Ответить
|
Re: Несращение ладьевидной кости после остеосинтез
Максим Королев 11 Март 2008, 00:19
|
Данил! На мой взгляд если остеосинтез оказаля на состоятльным, то стоит попробовать выполнить удаление винта и остосинтез ладьевидной кости по
типу "костный штифт". Делатется канал в ладеьвидной кости и по нему проводится костный трансплантат. Получаетс костная пластика внутри кости. Есть второй вариант с наложением аппарата Илизарова с переменной
компрессией и дистаркцией.
Максим Королев.
|
[
Ответить ]
|
Re: Несращение ладьевидной кости после остеосинтез
David Nelson 11 Март 2008, 01:05
|
I am not sure if the differential of a nonunion vs. pseudoarthrosis means much in this context. The distal pole of the screw has a lucency, so the
nonunion is most likely unstable and moving. It needs revision. The radial styloid does not have evidence of DJD, so I do not think it needs to be resected. The surgery will probably require an open revision, removal of necrotic bone and soft tissue interposition, and would benefit from some
distal radial autograft. The patient needs to refrain from smoking and I would use a case to be sure they do not move for a while. A stiff wrist is not a bad outcome; a bad outcome is a painful wrist.
David Nelson
hand surgeon, San Francisco
|
[
Ответить ]
|
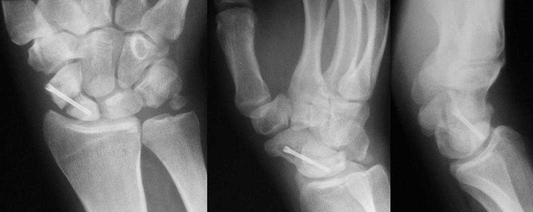
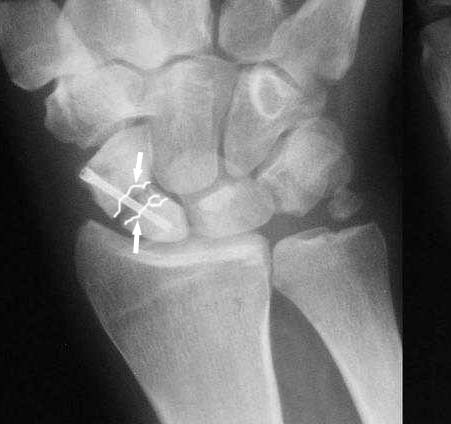
Re: Несращение ладьевидной кости после остеосинтеза компрессирущим винтом (nonunion of navicular bone after osteosynthesis with compression screw)
Soul_rio 11 Март 2008, 01:23
|
1. Подвывих полулунной кости до конца не устранен-боль.
2. Сделайте КТ кистевого сустава и вы объективно оцените степнь консолидации ладьевидной кости.
3. Сравните рентгеногравммы в динамике 1.2.3.5.5 месяцы.
4. После этого можно вести дальнейший разговор.
|
[
Ответить ]
|
Re: Несращение ладьевидной кости после остеосинтеза компрессирущим винтом (nonunion of navicular bone after osteosynthesis with compression screw)
Отправитель: Данил Близнец 13 Март 2008, 00:25
|
>>Подвывих полулунной кости до конца не устранен-боль.
О каком подвывихе полулунной кости идёт речь, если эта кость единственная на протяжении всего времени после травмы оставалась там, где ей и положено? Или же все остальные запястные кости продолжают оставаться в подвывихе? По моему скромному мнению в межзапястных суставах всё конгруэнтно.
>>Сделайте КТ кистевого сустава и вы объективно оцените степнь консолидации ладьевидной кости
А разве рентгенограмм не достаточно для констатации несращения?
|
[
Ответить ]
|
|
Re: Несращение ладьевидной кости после остеосинтеза компрессирущим винтом (nonunion of navicular bone after osteosynthesis with compression screw)
Алексей 11 Март 2008, 23:16
|
Шолом!
