AOTRAUMA.ORG Центр Илизарова  

Ортопедия и травматология Общие вопросы/General questions Help Информационные технологии в медицине
 вверх
 отправить
 поиск
 админ
 главная


Падение с высоты,сложные переломы...
Ортопедия и травматология Отправлено Юрий Сиваков 14 Январь 2008, 22:26
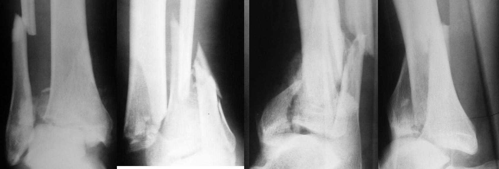
Уважаемые коллеги, прошу вашей консультации по тактике ведения.
Больной 38 лет, поступил в отделение 13.01.2008г. Падение с высоты. Сложные переломы костей обеих голеней. Переломы - закрытые. Наложены гипсовые лонгеты. Какова дальнейшая тактика? Вид оперативного вмешательства?

<  |  >

 

  • Сообщения о Ортопедия и травматология
  • Также Юрий Сиваков
  • Связаться с автором
  • Ответить

    Re: Падение с высоты,сложные переломы...
    Djoldas Kuldjanov, M.D. 15 Январь 2008, 00:49
    "Сложные переломы костей обеих голеней"
    Вариантов лечения переломов "пилона" много, но
    в первичном этапе срочно!, надо наладить вытяжение для устранения подвывихов сустава.

    Можно простым аппаратом наружной фиксации из двух колец или обычным скелетним вытяжением.

    В дальнейшем от состояния суставной поверхности и в зависимости от вашего опыта один из вариантов фиксации. На сайте Ортофорума описаны все виды фиксации переломов "пилон".
    Можно дополнительними кольцами на аппарата Илизарова или при владении методов внутренней фиксации пластина на малоберцовую и основная пластина на медиальную тибиа.
    [ Ответить ]

    Re: Падение с высоты,сложные переломы...
    Сергей Адонин 15 Январь 2008, 01:02
    дело вкуса - вариантов возможна масса. мое мнение

    1) погружной синтез - или до появления отека ( скорее всего, не успеете), или по его спадению - банально, но все же достойно упоминания

    2)limited internal fixation and external fixation
    ( боюсь быть неточным в русских формулировках) - я бы фиксировал обе фибули пластинами; из небольших разрезов отдельными шурупами и спицами собрал бы, насколько возможно, дистальный отделы большеберцовых костей, потом наложил бы стержневые аппараты в нейтральном положении стоп ( на ходшую ногу можно слегка дать дистракцию, лучшую( правый снимок), возможно , удасться стабильно зафиксировать и без аппарата вообще, чисто погружным синтезом)


    если нет возможности провести опрецию сейчас - я бы побоялся держать его в лонгетах - высокий риск развития осложнений со стороны мягких тканей, и перевел бы на двустороннее вытяжение за пяточные кости.

    Мой нынешний consultant предложил бы первичнфй артродез худшего ( снимок слева) голеностопа блокированным гвоздем - врядли у этого сустава хорошие перспективы, первичный артродез может сэкономить больному многие месяцы жизни.
    [ Ответить ]

    Re: Падение с высоты,сложные переломы...
    Андрей 15 Январь 2008, 02:12
    Простите, а вы уверены, что переломы закрытые?
    Глядя на rtg в этом начинаешь сомневаться. И они находятся в лонгетах без репозиции? Да там уже кожи не должно остаться. Такие переломы оперировать желательно сразу при поступлении, в крайнем случае - на 2-й день и в этом случае необходима репозиция со скелетным вытяжением. Вид операции - накостный остеосинтез пластинками, шурупами, как кожа позволит.
    [ Ответить ]

    Re: Падение с высоты,сложные переломы...
    Alexey Semenisty 15 Январь 2008, 11:50
    Уважаемый Юрий!

    Переломы - закрытые. Наложены
    > гипсовые лонгеты. Какова дальнейшая тактика?



    Первейшим образом следует осознать, что иммобилизация гипсовыми лонгетами неэффективна и вредна! Как можно скорее дать дистракцию в аппаратах, что бы уменьшить давление костных отломков изнутри на кожу. Не удивлюсь, если завтра вы рассечете повязки и увидите сплошные фликтены, значит опоздали.


    Вид оперативного
    > вмешательства?



    А чем вы владеете и что доступно в ваших краях?

