AOTRAUMA.ORG Центр Илизарова  

Ортопедия и травматология Общие вопросы/General questions Help Информационные технологии в медицине
 вверх
 отправить
 поиск
 админ
 главная


Лечение пролежней
Ортопедия и травматология Отправлено Тарасов Сергей 09 Январь 2008, 21:42
Уважаемые коллеги! Хотелось бы узнать, какой тактики Вы бы придерживались в данном случае.
Пациентка 17 лет. В 5-летнем возрасте получила кататравму - осложнённый перелом позвоночника с повреждением спинного мозга в грудном отделе, нижняя параплегия с нарушением функции тазовых органов. Поступила к нам в отделение в сентябре 2007 по поводу патологического перелома левого бедра на фоне хронического остеомиелита бедра. Лечение стержневым аппаратом АВФ, достигнута консолидация. За время лечения развились массивные пролежни крестца и правого бедра с переходом в остеомиелит в/3 правого бедра, сепсис. Выполнено вскрытие гнойника, некрэктомия. Рана велась открыто. В дальнейшем - повторные некрэктомии, дермотензия.
На настоящий момент общее состояние стабильное. Рана очистилась, гранулирует. Собираемся закрывать дефект. Интересуют следующие вопросы: выполнить комбинированную пластику, или обойтись только свободными расщеплёнными трансплантатами? (Несвободная кожная пластика к сожалению, недоступна.) Можно ли брать трансплантат на нижних конечностях? Заживёт ли донорская рана и приживётся ли трансплантат в условиях выраженных нейротрофических расстройств?
Заранее спасибо.

<  |  >

 

  • Сообщения о Ортопедия и травматология
  • Также Тарасов Сергей
  • Связаться с автором
  • Ответить

    Re: Лечение пролежней
    Алексей В 10 Январь 2008, 15:25
    Здравствуйте, есть такой препарат куриозин, применяется при трофических нарушениях,1 капля на 1 квадратный сантиметр.
    можно уменьшить раневой дефект а затем повторно поставить вопрос о трансплантации.
    с уважением, Алексей В.


    [ Ответить ]

    • Re: Лечение пролежней
      Отправитель: Тарасов Сергей 10 Январь 2008, 23:12
      Спасибо за ответ!
      Из Вашего коментария я понял, что проводить пластику в данный момент Вы не советуете. Ситуация осложняется тем, что, как я уже указывал, у данной пациентки имеется полное нарушение функции тазовых органов, т.е., всё, что выходит из кишечника, практически сразу же оказывается в ране. Чистых грануляций удалось добиться только через 2 месяца некрэктомий, массивной системной антимикробной терапии и местного лечения. При этом общая площадь раневой поверхности не уменьшилась практически нисколько, т.е ждать спонтанной эпителизации не приходится. На наш взгляд, дальнейшее промедление с пластикой снова приведёт к инфицированию раны полирезистентной флорой со всеми вытекающими отсюда последствиями.
      Понятно, что прогноз всё равно остаётся, мягко говоря,сомнительным. Но опускать руки не хочется. К тому же ребёнок и так брошен родителями и живёт в интернате, и рассчитывать на чью-либо помощь, кроме как нашу, ей не приходится(

      [ Ответить ]
      • Re: Лечение пролежней
        Отправитель: Алексей В 11 Январь 2008, 17:11
        Я думаю, что пока вы будете решать вопрос о выборе методики пластики, стоит продолжить местное лечение, рана "красивая" и имеет хороший прогноз, несмотря на отягощенный анамнез. Стоит присоединить физио лечение, уфо, согласуйте с физиотерапевтом. И еще вопрос, какая флора сеялась с поверхности раны?
        С уважением, Алексей В.


        [ Ответить ]
        • Re: Лечение пролежней
          Отправитель: Тарасов Сергей 12 Январь 2008, 14:46
          И еще вопрос, какая флора сеялась с поверхности раны?

          MRSA, далее микробиологический состав менялся на фоне антибактериальной терапии - высевали полирезистентную P.aeruginosa, Enterobacter spp, Acinetobacter


          [ Ответить ]
    Re: Лечение пролежней
    Дмитрий Кравцов 18 Январь 2008, 19:30
    Уважаемый коллега!
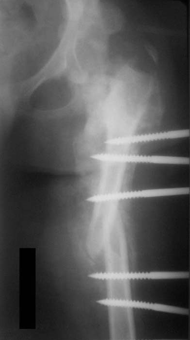
    Хотелось бы увидеть рану с разных ракурсов и рентгенограммы таза и бедра. Тогда можно создать представление о площади и глубине раны.
    С уважением!
    [ Ответить ]

    • Re: Лечение пролежней
      Отправитель: Тарасов Сергей 22 Январь 2008, 01:23
















      К сожалению, на выходных выбило розетки в палате, отключилась противопролежневая система...(
      Двух суток хватило, чтобы на хорошей гранулирующей ране появились продолженные некрозы. Так что теперь вопрос с пластикой отпал, придётся делать очередную некрэктомию((


      [ Ответить ]
      • Re: Лечение пролежней
        Отправитель: Рунков А.В. 26 Январь 2008, 22:13
        К сожалению, на выходных выбило розетки в палате, отключилась противопролежневая система...(
        Двух суток хватило, чтобы на хорошей гранулирующей ране появились продолженные некрозы.


        Можно наложить простейший аппарат таз-бедро и подвесить больного (он с ним и ходить сможет), а потом спокойно перемещать лоскуты.


        [ Ответить ]
        • Re: Лечение пролежней
          Отправитель: Тарасов Сергей 28 Январь 2008, 19:11
          >Можно наложить простейший аппарат таз-бедро и подвесить больного

          Такая мысль тоже приходила. Не решились, так как:1.Выраженный остеопороз костей таза и бедра, больная тучная - высок риск того, что стержни не выдержат. 2.Сейчас больная передвигается в инвалидном кресле - хоть какая-никакая, а динамизация. Если лишить её этой возможности - застойная пневмония со всеми вытекающими...

          >(он с ним и ходить сможет)

          К сожалению, не сможет - у неё давнее повреждение спинного мозга с нижней параплегией

          [ Ответить ]

     

    ( Ответить )

    Powered by Zope  Squishdot Powered MedLink
    Посетитель: 0163466
      "По форме правильно, а по существу - издевательство" В.И.Ленин
    ©2001-2019Orthoforum Coordinator.
    [ Главная | Отправить сообщение | Поиск | Админ ]