ВХОД ДЛЯ ПАЦИЕНТОВ
вверх
поиск
админ
главная
исходное
|
Re: Сустав Лисфранка
послал Djoldas Kuldjanov, M.D. 21 Март 2008, 17:20
|

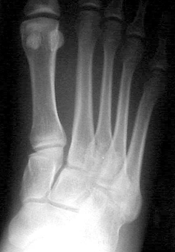
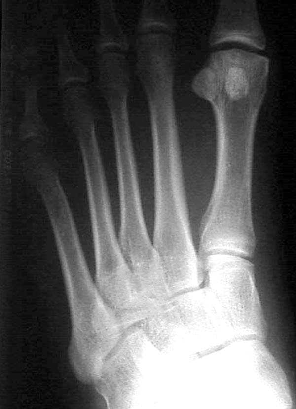
Здесь КТ и сравнительные снимки стопы под нагрузкой.
Диагностировано повреждение медиальной и латеральной колонны.
Если оперативное лечение - как и каким доступом?
Djoldas Kuldjanov, MD
Department of Orthopedic Surgery
St. Louis University Medical Center
|
| Послать ответ |
Обратите внимание: Поля с жирными названиями обязательны.
Старайтесь отвечать в рамках обсуждаемой темы, а не начинать новые обсуждения.
Указывайте адекватную тему сообщения, чтобы было ясно, о чем оно.
Не послайте сообщений не по теме (оффтопик), раздраженных, грубых или обидных комментариев. Здесь это неуместно.
|