через отдельную контраппертуру, так как костное кровотечение имеет место быть при дебридменте.
db> Какой цемент лучше использовать?
Да тьма их ... можно с антибиотиком, можно без. Все равно свой добавлять будете. (Судя по результатам посева и чувствительности).
С уважением, Заднепровский Никита Николаевич
|
[
Ответить ]
|
Re: И опять остеомиелит голени...
Alexander Chelnokov 16 Декабрь 2007, 13:45
|
Действительно, как вообще сделать спейсер на форуме есть. И Никита еще раз рассказал, и некто Dmitry Bondar в прошлом году спрашивал про это, и
получил подробный ответ.
Конкретно по этому случаю достаточного впечатления не сложилось. Похоже, есть и внутриканальное распространение, так что, наверно, тут надо не
только бусы, или вообще не бусы, а в трубке силиконовой сделать с металлическим сердечником из тонкого стержня или 2-3 спиц.
Системные антибиотики есть смысл дать после радикальной операции на
2-3-4 нед. Насчет нерва вопрос на сегодня не актуален.
|
[
Ответить ]
|
Re: И опять остеомиелит голени...
Отправитель: дмитрий бондарь 16 Декабрь 2007, 23:58
|
Александр Николаевич , как сделать спейсер вообще,какие и сколько антибиотики , это и спрашивал ,и читал ,и переводил , меня то детали и нюансы всякие интересуют , а то как замешаю , а оно или не застынет , или наоборот слишком быстро схватится :)) ! вот и выясняю детали .
С уважением Д.Б.
|
[
Ответить ]
|
|
Re: И опять остеомиелит голени...
Nikita Zadneprovsky 16 Декабрь 2007, 14:12
|
Думаю
это то, что Вам надо.
"The use of antibiotic-containing bead chains in the treatment of chronic bone infections." K.Klemm Clinical Microbiology and Infection, Volum 7, January 2001. PDF, 1,6Mb.
|
[
Ответить ]
|
Re: И опять остеомиелит голени...
дмитрий бондарь 16 Декабрь 2007, 23:59
|
Спасибо за статью ,Никита ! Прочитал с удовольствием .
С уважением Д.Б.
|
[
Ответить ]
|
( Ответить )
|
|