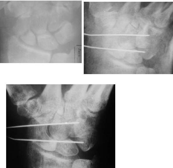
Здаётся мне Вы имеете удовольствие видеть ложный сустав ладьевидной кости. Переломом шиловидного отростка локтевой(как правило с повреждением фиброзно-хрящевого комплекса) по факту уже можно пренебречь. Даже при ИДЕАЛЬНОМ синтезе ладьи нет ни какой уверенности в сращении её. В настоящий момент считаю необходимым проведение либо цилиндрической аутоостеопластики кости некровоснабжаемым спонгиозным свободным трансплантатом, либо частичного артродеза (ладьевидно-головчато-полулунного) по обстановке в зависимости от выраженности рубцового процесса и структуры сломанной кости.
Удачи!
|
[
Ответить ]
|
Re: Несращение ладьевидной кости после остеосинтеза компрессирущим винтом (nonunion of navicular bone after osteosynthesis with compression screw)
Отправитель: Danil Bliznets 13 Март 2008, 00:36
|
>>Здаётся мне Вы имеете удовольствие видеть ложный сустав ладьевидной кости.
Такое ощущение, что имеющееся состояние ещё не является необратимым (отсутствие склероза отломков на уровне перелома) и обусловлено исключительно нестабильностью (сам винт оказался слабоват или чрезмерные нагрузки привели к срыву фиксации - пациент, заметьте, мотоциклист!)
Почему-то хочется верить, что можно добиться сращения, если вернуть кости стабильность путём компрессионного остеосинтеза более мощным винтом без открытого вмешательства на компрометированной зоне и защитить фиксацию строгим соблюдением режима. Я сильно ошибаюсь?
|
[
Ответить ]
|
Re: Несращение ладьевидной кости после остеосинтеза компрессирущим винтом (nonunion of navicular bone after osteosynthesis with compression screw)
Отправитель: Алексей 13 Март 2008, 02:49
|

Боюсь, да - сращение не является результатом только фиксации, очень важно наличие кровообращения в стабильно фиксированых отломках. О механизме травмы общее представление мы получили, как питаются кости запястья знаем, да здесь вообще все может закончиться тотальным артродезом или эндопротезированием, а Вы о режиме думаете зачем-то. Это тоже важно конечно, если он до сих пор мотоциклист.
PS: ладьевидная кость является стабилизатором всех костей запястья, - она одна! Боль (субъективно) и нарушение функции (обьективно) по-другому преодалеть не удастся.
С уважением Алексей.
|
[
Ответить ]
|
Re: Несращение ладьевидной кости после остеосинтез
Отправитель: Екатерина Лаврукова 13 Март 2008, 22:08
|

Ув. Данил! По моему мнению все-таки ложный сустав -склероз отломков (приложение), 5 мес, диастаз. Для подтверждения можно выполнить КТ кистевого сустава (формирование замыкательной пластинки, склероз концов отломков и т.д.,), а так же по КТ можно выявить сохраняется ли подвывих каких-либо костей запястья или нет. При наличии ложного сустава целесообразно будет удалить винт,обработать концы отломков, разрушив замыкательные пластинки и выполнить остеосинтез ладьевидной кости винтом с костной аутопластикой зоны псевдоартроза (либо гидроксиаппатитом...) Гипс 1,5 мес мин. Снимков найти сейчас не получилось. позже дошлю.