    С уважением, А.Семенистый.
    ГКБ № 13, Москва.
    [ Ответить ]

    Re: Падение с высоты,сложные переломы...
    Sergey A. Melashenko 15 Январь 2008, 11:53
    > гипсовые лонгеты. Какова дальнейшая тактика? Вид оперативного
    > вмешательства?


    Лонгеты без репозиции? Вы можете получить трофические осложнения. Тогда
    внутренний остеосинтез прийдется отсрочить или отменить, если он вообще показан. Снимайте гипсовые шины, оценивайте состояние кожи. На наш взгяд ВЧКДО метод выбора. или хотя бы на скелетное вытяжение, пока определитесь с лечебной тактикой.

    С ув. Sergey Melashenko, г. Запорожье
    [ Ответить ]

    Re: Падение с высоты,сложные переломы...
    Юрий Сиваков 15 Январь 2008, 13:29
    Уважаемые коллеги! Прошу прощения за неверную информацию о иммобилизации лонгетами.Больному при поступлении было наложено скелетное вытяжение за пяточные кости. Сегодня -контрольный снимок, после чего планируется наложение аппаратов внешней фиксации. Было бы нормой,если бы наши травматологи сами участвовали в обмене мнениями. Я сам -не травматолог, занимаюсь телемедициной и поместил информацию по просьбе травматологов. К сожалению, получился немного "испорченный телефон". Очень надеюсь привлечь наших специалистов непосредственно участвовать в таком хорошем проекте. Еще раз извиняюсь за неточность.
    Большое спасибо всем, так оперативно ответившим.



    [ Ответить ]

    • Re: Падение с высоты,сложные переломы...
      Отправитель: Алексей В 15 Январь 2008, 18:03
      Ждем контрольных снимков

      [ Ответить ]
    • Re: Падение с высоты,сложные переломы...
      Отправитель: Андрей Волна 15 Январь 2008, 23:25
      Алексей семенистый, ещё раз призываю тебя - если учавствуешь в дискуссиях - хотя бы определись с терминами и визави в обсуждениях. А то ты уже весь свой опыт бросаешь на горнило обсуждения, а, травматологи ещё к дискуссии, оказывается, не подключились... Телемедицина прёт, может врачи, может, инженеры. Всем интересно. А Волна, специалист в смс-и WiFi-медицине etc

      [ Ответить ]
      • Re: Падение с высоты,сложные переломы...
        Отправитель: Alexander Chelnokov 16 Январь 2008, 00:13
        В любом случае можно не сомневаться, что сообщения здесь будут прочитаны несколькими сотнями ортопедов травматологов, поскольку обсуждение трудной ситуации полезно и интересно не только автору исходного сообщения. "Определение визави" критично при авторизации в банковской системе.

        Так что отбросим снобизм. Спасибо Алексею (и тебе, Андрей! И всем остальным участникам!) за бросание опыта на горнило без оглядки на личности!

        Ортопеды-травматологи много где еще добираются до профессионально интересных сетевых ресурсов через помогающих им товарищей, более продвинутых в компьютерах. Юрий - хирург, еще и руководитель телемедицинского подразделения больницы. Пестует своих ортопедических коллег, пока в клювике им принося добытую информацию про их трудных пациентов. Когда-нибудь коллеги оперятся, сами будут в сеть выбираться.

        [ Ответить ]
    Re: Падение с высоты,сложные переломы...
    Юрий Сиваков 16 Январь 2008, 11:36
    Уважаемые коллеги! Большое спасибо всем за активное и заинтересованное участие в обсуждении данного случая. Ваш форум - один из немногих неформально действующих проектов, очень представительный и реально помогающий коллегам-специалистам. Спасибо, Александр Николаевич, за добрые слова.Я пытаюсь привлечь своих коллег, не только травматологов к подобной телемедицине, надеюсь, заинтересовал многих из них. К сожалению,"контрольные" рентгенограммы больного не могу представить, т.к. больной был переведен в одно из центральных учреждений почти сразу после размещения данных на сайте. Я об этом,к сожалению, узнал последним. Если кто-нибудь из травматологов, работающих в том учреждении \располагающемся,кстати, в том же мегаполисе,где работают уважаемые Алексей Юрьевич и Андрей Анатольевич\ участвует в работе данного форума, может и поделятся дальнейшей информацией. Еще раз всем спасибо.

    [ Ответить ]


    ( Ответить )

    Powered by Zope  Squishdot Powered MedLink
    Посетитель: 0220188
      "По форме правильно, а по существу - издевательство" В.И.Ленин
    ©2001-2019Orthoforum Coordinator.
    [ Главная | Отправить сообщение | Поиск | Админ ]