ВХОД ДЛЯ ПАЦИЕНТОВ
вверх
поиск
админ
главная
исходное
|
Re: И снова пилон
послал А.Миронов (Новокузнецк) 24 Февраль 2008, 13:35
|
Уважаемый Иван!
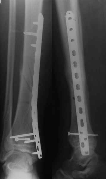
Если есть ЭОП, то перелом подходит для малоинвазивной фиксации. Репозиция суставного отдела (использовать репозиционные щипцы)и его фиксация стягивающими винтами чрезкожно, затем пластина медиально малоинвазивно, лучше метафизарная. Если не располагаете подходящим имплантом или непозволяют мягкие ткани, вполне возможно применить вместо платы Fix.Ex.

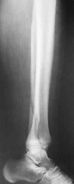
В приложении метафизарный перелом у ребёнка 14лет, с распространением линии перелома на зону роста.
С Уважением!
|
Послать ответ |
Обратите внимание: Поля с жирными названиями обязательны.
Старайтесь отвечать в рамках обсуждаемой темы, а не начинать новые обсуждения.
Указывайте адекватную тему сообщения, чтобы было ясно, о чем оно.
Не послайте сообщений не по теме (оффтопик), раздраженных, грубых или обидных комментариев. Здесь это неуместно.
|