вверх
отправить
поиск
админ
главная
|
Политравма у 16 летней девушки |
 |
 |
 |
Отправлено Коваленко А.Н. 15 Январь 2008, 03:51
Уважаемые коллеги! С прошедшеми Вас праздниками. Теперь ближе к трудовым будням. Поступила 16 летняя девушка неделю назад. Механизм травмы падение с 5 этажа. Краткий диагноз:закрытый перелом левой ключицы, левого плеча, закрытый вертикально и ротационно нестабильный перелом костей таза:закрытый перелом левой подвздошной кости, переломы лонной кости справа, перелом обоих колонн вертлужной впадины слева;субкапитальный перелом шейки левой бедренной кости со смещением. По тактике лечения таза возникли следующие вопросы: 1. С чего начать - фиксации переломов вертлужной впадины или устранения деформаций таза? 2. Надо ли фиксировать шейку или фиксировать бедро в аппарате вместе с тазом, а после сращения таза планировать ТЭП ТБС? Если имеются еще какие подводные камни, будем рады выслушать.Спасибо.
<
|
>
|
|
Ответить
|
Re: Политравма у 16 летней девушки
Алексей В 15 Январь 2008, 18:10
|
так таз фиксирован или не фиксирован
|
[
Ответить ]
|
Re: Политравма у 16 летней девушки
Отправитель: Коваленко А.Н. 15 Январь 2008, 19:10
|
Нет, не фиксирован. Скелетное вытяжение.
|
[
Ответить ]
|
Re: Политравма у 16 летней девушки
Отправитель: Алексей В 15 Январь 2008, 20:07
|
где сейчас находится больная
в реанимации или в профильном отделении
|
[
Ответить ]
|
|
Re: Политравма у 16 летней девушки
Е Халиман 15 Январь 2008, 21:12
|
У нас в таких случаях однозначно сделали бы остеосинтез Ш.Б. компрессирующими винтами, затем ЗВО таза, однозначно с дополнительной фиксацией в этом же аппарате бедра с разгрузкой тазобедренного сустава
|
[
Ответить ]
|
Re: Политравма у 16 летней девушки
Djoldas Kuldjanov 16 Январь 2008, 00:28
|
Долгое ожидание повышает риск АВН головки,
рекомендуется ургентная фиксация шейки в первые сутки, а в дальнейшем таз.
В данный момент скелетное вытяжение поучается через перелом шейки, а фиксированный перелом шейки будет участвовать в процессе вытяжения через каннюлированные шурупы.

Мы сейчас наблюдаем больную с похожим состоянием, больной 54, после автоаварии, со множественными
переломами скелета.
Состояние осложнена черепномозговой и абдоминальной травмой, переломы L2-5, челюстно-лицевые переломы и состояние после транспланта почки.
Удаление селезенки при поступлении, была нестабильная, в данное время приходит в сознании, находилась в реанимации, перевели в общую палату.
Перелом шейки смогли зафиксировать через пару дней, ацетабулум до сих пор не оперирован, на вытяжении.
Из-за упущенного времени (три недели с момента
поступления) ацетабулум ведем консервативно.
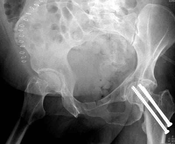
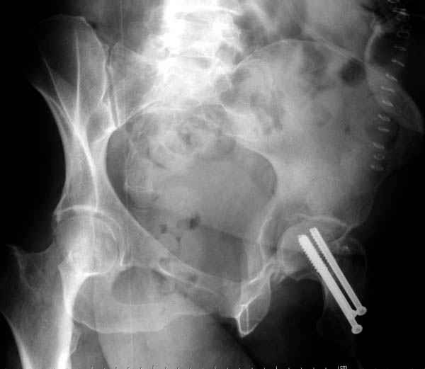
На снимке ацетабулума редко встречающийся очень низкий перелом, наверное, трудно было репозицию через один доступ? Перелом как бы замкнулся в квадрилатеральной поврехности.
