AOTRAUMA.ORG Центр Илизарова  

Ортопедия и травматология Общие вопросы/General questions Help Информационные технологии в медицине
 вверх
 отправить
 поиск
 админ
 главная
 Предыдущее


Re: Перелом лодыжек
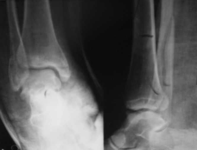
Sergey Melasenko 19 Декабрь 2007, 01:37
Вот рентгенконтроль на 7-е сутки после репозиции.




  • Сообщения о Ортопедия и травматология
  • Также Sergey Melasenko
  • Связаться с автором
  • Ответить

    Re: Перелом лодыжек
    Владимир Максименко 22 Декабрь 2007, 03:10
    Серега, привет! А что наш ув.доцент А.П.М. говорит по этому поводу. И вообще, я не знал, что ты лечишь 3-хлодыжечные задними лонгетами, - нас с тобой учили это делать циркулярными гипсовыми повязками. Все равно, удачи! На контроле, почему-то, все заманчиво хорошо. Не спеши делать выводы


    [ Ответить ]


    ( Ответить )

    Powered by Zope  Squishdot Powered MedLink
    Посетитель: 0070691
      "По форме правильно, а по существу - издевательство" В.И.Ленин
    ©2001-2019Orthoforum Coordinator.
    [ Главная | Отправить сообщение | Поиск | Админ ]