С уважением Катя
|
[
Ответить ]
|
|
Re: Несращение ладьевидной кости после остеосинтеза компрессирущим винтом (nonunion of navicular bone after osteosynthesis with compression screw)
Alecksey20 14 Март 2008, 12:46
|
Очень не плохой способ (и мало инвазивный) - препарат Osteoset. При помощи специального инжектора вводится в зону перелома без удаления винта. По данным производителя происходит остеоинтеграция, стимуляция остеогенеза и замещение препарата костной тканью. В нашей клинике 16 применений замещения гнойных костных полостей, но препарат в готовых гранулах и с тобрамицином. Эффект положительный, на снимках полное замещение костной тканью через 3 мес., купирование гнойного процесса у всех.
|
[
Ответить ]
|
Re: Несращение ладьевидной кости после остеосинтеза компрессирущим винтом (nonunion of navicular bone after osteosynthesis with compression screw)
Отправитель: Карпухин Алексей 14 Март 2008, 19:03
|
Уважаемый Алексей можно поподробнее по поводу препарата Osteoset. Производитель, показания, Ваш клинический опыт. Заинтересовала весьма. Заранее благодарен, Алексей Карпухин
|
[
Ответить ]
|
Re: Несращение ладьевидной кости после остеосинтеза компрессирущим винтом (nonunion of navicular bone after osteosynthesis with compression screw)
Отправитель: Алексей20 15 Март 2008, 08:59
|
http://www.protezy.ru/lecnews_osteoset.php, но это только препарат в гранулах требующий для введения открытого доступа. Есть у этого же производителя аналог, он более пластичный и вводиться при помощи иглы в зону ложного сустава или замедленно консолидирующегося перелома. Так же производитель предлагает доктору самостоятельно добавить в препарат антибиотик. А готовый Osteoset T содержит тобрамицин...... Применяем при лечении остеомиелита.
|
[
Ответить ]
|
|
Re: Несращение ладьевидной кости после остеосинтеза компрессирущим винтом (nonunion of navicular bone after osteosynthesis with compression screw)
Корнеев Филипп 15 Март 2008, 13:38
|
остесинтез только штифтом из ауто кости!
|
[
Ответить ]
|
Re: Несращение ладьевидной кости после остеосинтез
Лаврукова Екатерина 15 Март 2008, 16:24
|
>остесинтез только штифтом из ауто кости!
Ув. Кирилл! Если подтвердится диагноз: ложный сустав ладьевидной кости, то штифтование аутокостью может быть неэффективным в 30% (Ашкенази 1990, Герасимов 1976 и т.д.). Это связано с тем, что в данном случае крайне важно обеспечить стабильность отломков до наступления консолидации в зоне псевдоартроза - т.е. приблизительно 3 - 8 мес, в случае штифтования аутокостью пациенту прийдется находиться в гипсе весь этот срок, что значительно скажется на функции кистевого сустава. Нужно еще учесть, что на этой ладьевидной кости уже было осуществленно оперативное вмешательство, и повторная операция в таком виде и длительная иммобилизация значительно увеличит риск аваскуллярных изменений в ладьевидной кости.Если выполнить остеосинтез ладьевидной кости винтом с костной аутопластикой зоны псевдоартроза, то срок иммобилизации составит 1,5 - 3 мес., что, вероятно, более благоприятно для функции кистевого сустава.
С уважением Е.А. Лаврукова
|
[
Ответить ]
|
Re: Несращение ладьевидной кости после остеосинтеза компрессирущим винтом (nonunion of navicular bone after osteosynthesis with compression screw)
Александр Жужнев 16 Март 2008, 03:46
|
Как вариант лечения:удаление винта и последующее наложение апп.Илизарова(по методике Коршунова-Магдиева)
|
[
Ответить ]
|
Re: Несращение ладьевидной кости после остеосинтеза компрессирущим винтом (nonunion of navicular bone after osteosynthesis with compression screw)
Алексей20 16 Март 2008, 18:38
|
MIIG-115 - препарат для замещения костных деффектов, стимуляции остеогенеза. Он пластичный, возможно его малоинвазивное введение. Я сам этот препарат не использовал, но его собрат Osteoset произвел положительное впечатление, крайней степени неожиданно положительное. Остается желание увидеть не только костный регенерат на Rg, но и визуально результат остеоинтеграции, но пока не отторжений, не поводов повторной ревиззии нет. Это радует..... Препарат доступен.
|
[
Ответить ]
|
( Ответить )
|