вверх
отправить
поиск
админ
главная
|
Помогите советом - несращение надколенника, перелом тарана |
 |
 |
 |
Отправлено Abdurashid Turaev 16 Январь 2008, 00:29 Областная клиническая больница
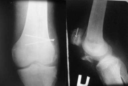
Обратился б-ной С. 1986г.р с застарелыми переломами надколенника и таранной кости, сросшийся переломом обеих локтевых отростков. 25.07.07.г. упал с 6-го этажа. Оперирован в г. Тюмени в гор. б-це 15.08.07.г.:Судя по рентген снимкам остеосинтез обеих локтевых отростков по Веберу, остеосинтез правого надколенника (каким способом не понял ), фиксация гипсовой повязкой правой н/к, гипс снят через 40 дней (со слов б-го.) Обратился в начале декабря, с жалобами на отсутствия активного разгибания в пр. коленном суставе, боли и отечность в обл. пр. г/стоп. сустава и стопы. Больной ходит самостоятельно с палочкой, сильно хромает на правую ногу, гипотрофия квадрицепса, активное разгибание abs, в обл. г/стопного сустава умеренная отечность, актив. и пассив. движения почти в полном объеме, слегка болезненная, при осевой нагрузке боль усиливается, Сделана Р-графия локтевых суставов, пр. коленного и г/стопного суставов. Спицы и проволоки из локтевых отростков удалены. Я больному обещал, что выйду на форум, посоветуемся и вместе решим, что делать. 1. Из -за ретракции м/тканей репозиция отломков надколенника не удается, что делать? 2. Перелом таранной кости- вроде схватка имеется но с кистозными изменениями, может не трогать? Заранее благодарю !!
<
|
>
|
|
Ответить
|
Re: Помогите советом - несращение надколенника, перелом тарана
Abdurashid Turaev 16 Январь 2008, 18:54
|
прилагаю снимки надколенника.
|
[
Ответить ]
|
Re: Помогите советом - несращение надколенника, п
Отправитель: А..П.Ким 17 Январь 2008, 09:22
|
Где снимки надколенника?
|
[
Ответить ]
|
Re: Помогите советом - несращение надколенника, п
Отправитель: А..П.Ким 20 Январь 2008, 10:07
|
Имеем дело с застарелым повреждением разгибательного аппарата и контрактурой коленного сустава. Согласен с д.Джолдасом - лечить как повреждение собственной связки надколенника. Учитывая сроки после травмы, возможно не получиться сопоставить костные фрагменты. Я бы рекомендовал сделать аутопластику собственной связки надколенника ( способ Лазишвили с соавт.)с блокированием проволочной петлей. Способ очень эффективен при многооскольчатых переломах надколенника,либо аллотендопластику собственной связки ( в ваших условиях можно использовать лавсановую ленту).После восстановления собственной связки возможно придется переместить головки квадрицепса либо произвести некоторые элементы миофасциотенотомии (Решается на операционном столе)
Удачи.
|
[
Ответить ]
|
|
Re: Помогите советом - несращение надколенника, перелом тарана
katsevman haim 16 Январь 2008, 21:10
|
po moemu na snimke viden avascul necrosis of talar bone . lechit v cootvetstvii .
|
[
Ответить ]
|
Re: Помогите советом - несращение надколенника, п
Alexander Rykov 17 Январь 2008, 10:25
|
Надо "трогать". Подтаранный артродез очень показан и синтез перелома так же.
А Рыков Хабаровск.
|
[
Ответить ]
|
Re: Помогите советом - несращение надколенника, перелом тарана
Adonin Sergiy 17 Январь 2008, 11:05
|
не согласен с последним оратором :)
показание к подтаранному артродезу ( как и к артродезу голеностопа) только одно - сильнейшая боль в стопе. Артродез - дело стремное, и больному надо четко объяснить, что то, что делается - это последняя мера, позволяющая избежать ампутации, и что следующая операция после артродеза стопы, если он будет неудачным - ампутация. так что , на мой взгляд , правильная тактика по поводу тарана - объяснить больному всю правду по поводу стопы и предложить приходить на операцию, когда боль в стопе не позволит ему ходить даже с палочкой.
То, что надо оперировать надколенник - всем понятно, вопрос - как?
могу предложить 2 варианта ( теоретически, своего опыта нет)
1 если опытный хирург, готовый на большую операцию, норимальное физиотерапевтическое отделение и умный больной - мобилизация квадрицепса и одномоментная репозиция и фиксация надколенника
в противном случае - небольшой аппарат Илизарова на голень, спицу на полукольце через надколенник и дозированно низводить надколенник. когда низведете - погружной остеосинтез.
