ВХОД ДЛЯ ПАЦИЕНТОВ
вверх
поиск
админ
главная
исходное
|
Re: ложный сустав после остеосинтеза плеча
послал Leonid Solomin 03 Март 2008, 03:20
|
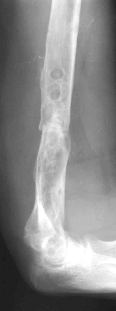
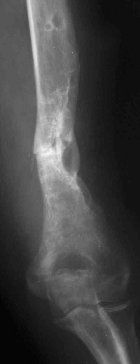
Уважаемый Алексей Минервин!
В подобном случае мы бы применили чрескостный остеосинтез. Пример - в приложении.

Всего наилучшего,
Л.Соломин
|
| Послать ответ |
Обратите внимание: Поля с жирными названиями обязательны.
Старайтесь отвечать в рамках обсуждаемой темы, а не начинать новые обсуждения.
Указывайте адекватную тему сообщения, чтобы было ясно, о чем оно.
Не послайте сообщений не по теме (оффтопик), раздраженных, грубых или обидных комментариев. Здесь это неуместно.
|