AOTRAUMA.ORG Центр Илизарова  

Ортопедия и травматология Общие вопросы/General questions Help Информационные технологии в медицине
 ВХОД ДЛЯ ПАЦИЕНТОВ
 вверх
 поиск
 админ
 главная
 исходное


Re: Перелом проксимального конца бедренной кости с
послал Pavel Ivanov 17 Февраль 2008, 00:48
Уважаемы коллеги, здравствуйте.

Дорогие Джолдас Кулджанов и Артур Керимов, спасибо вам за помощь. Извините, что отвечаю с задержкой. Артур, пожалуйста, передай привет и низкий поклон всем врачам-травматологам госпиталя имени Н.Н. Бурденко.



















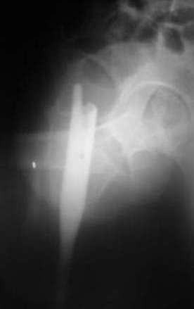
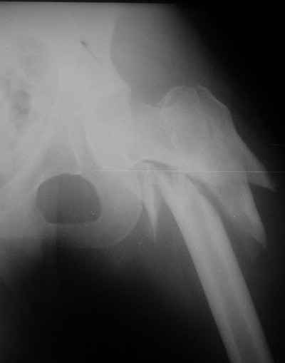
Мы закончили репозицию отломков бедренной кости в аппарате (рис. 1, 2) у нашей пациентки и на прошлой неделе сделали ей вторую операцию. Штифт удалось ввести закрыто. Верхний шеечный винт держался очень плохо, поэтому мы его убрали и решили не ставить. Нижний держал очень плотно. Рентгенограммы после операции прилагаю (рис. 3,4). Пока не получилось сделать нормальный аксиальный снимок (больная с трудом сгибает и отводит ногу в тазобедренном суставе). Пока сделали боковую проекцию в положении на здоровом боку со сгибанием здоровой ноги.

От нас и от нашей пациентки всем спасибо за участие в обсуждении.


-- Best regards, Pavel Ivanov Sklifosovsky Clinical and Research Institute for Emergency Medicine Polytrauma Department
Послать ответ

Имя
Email
Уведомление Сообщить мне по e-mail об ответах на это сообщение
Название
Комментарий
(Проверьте URL! Не забудьте написать http://!)
Кодировка
Если не знаете, что выбрать, выберите "Просто текст"!
Приложение
Можно приложить к сообщению файл c изображением, который затем будет доступен увидевшим сообщение.
Подготовка иллюстраций:
  • Рентгенограммы: черно-белые полутоновые изображения в формате JPEG (8 bit, greyscale) с разрешением от 300х200 до 1024х768 пикселов;
  • Клинические фотографии: полноцветные изображения в формате JPEG (24 bit, truecolor) с разрешением от 300х200 до 1024х768 пикселов;
  • Схемы и рисунки: черно-белые (2 bit) штриховые (line-art) изображения в формате GIF или compressed TIFF
  • Подберите степень сжатия файла JPEG и размер изображения таким образом, чтобы необходимые детали были различимы, но размер файла не превышал 75 кб.
  • Учтите, что текущая версия программного обеспечения Форума позволяет приложить к одному сообщению лишь один файл-вложение. Поэтому, если необходимо отправить несколько изображений, можно либо послать каждое как отдельное сообщение, либо в графическом редакторе объединить изображения в одно (сделать коллаж).
  • Если при подготовке изображений встречаются трудности, не стесняйтесь обратиться к координатору Форума.

  • Введите видимые символы в обратном порядке. Enter the above characters in reverse order (*Обязательно)
    В тексте сообщения можно использовать теги HTML <B> <I> <P> <A> <LI> <OL> <UL> <EM> <BR> <TT> <HR> <STRONG> <BLOCKQUOTE> <DIV .*> <DIV> <P .*>
  • Обратите внимание: Поля с жирными названиями обязательны.
  • Старайтесь отвечать в рамках обсуждаемой темы, а не начинать новые обсуждения.
  • Указывайте адекватную тему сообщения, чтобы было ясно, о чем оно.
  • Не послайте сообщений не по теме (оффтопик), раздраженных, грубых или обидных комментариев. Здесь это неуместно.
  • Powered by Zope  Squishdot Powered MedLink
    Посетитель: 0170932
      "По форме правильно, а по существу - издевательство" В.И.Ленин
    ©2001-2019Orthoforum Coordinator.
    [ Главная | Отправить сообщение | Поиск | Админ ]