Djoldas Kuldjanov, MD
Department of Orthopedic Surgery
St. Louis University Medical Center
|
[
Ответить ]
|
Re: Политравма у 16 летней девушки
Отправитель: Рунков А.В. 21 Январь 2008, 21:31
|
Уважаемый Djoldas Kuldjanov, не совсем понял Вашу тактику: зачем синтезировать шейку и не браться за вертлугу (подумаешь, три недели), когда одно без другого - эндопротез?
Ничего такого особенного в переломе вертлужной впадины не опознал. Транстектальный перелом хорошо репонируется щипцами, установленными через седалищную вырезку.
Почему 3 недели - и Вы не оперируйте впадину?
С уважением РАВ.
|
[
Ответить ]
|
Re: Политравма у 16 летней девушки
Отправитель: Djoldas Kuldjanov 22 Январь 2008, 23:31
|
Нет, и в три недели оперируем, в департаменте нас трое, кто оперерует на ацетабулум. Berton Moed
является нашим руководителем, так что сил хватет, но никак не можем получит o'key от наших хирургов
травматологов.
У нас они являются лечащей службой, состояние больной до сих пор не позволяет.
Если выживет - посмотрим, хотя с самого начала вариант протеза тоже рассматривался.
Фиксацию шейки провели когда получили окно, быстро
перкутанно смогли провести шурупы.
Пока нет надежды, состояние остается
тяжелым, множество ко-морбидности.
|
[
Ответить ]
|
|
Re: Политравма у 16 летней девушки
Рунков А.В. 16 Январь 2008, 16:28
|
Уважаемый Коваленко А.Н., с началом Вас нелегкой трудовой деятельности (как и всех коллег)
По поводу представленного случая:
Т.к. прошло уже более недели, я полагаю больная должна быть уже готова к обширному вмешательству?
В любом случае его лучше не откладывать и сделать все в одну сессию.
В положении на спине подвздошным и надлобковым доступом восстанавливается тазовое кольцо, фиксация пластинами. При хорошей репозиции может улучшиться конгруэнтность в суставе.
Затем, если положение хорошее, закрытый остеосинтез шейки винтами.
Если нет - в положении на боку, синтез задней колонны из наружно-латерального доступа и синтез головки винтами, но уже под визуальным контролем.
Применение аппарата нецелесообразно, т.к. репозиция такого повреждения в аппарате крайне сложна и скорее приведет к удержанию имеющегося неправильного положения, а это надо?

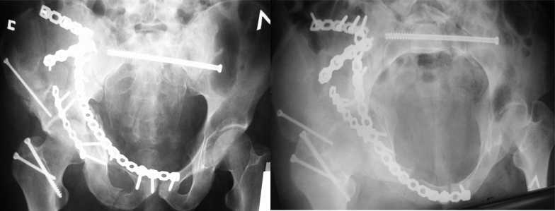
На картинке подобный случай, только без шейки, сделано через месяц или полтора после травмы.
С уважением РАВ
|
[
Ответить ]
|
Re: Политравма у 16 летней девушки
Коваленко А.Н. 19 Январь 2008, 17:47
|
Уважаемый Алексей Владимирович!
Спасибо за содержательный ответ, но такой объем операции мы не осилим. Придется направлять специалистам, профильно занимающимся тазом. Накануне оперции по синтезу шейки пациенку нагнал "second hit": пневмония, температура 38-40. Операция разумеется отложена.
Еще раз спасибо участникам обсуждения.
|
[
Ответить ]
|
Re: Политравма у 16 летней девушки
Отправитель: Рунков А.В. 21 Январь 2008, 21:41
|
Уважаемый Коваленко А.Н. а кто у Вас профильно занимается тазом?
Было бы интересно узнать, а где собственно у нас в России им занимаются и на каком уровне.
Без концентрации этих больных в специализированных областных и прочих центрах большого продвижения никогда не будет.
Может быть, сделать перекличку на форуме.
Ау-у-у, тазисты, Вы где есть?
|
[
Ответить ]
|
|
( Ответить )
|
|