ВХОД ДЛЯ ПАЦИЕНТОВ
вверх
поиск
админ
главная
исходное
последующие
|
Re: Застарелый вывих предплечья с несросшимся переломом локтевого отростка
послал Николай 11 Февраль 2008, 19:51
|

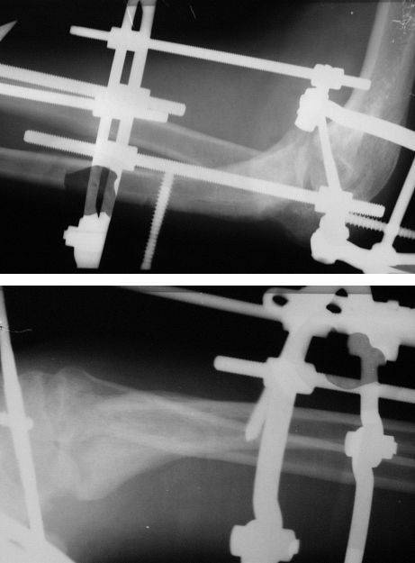
Коллеги! Сделан первый этап операции - синтез спице-стержневым аппаратом. При умеренной дистракции локтевого сустава (0,5 мм в сутки) производится дорзальная тракция дистального отломка локтевой кости (1 мм в сутки) стержнем Штеймана при стабилизации olecranon отдельным стержнем. Стержень в olecranon ввелся очень легко - остеопороз. Р-граммы через 4 дня после операции.
Николай
|
Послать ответ |
Обратите внимание: Поля с жирными названиями обязательны.
Старайтесь отвечать в рамках обсуждаемой темы, а не начинать новые обсуждения.
Указывайте адекватную тему сообщения, чтобы было ясно, о чем оно.
Не послайте сообщений не по теме (оффтопик), раздраженных, грубых или обидных комментариев. Здесь это неуместно.
|