И последнее. дистальный отдел надколенника небольшой, наверняка будет крайне остеопоротичный, так что стабильно надколенник Вы не синтезируете. Поэтому надо обязательно при синтезе првести проволочную петлю над верхним полюсом надколенника и через бугристость большеберцовой кости 0 разгрузить место синтеза. Впрочем, это банальность и Вы наверняка без меня знаете
|
[
Ответить ]
|
Re: Помогите советом - несращение надколенника, п
Отправитель: Djoldas Kuldjanov, M.D. 19 Январь 2008, 02:00
|
"мобилизация квадрицепса и одномоментная репозиция и фиксация надколенника в противном случае - небольшой аппарат Илизарова на голень, спицу на полукольце через надколенник и дозированно низводить надколенник. когда низведете - погружной остеосинтез"
Только однажды пришлось применить технику низведения надколенника аппаратом Илизарова после двухстореннего застарелого (более 8 месяцев) повреждения связки надколенника. Через надколенник две паралельные спицы, низвели надколенник за короткое время и вторично провели пластику собственной связки надколенника.
Для восстановления данного перелома, перед началом
операции, под наркозом сделал бы редрессациию
коленного сустава. Уверен, что надколенник
опустится, но низведенный надколенник трудно удержать и добиться фиксации фрагментов из-за малых размеров.
Вместо фиксации перелома предпочтительно вести как
разрыв места прикрепления сухожилия в нижнем полюсе.
Такие повреждения фиксируются немного легче, чем
переломы надколенника.
Сначало надо освежить нижний полюс и удалить остаточные кости с образованием культи связки. Без удаления кости в дальнейшем будут болезненные проявления из-за несросшихся фрагментов.
Швы проведенные через параллельные туннели в
надколеннике, три или четыре N5 Ethibond, механически удержат до сращения.
Без необходимости сложной пластики, технику широко
применяем также для лечения разрывов quadrips связки.
Швы с двойной иглой в концах начинаем из дистальной части связки, подобие завязывания шнурков.
Проксимально выводим в середине связки, далее нити проводятся через предварительно сделанные паралельные туннели (2.5 мм сверлом), завязываются на верхнем участке надколенника в разгибании. Количество туннели зависит от количества швов, на одно больше, крайние одиночные, а серединные можно пропустить по две нитки сразу.
На снимке восстановление разрыва quad связки, только швы завязывается внизу надколенника, и примерный рисунок техники.
Кстати, Абдурашид скоро буду в Ташкенте могу прихватить Ethibond.
Djoldas Kuldjanov, MD
Department of Orthopedic Surgery
St. Louis University Medical Center
|
[
Ответить ]
|
|
Re: Помогите советом - несращение надколенника, перелом тарана
Alexander Zolotov 20 Январь 2008, 12:39
|
Уважаемый Абдурашид,
В приложении фото пациента с переломом надколенника 3 месячной давности. После мобилизации отломков, 4 главой мышцы бедра и полного разгибания голени оставался диастаз между костными фрагментами в 2 см. В связи с этим наложили модуль из аппарата Илизарова - 2 опоры и 2 спицы (в верхнем полюсе надколенника и верхней трети большеберцовой кости). Очень медленно (в течение 15 минут) путем накручивания гаек на стержнях растянули 4 главую мышцу бедра и устранили диастаз. Аппарат демонтировали и выполнили остеосинтез <стягивающей петлей>. Через 6 месяцев фиксаторы удалены. Автор данного <хирургического трюка> профессор из Австрии Vilmos Vecsei (<Гений ортопедии>, 2004, № 4, С. 94-95). Ваш случай не совсем идентичный по давности травмы и малой величине дистального отломка, но описанный <трюк> может оказаться полезным и при выполнении операции, которую рекомендует Джолдас.
С уважением, А. Золотов.
|
[
Ответить ]
|
Re: Помогите советом - несращение надколенника, перелом тарана
Ольга Андреевна 21 Январь 2008, 02:18
|
Уважаемый Абдурашид!Что касается перелома таранной кости - нет возможности сделать КТ?С чем связана хромота?По-видимому,пациента в первую очередь беспокоит боль при ходьбе,видимо,придется делать артродез.
Что же касается перелома надколенника -учитывая сроки -стоит ли пытаться его сохранить?Можно сделать пателлэктомию с восстановлением разгибательного аппарата(например,из сухожилия четырехглавой мышцы),но понадобится и мобилизация ЧГМ,наверное -и редрессация коленного сустава.
С уважением.О.А.
|
[
Ответить ]
|
Re: Помогите советом - несращение надколенника, перелом тарана
Отправитель: Abdurashid Turaev 22 Январь 2008, 23:38
|
Многоуважаемые коллеги! Всем огромное спасибо! По поводу восстановления разгибательного аппарата все понял, наглядно, красиво, и просто. Для артродеза г/с, я думаю больной должен созреть, а пока можно наверное что-то попитаться делать, типа туннелизации , или спонгиозными винтами, или.........?
Больной ждет нашего решения, и пока
не решается на операцию!
С уважением Абдурашид.
|
[
Ответить ]
|
|
( Ответить )
|
|