вверх
отправить
поиск
админ
главная
|
Отправлено Дмитрий Бекреев 05 Март 2008, 09:48
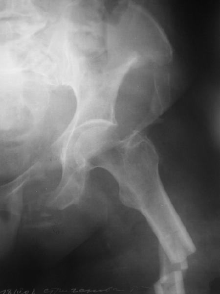
Здравствуйте уважаемые коллеги! Поступила пациентка, 61г, через 1 месяц после травмы, с двусторонним ротационно-нестабильным повреждением тазового кольца: перелом боковых масс крестца с обеих сторон, переломы лонной и седалищной костей слева, отрывные переломы передних остей левой подвздошной кости, сегментарный перелом левой подвздошной кости. Кроме того у пациентки имеется сегментарный перелом левого бедра. Перелом бедра не вызывает вопросов - планируем блокируемый остеосинтез стержнем, а вот при обсуждении тактики лечения переломов костей таза возник вопрос о необходимости синтеза остей подвздошной кости, учитывая сроки с момента травмы и наличие остеопороза могут возникнуть технические сложности. Если у кого-нибудь собственный опыт или ссылки на литературу об отдаленных результатах при не восстановлении сгибательного аппарата бедра?
<
|
>
|
|
Ответить
|
Re: Отрыв остей
Корнеев Филипп 05 Март 2008, 18:13
|
подобное оперировали ниложением на таз стержневого аппарата по типу рамки
|
[
Ответить ]
|
Re: Отрыв остей
Отправитель: Alexander Chelnokov 05 Март 2008, 22:34
|
И как аппарат по типу рамки решал проблему отрыва передних нижней и верхней остей подвздошной кости?
|
[
Ответить ]
|
|
Re: Отрыв остей
Асратян Давид 07 Март 2008, 00:22
|
По поводу перелома боковых масс крестца с двух сторн, мне кажется справа нет повреждения. надо однозначно синтезировать таз, при наличии ЭОПа можно синтезировать лоннуую ксоть одним длдинным винтом, крестец можно так же 2 мя винтами. Перелом крыла подвздошной кости, можно синтезировать на пластинке или так же винтами. Пусть не смущают сроки перелома, синтезировать можно. По поводу перелома бедра, согласен, нужен блокирующий синтез. Вот возникает вопрос. Отсинтезировать бедро, чтоб потом оно не было опорным из-за неадекватной стабилизации таза? Зачам тогда синтезировать?
Мне кажется, что в стержневом аппарате репозиция удастся не очень.
Что и в какой последовательности делать?
Если соматически пациентка сохранна, можно попытаться сделать одномоментно, тем более что укладка на боку будет удобной как для синтеза бедра, так и для синтеза таза.
|
[
Ответить ]
|
Re: Отрыв остей
Dmitry Bekreev 09 Март 2008, 00:36
|

Уважаемые коллеги, в продолжение обсуждения перелома костей таза с отрывами остей досылаю R-снимки (КТ и КТ с 3d реконструкцией)
|
[
Ответить ]
|
Re: Отрыв остей
Алексей 09 Март 2008, 02:13
|
С праздником Вашу пациетку и Ваших женщин!
Я бы занялся в ДАННОЙ ситуации только накостным синтезом перелома бедра (быстро и жестко), + индивидуальный ЛФК.
Моё почтение!
|
[
Ответить ]
|
Re: Отрыв остей
Отправитель: Alexander Chelnokov 09 Март 2008, 10:32
|
Почему при доступности закрытого интрамедуллярного остеосинтеза, на Ваш взгляд, следует сделать выбор в пользу накостного? И почему надо игнорировать отрыв обеих передних остей?
|
[
Ответить ]
|
|
Re: Отрыв остей
Александр 11 Март 2008, 17:45
|
Блокируемый остеосинтез бедра, далее укладка с отведением бедра, градусов под 45 на 2-3 недели, при усиленной ЛФК - руки, плечевой пояс, здоровая нога и изометрия на оперированной, постепенно увеличивая объем. Ости оторванные рубцевались месяц при отведенном проксимальном отломке, и фрагменты их вряд ли сильно отличаются сильно сейчас по прочности от рубцовой ткани вокруг, а связь через рубец с местом откуда оторвало наверняка какая-то уже есть. Дозировано вывести, не рвать (ИМХО)
|
[
Ответить ]
|
( Ответить )
|
|