ВХОД ДЛЯ ПАЦИЕНТОВ
вверх
поиск
админ
главная
исходное
|
Re: Vrogdenniy psevdoartroz
послал Jacob Odessky 21 Март 2008, 23:36
|
Врождённый Псевдоартроз Голени (ВПГ) – редкое заболевание б частота 1: 190000 живых новорожденных.
До 1930 года ампутация была регулярной процедурой. Но в последние 80 лет произошла смена представления к лечению ВПГ. Около 70% пациентов псевдоартроз большеберцовой кости (б/б) сопровождается таковым малоберцовой (м/б).
Консервативное лечение не поддерживается в литературе. Хотя встречаются единичные серии, в которых говориться, что спонтанное сращение при длительном гипсовании может достигать 3%.
Консервативное лечение в сочетании с Пульсативными Електромагнитными Полями (ПЕП) увеличивает результаты гипсовой иммобилизации до 50-70%
В одном большом мультицентральном европейском исследовании говориться, что наилучшие результаты лечения даёт применение аппарата Илизарова даёт 75,5% сращения ВПБ, свободная пластика м/б кости на сосудистой ножке – 61%
Наилучший результат при применении аппарата Илизарова по литературным данным в возрастной группе 6-9 лет. (91.66% сращения)
Если сравнивать различные методики лечения с помощью аппарата Илизарова:
Монолокальный закрытый компрессионный остеосинтез имеет 68,9% сращения,
Открытый монолокальный остеосинтез 70,6% сращения. Открытый бифокальный одномоментный компрессионно-дистракционный остеосинтез с костной пластикой – 80% сращения.
Есть работы, дающие другую статистику. Объединяющую 2 процедуры – первичное и вторичное сращение: Микроваскулярный графт м/б кости 92%
Внутрикостное штифтование + костная пластика – 88%,
Метод Илизарова – 100%
Мой личный опыт насчитывает 10 больных, леченных по методу Илизарова.
100% сращение. У 2 –х была повторная операция из-за рецидива, причиной которого было сращение с деформацией.
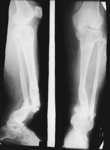
Случай, который я представляю, был сделан мной около 20 лет назад в Кургане.

Женщина 28 лет, пошедшая 13 предыдущих оперативных вмешательств по-поводу ВПБ имела 9 см. укорочения.
На первом этапе аппаратом Илизарова закрыто устранена деформация голени.
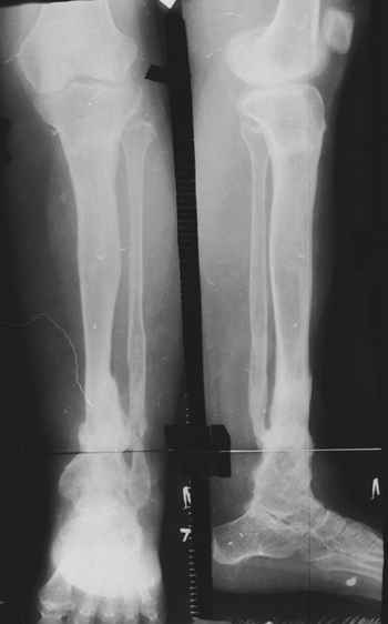
На втором этапе произведёно освежение краёв костных фрагментов б/б и м/б костей с приданием проксимальному фрагменту б/б кости впалой, а дистальному выпуклой формы, открытие канала проксимального фрагмента и погружной остеосинтез, а также остеотомия б/б кости в в/3 и м/б кости на границе с/3 и н/3 голени. Больной проводился одновременный бифокальный компрессионно-дистракционный остеосинтез. Достигнуто 11 см. удлинение и сращение ВПГ.
Срок лечения 11 месяцев. Наблюдение 2 года.
С уважением!
|
Послать ответ |
Обратите внимание: Поля с жирными названиями обязательны.
Старайтесь отвечать в рамках обсуждаемой темы, а не начинать новые обсуждения.
Указывайте адекватную тему сообщения, чтобы было ясно, о чем оно.
Не послайте сообщений не по теме (оффтопик), раздраженных, грубых или обидных комментариев. Здесь это неуместно.
|