ВХОД ДЛЯ ПАЦИЕНТОВ
вверх
поиск
админ
главная
исходное
|
Re: Ложный сустав плечевой кости
послал Djoldas Kuldjanov 12 Март 2008, 01:02
|
Уважаемая Татьяна,
Как видно из выступлений коллег, способы фиксации
ложного сустава плеча могут быть различными, кто-то предпочитает аппаратом Илизарова (Соломин), пластинами (Волна) или интрамедуллярным гвоздем (Челноков).
Когда разбирался случай на сайте, и у нас была больная с похожей патологией, ложный сустав после поперечного перелома, леченного год назад где-то и кем-то в другом месте.
Мы не стали делать провокационный метод, который
предложил Корнеев для лечения - применение анаболических стероидов - ретаболила, из-за его бессмысленности, также не согласились с его теорией, что любая операция заблокирует суставы, а наоборот, провели жесткую фиксацию пластиной для раннего восстановления.
Первичную пластину убрали недели 6 назад из переднего оригинального доступа, и из-за подозрительности тканей вокруг пластины, решили провести реконструкцию поэтапно.
После промывки и дебридмента для уверенности уложили антибиотический цемент. Культура из раны в последующем была отрицательная.
Хотя сам не стороннник применения более массивных
имплантов для плеча, но для этого случая сделали
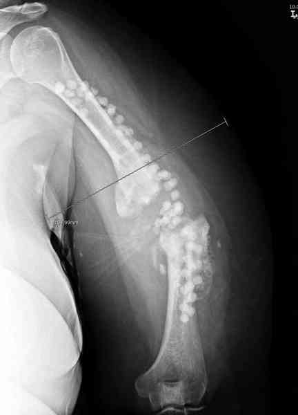
исключение. На снимке 4А диаметр мягких ткани около 20 см, при весе больной более 135 кг, и также выступление Андрея Волны подстегнуло к применению более массивной 4.5 мм локинг пластины.

Биологические стимуляторы типа Synthes chronOS мы
применяем только для закрытия дефекта в закрытом
пространстве, например в тибиал плато, пилоне и
ацетабулярных переломах.
Несмотря на то, что компания рекомендует, что препарат является остеоиндуктивным, но мы считаем, что препарат надо применять для заполнения дефектов, потому что "indicated for use in bony voids or gaps that are not intrinsic to the stability of the bony structure.
chronOS is indicated for use treatment of bony defects created surgically or through traumatic injury".
А для стимулирования мы применили массу из состава:
OP1 с деминерализованной костью, добавив к ним еще
красную часть, приготовленную из крови больной.
Взятая перед операцией кровь в количестве 80 мл
провели через центрифугу и без сывороточной части
красную матрицу добавили к остальным.
С такой массой наверное ложный сустав "over killed", но надеюсь, что-то из них при такой фиксации окажет стимулирующее действие.
Djoldas Kuldjanov, MD
Department of Orthopedic Surgery
St. Louis University Medical Center
|
Послать ответ |
Обратите внимание: Поля с жирными названиями обязательны.
Старайтесь отвечать в рамках обсуждаемой темы, а не начинать новые обсуждения.
Указывайте адекватную тему сообщения, чтобы было ясно, о чем оно.
Не послайте сообщений не по теме (оффтопик), раздраженных, грубых или обидных комментариев. Здесь это неуместно.
|